Skip to Content
Merck

ABT161

Anti-HepaCAM-1 Antibody

from rabbit, purified by affinity chromatography

Synonym(s):

Hepatocyte cell adhesion molecule, Protein hepaCAM

Sign In to View Organizational & Contract Pricing.

Select a Size


About This Item

UNSPSC Code:
12352203
NACRES:
NA.41
eCl@ss:
32160702
Clone:
polyclonal
Species reactivity:
human
Application:
IHC, WB
Citations:
-
Technical Service
Need help? Our team of experienced scientists is here for you.
Let Us Assist
Technical Service
Need help? Our team of experienced scientists is here for you.
Let Us Assist

biological source

rabbit

antibody product type

primary antibodies

clone

polyclonal

purified by

affinity chromatography

species reactivity

human

species reactivity (predicted by homology)

horse (based on 100% sequence homology)

technique(s)

immunohistochemistry: suitable (paraffin), western blot: suitable

NCBI accession no.

UniProt accession no.

shipped in

wet ice

target post-translational modification

unmodified

Gene Information

human ... HEPACAM(220296)

General description

Gene HepaCAM, which is frequently silenced in hepatocellular carcinoma (HCC), encodes an Ig-like transmembrane glycoprotein. This glycoprotein serves as a type of cell adhesion molecule (CAM), which interacts with other CAMs on the adjacent cell surface or with proteins found in the extracellular matrix. It is observed to regulate cellular growth and cell-matrix adhesion. It also plays a role in cellular migration.
~53 kDa observed. Two isoforms at ~40 kDa and ~46 kDa are known to exist. This protein is known to be glycosylated in HT-1080 and HEPG2 cell lysates (Chung, M. M., et al. (2005). J Hepatol. 42(6):833-841.).

Immunogen

KLH-conjugated linear peptide corresponding to the cytoplasmic domain of human HepaCAM-1.

Application

Detect the HepaCAM-1 protein using this Anti-HepaCAM-1 validated for use in WB & IHC.
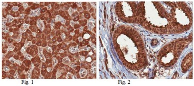
Immunohistochemistry Analysis: A 1:1,000 dilution from a representative lot detected HepaCAM-1 in human liver and human breast carcinoma tissues.

Biochem/physiol Actions

Other homologies: Mouse, Rat, and Bovine (96% sequence homology).
This antibody recognizes the cytoplasmic domain of HepaCAM-1.

Analysis Note

Evaluated by Western Blot in human liver tissue lysate.

Western Blot Analysis: 0.5 µg/mL of this antibody detected HepaCAM-1 in 10 µg of human liver tissue lysate.

Other Notes

Concentration: Please refer to the Certificate of Analysis for the lot-specific concentration.

Not finding the right product?  

Try our Product Selector Tool.

Storage Class

12 - Non Combustible Liquids

wgk

WGK 1

flash_point_f

Not applicable

flash_point_c

Not applicable


Certificates of Analysis (COA)

Search for Certificates of Analysis (COA) by entering the products Lot/Batch Number. Lot and Batch Numbers can be found on a product’s label following the words ‘Lot’ or ‘Batch’.

Already Own This Product?

Find documentation for the products that you have recently purchased in the Document Library.

Visit the Document Library

Our team of scientists has experience in all areas of research including Life Science, Material Science, Chemical Synthesis, Chromatography, Analytical and many others.

Contact Technical Service