Skip to Content
Merck

ABT319

Anti-Nephrin Antibody

from rabbit, purified by affinity chromatography

Synonym(s):

Nephrin, Renal glomerulus-specific cell adhesion receptor

Sign In to View Organizational & Contract Pricing.

Select a Size


About This Item

UNSPSC Code:
12352203
NACRES:
NA.41
eCl@ss:
32160702
Clone:
polyclonal
Species reactivity:
human
Application:
IHC, WB
Citations:
1
Technical Service
Need help? Our team of experienced scientists is here for you.
Let Us Assist
Technical Service
Need help? Our team of experienced scientists is here for you.
Let Us Assist

biological source

rabbit

antibody form

affinity isolated antibody

antibody product type

primary antibodies

clone

polyclonal

purified by

affinity chromatography

species reactivity

human

technique(s)

immunohistochemistry: suitable (paraffin), western blot: suitable

NCBI accession no.

UniProt accession no.

shipped in

wet ice

target post-translational modification

unmodified

Gene Information

human ... NPHS1(4868)

Looking for similar products? Visit Product Comparison Guide

General description

Nephrin (NPHS1, NPHN), also known as is Renal glomerulus-specific cell adhesion receptor, is strongly expressed in renal glomeruli and is a member of the immunoglobulin family of cell adhesion molecules. Mutations in the Nephrin gene result in congenital nephrotic syndrome, an autosomal-recessive disorder characterized by massive proteinuria in utero and nephrosis at birth. Renal glomeruli allow normal kidneys to filter plasma so that it is very pure. Nephrin is expressed in the podocyte slit-diaphragm of the renal glomeruli in a manner that suggests that Nephrin molecules homodimerize in an anti-parallel fashion similar to cadherin interactions in adherens junctions. Thus, Nephrin may constitute the entire extracellular structure of the slit-diaphragm.
~190 kDa and ~85 kDa observed. Two isoforms are known to exist at 134kDa (Isoform 1) and 130kDa (Isoform 2). This protein may be observed at higher molecular weights due to glycosylation (Ruotsalainen, V., et al. (1999). Proc Natl Acad Sci USA. 6(96):7962-7967.).

Immunogen

Epitope: NPHS2 binding domain
KLH-conjugated linear peptide corresponding to the NPHS2 binding domain of human Nephrin.

Application

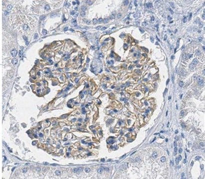
Anti-Nephrin Antibody is a highly specific rabbit polyclonal antibody, that targets Nephrin & has been tested in western blotting & IHC (Paraffin).
Immunohistochemistry Analysis: A 1:500 dilution from a representative lot detected Nephrin in human kidney tissue.
Research Category
Cell Structure
Research Sub Category
ECM Proteins

Biochem/physiol Actions

This antibody is expected to detect both known isoforms of Nephrin.

Physical form

Affinity purified
Purified rabbit polyclonal in buffer containing 0.1 M Tris-Glycine (pH 7.4), 150 mM NaCl with 0.05% sodium azide.

Preparation Note

Stable for 1 year at 2-8°C from date of receipt.

Analysis Note

Evaluated by Western Blotting in human kidney tissue lysate.

Western Blotting Analysis: A 1:1,000 dilution of this antibody detected Nephrin in 10 µg of human kidney tissue lysate.

Other Notes

Concentration: Please refer to the Certificate of Analysis for the lot-specific concentration.

Disclaimer

Unless otherwise stated in our catalog or other company documentation accompanying the product(s), our products are intended for research use only and are not to be used for any other purpose, which includes but is not limited to, unauthorized commercial uses, in vitro diagnostic uses, ex vivo or in vivo therapeutic uses or any type of consumption or application to humans or animals.

Not finding the right product?  

Try our Product Selector Tool.

Storage Class

12 - Non Combustible Liquids

wgk

WGK 1

flash_point_f

Not applicable

flash_point_c

Not applicable


Certificates of Analysis (COA)

Search for Certificates of Analysis (COA) by entering the products Lot/Batch Number. Lot and Batch Numbers can be found on a product’s label following the words ‘Lot’ or ‘Batch’.

Already Own This Product?

Find documentation for the products that you have recently purchased in the Document Library.

Visit the Document Library

Shengfang Xie et al.
American journal of translational research, 11(9), 5689-5702 (2019-10-22)
Diabetic nephropathy (DN) is known as a major microvascular complication leading cause of end-stage renal disease, it generally followed by the process of podocyte fragmentation and detachment. Transforming growth factor β1 (TGF-β1) signaling pathway plays a pivotal role in the

Our team of scientists has experience in all areas of research including Life Science, Material Science, Chemical Synthesis, Chromatography, Analytical and many others.

Contact Technical Service