Skip to Content
Merck

MAB1914P

Anti-Laminin gamma 1 Antibody, clone A5

clone A5, Chemicon®, from rat

Synonym(s):

LAMC1

Sign In to View Organizational & Contract Pricing.

Select a Size


About This Item

UNSPSC Code:
12352203
NACRES:
NA.41
eCl@ss:
32160702
Conjugate:
unconjugated
Clone:
A5, monoclonal
Application:
IHC
Citations:
6
Technical Service
Need help? Our team of experienced scientists is here for you.
Let Us Assist
Technical Service
Need help? Our team of experienced scientists is here for you.
Let Us Assist

biological source

rat

conjugate

unconjugated

antibody form

purified immunoglobulin

antibody product type

primary antibodies

clone

A5, monoclonal

species reactivity

mouse, human

manufacturer/tradename

Chemicon®

technique(s)

immunohistochemistry: suitable (paraffin)

isotype

IgG2aκ

UniProt accession no.

shipped in

wet ice

target post-translational modification

unmodified

Quality Level

Gene Information

human ... LAMC1(3915)

General description

177 kDa
Laminins, a family of extracellular matrix glycoproteins, are the major noncollagenous constituent of basement membranes. They have been implicated in a wide variety of biological processes including cell adhesion, differentiation, migration, signaling, neurite outgrowth and metastasis. Variations in the expression of laminins have been observed in embryogenesis, organogenesis, post traumatic healing and cancer. Laminins have been provoked by the discovery of their ability to promote neurite regeneration. Laminins are composed of 3 non identical chains: laminin alpha, beta and gamma (formerly A, B1, and B2, respectively). The gamma 1 chain, formerly thought to be a beta chain, contains structural domains similar to beta chains, however, lacks the short alpha region separating domains I and II. Embryos of transgenic mice in which both alleles of the gamma 1 chain gene were inactivated by homologous recombination, lacked basement membranes, indicating that laminin, gamma 1 chain is necessary for laminin heterotrimer assembly.

Immunogen

Basement membrane protein preparation from mouse EHS tumor.

Application

Detect Laminin gamma 1 using this Anti-Laminin gamma 1 Antibody, clone A5 validated for use in IH(P).
Research Sub Category
ECM Proteins

Adhesion (CAMs)

Physical form

Format: Purified
Purified rat immunoglobulin in buffer containing 0.1M Tris-Glycine (pH7.4) 150mM NaCl with 0.05% NaN3.

Analysis Note

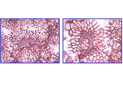
Control
Tubular carcinoma of the colon and fibroneuroma

Other Notes

Concentration: Please refer to the Certificate of Analysis for the lot-specific concentration.

Legal Information

CHEMICON is a registered trademark of Merck KGaA, Darmstadt, Germany

Not finding the right product?  

Try our Product Selector Tool.

Storage Class

12 - Non Combustible Liquids

wgk

WGK 1

flash_point_f

Not applicable

flash_point_c

Not applicable


Certificates of Analysis (COA)

Search for Certificates of Analysis (COA) by entering the products Lot/Batch Number. Lot and Batch Numbers can be found on a product’s label following the words ‘Lot’ or ‘Batch’.

Already Own This Product?

Find documentation for the products that you have recently purchased in the Document Library.

Visit the Document Library

Jungbum Kim et al.
Journal of microbiology and biotechnology, 34(1), 157-166 (2024-01-29)
Sarcopenia is an age-related loss of muscle mass and function for which there is no approved pharmacological treatment. We tested direct efficacy by evaluating grip strength improvement in a sarcopenia mouse model rather than drug screening, which inhibits specific molecular
Henry J Bonilla et al.
GeroScience, 42(6), 1431-1443 (2020-09-19)
Analysis of skeletal muscle mass and composition is essential for studying the biology of age-related sarcopenia, loss of muscle mass, and function. Muscle immunohistochemistry (IHC) allows for simultaneous visualization of morphological characteristics and determination of fiber type composition. The information
Raphael Reuten et al.
Nature materials, 20(6), 892-903 (2021-01-27)
The basement membrane (BM) is a special type of extracellular matrix and presents the major barrier cancer cells have to overcome multiple times to form metastases. Here we show that BM stiffness is a major determinant of metastases formation in
Fenny Wiradjaja et al.
Disease models & mechanisms, 6(6), 1426-1433 (2013-09-21)
Fras1-related extracellular matrix protein 1 (FREM1) is required for epidermal adhesion during embryogenesis, and mice lacking the gene develop fetal skin blisters and a range of other developmental defects. Mutations in members of the FRAS/FREM gene family cause diseases of
Daniel Öhlund et al.
BMC cancer, 13, 154-154 (2013-03-28)
Pancreatic cancer shows a highly aggressive and infiltrative growth pattern and is characterized by an abundant tumor stroma known to interact with the cancer cells, and to influence tumor growth and drug resistance. Cancer cells actively take part in the

Global Trade Item Number

SKUGTIN
MAB1914P04053252503191

Our team of scientists has experience in all areas of research including Life Science, Material Science, Chemical Synthesis, Chromatography, Analytical and many others.

Contact Technical Service