Skip to Content
Merck

MAB2252

Anti-Integrin β1 Antibody, clone N29

clone N29, Chemicon®, from mouse

Synonym(s):

CD29, MAB2252Z

Sign In to View Organizational & Contract Pricing.

Select a Size


About This Item

UNSPSC Code:
12352203
NACRES:
NA.41
eCl@ss:
32160702
Clone:
N29, monoclonal
Species reactivity:
human
Application:
FACS, IHC, IP, WB, cell culture
Citations:
21
Technical Service
Need help? Our team of experienced scientists is here for you.
Let Us Assist
Technical Service
Need help? Our team of experienced scientists is here for you.
Let Us Assist

isotype

IgGκ

biological source

mouse

antibody form

purified immunoglobulin

antibody product type

primary antibodies

clone

N29, monoclonal

species reactivity

human

manufacturer/tradename

Chemicon®

technique(s)

cell culture | mammalian: suitable, flow cytometry: suitable, immunohistochemistry: suitable, immunoprecipitation (IP): suitable, western blot: suitable

NCBI accession no.

UniProt accession no.

shipped in

wet ice

target post-translational modification

unmodified

Quality Level

Gene Information

human ... ITGB1(3688)

Related Categories

General description

88 kDa

Immunogen

Jurkat T-leukemic cell line

Application

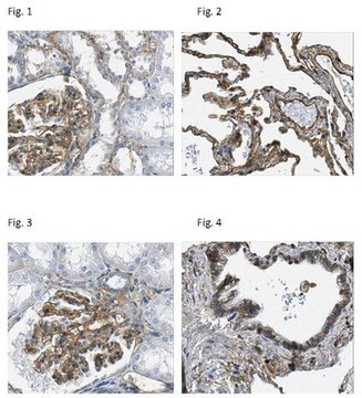
Immunohistochemistry (Paraffin) Analysis: A 1:50-2,000 dilution from a representative lot detected Integrin β1 in the membrane of tubule epithelial cells and cells of the glomeruli in human kidney tissue, membrane of alveolar cells, endothelial cells, and bronchiole epithelial cells of human lung tissue.

Immunoprecipitation: A representative lot of this antibody clone was used in immunoprecipitation.

Immunohistochemistry: A representative lot of this antibody clone was used in immunohistochemistry on frozen sections.

Flow Cytometry: A representative lot of this antibody clone was used in flow cytometry.

Functional Activity Assay: A representative lot of this antibody clone was used to stimulate adhesion of cells to extracellular matrix proteins (Wilkins, J.A. et al., 1996).

Optimal working dilutions must be determined by end user.
Research Category
Cell Structure
Research Sub Category
Integrins
This Anti-Integrin β1 Antibody, clone N29 is validated for use in FC, IH, IP, FUNC, CULT, WB for the detection of Integrin β1.

Biochem/physiol Actions

Reacts with the human integrin beta1 subunit. Specificity verified by preclearing of beta1in immunoprecipitation, flow cytometry on transfectant cells displaying human beta1 integrin, and reactivity with purified beta1. Recognizes an epitope cluster distinct from MAB2250 and MAB2251(Wilkins et al., 1996).

Physical form

Format: Purified
Protein A Purified mouse immunoglobulin in 20 mM sodium phosphate, 250 mM NaCl, pH. 7.6, with 0.1% sodium azide as a preservative.
Protein A purified

Preparation Note

Maintain for 1 year at 2–8°C from date of shipment. Aliquot to avoid repeated freezing and thawing. For maximum recovery of product, centrifuge the original vial after thawing and prior to removing the cap.

Analysis Note

Western Blot Analysis: 0.5 µg/mL of the antibody detected Integrin β1 in 10 µg of U251 cell lysate.
Control
Tonsil, human skin, human kidney tissue

U251 cell lysate

Other Notes

Concentration: Please refer to the Certificate of Analysis for the lot-specific concentration.

Legal Information

CHEMICON is a registered trademark of Merck KGaA, Darmstadt, Germany

Disclaimer

Unless otherwise stated in our catalog or other company documentation accompanying the product(s), our products are intended for research use only and are not to be used for any other purpose, which includes but is not limited to, unauthorized commercial uses, in vitro diagnostic uses, ex vivo or in vivo therapeutic uses or any type of consumption or application to humans or animals.

Not finding the right product?  

Try our Product Selector Tool.

wgk

WGK 2

flash_point_f

Not applicable

flash_point_c

Not applicable

Storage Class

12 - Non Combustible Liquids


Certificates of Analysis (COA)

Search for Certificates of Analysis (COA) by entering the products Lot/Batch Number. Lot and Batch Numbers can be found on a product’s label following the words ‘Lot’ or ‘Batch’.

Already Own This Product?

Find documentation for the products that you have recently purchased in the Document Library.

Visit the Document Library

Katherine Conant et al.
The Journal of biological chemistry, 279(9), 8056-8062 (2003-12-18)
Several studies have demonstrated that matrix metalloproteinases (MMPs) are cytotoxic. The responsible mechanisms, however, are not well understood. MMPs may promote cytotoxicity through their ability to disrupt or degrade matrix proteins that support cell survival, and MMPs may also cleave
Competitive binding of Rab21 and p120RasGAP to integrins regulates receptor traffic and migration.
Mai, A; Veltel, S; Pellinen, T; Padzik, A; Coffey, E; Marjomaki, V; Ivaska, J
The Journal of cell biology null
P L Bigliardi et al.
British journal of pharmacology, 172(2), 501-514 (2014-03-19)
In addition to its analgesic functions, the peripheral opioid receptor system affects skin homeostasis by influencing cell differentiation, migration and adhesion; also, wound healing is altered in δ-opioid receptor knockout mice (DOPr(-/-) ). Hence, we investigated δ-opioid receptor effects on
Minxia Liu et al.
Cancer science, 113(6), 2022-2033 (2022-04-06)
Metastasis is the main cause of cancer patients' death despite tremendous efforts invested in developing the related molecular mechanisms. During cancer cell migration, cells undergo dynamic regulation of filopodia, focal adhesion, and endosome trafficking. Cdc42 is imperative for maintaining cell
Meiyu Sun et al.
Stem cell research & therapy, 9(1), 52-52 (2018-03-02)
Human mesenchymal stem cell (hMSC) differentiation into osteoblasts has important clinical significance in treating bone injury, and the stiffness of the extracellular matrix (ECM) has been shown to be an important regulatory factor for hMSC differentiation. The aim of this

Global Trade Item Number

SKUGTIN
MAB225204053252317729

Our team of scientists has experience in all areas of research including Life Science, Material Science, Chemical Synthesis, Chromatography, Analytical and many others.

Contact Technical Service