Skip to Content
Merck

MAB2642

Anti-Fibrillin-2 Antibody, clone 48

clone 48, from mouse

Synonym(s):

fibrillin 2, congenital contractural arachnodactyly, Fibrillin 5

Sign In to View Organizational & Contract Pricing.

Select a Size


About This Item

UNSPSC Code:
12352203
NACRES:
NA.41
eCl@ss:
32160702
Conjugate:
unconjugated
Clone:
48, monoclonal
Application:
ELISA, ICC, IHC, IP
Citations:
-
Technical Service
Need help? Our team of experienced scientists is here for you.
Let Us Assist
Technical Service
Need help? Our team of experienced scientists is here for you.
Let Us Assist

biological source

mouse

conjugate

unconjugated

antibody form

purified antibody

antibody product type

primary antibodies

clone

48, monoclonal

species reactivity

human

technique(s)

ELISA: suitable, immunocytochemistry: suitable, immunohistochemistry: suitable, immunoprecipitation (IP): suitable

isotype

IgG1κ

NCBI accession no.

UniProt accession no.

shipped in

wet ice

target post-translational modification

unmodified

Quality Level

Gene Information

human ... FBN2(2201)

General description

Fibrillin-2 is a part of the Fibrillin family of glycoproteins, which are essential factors in the formation and maintenance of elastic fibers known as microfibrils within the extracellular matrix. Various researchers have suggested that Fibrillin-2 has a role in the mediation of microfibril assembly during early elastogenesis. Defects in Fibrillin-2 are causal to a rare disorder involving autosomal dominant connective tissue known as congenital contractual arachnodactyly (CCA), also known as Beals syndrome or distal arthrogryposis type 9 (DA9), and is similar to Marfan syndrome.
~ 215 kDa

Immunogen

Recombinant protein corresponding to human Fibrillin-2.

Application

Anti-Fibrillin-2 Antibody, clone 48 is an antibody against Fibrillin-2 for use in IH, ELISA, IP & IC.
ELISA Analysis: A previous lot was used by an independent laboratory in ELISA (Charbonneau, 2003).

Immunofluorescence Analysis: A previous lot was used by an independent laboratory in IF (Charbonneau, 2003).

Biochem/physiol Actions

The antibody recognizes Fibrillin-2.

Physical form

Format: Purified

Analysis Note

Control
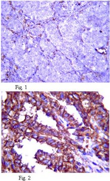
Liver cancer and papillary serous carcinoma tissue
Evaluated by Immunohistochemistry in liver cancer and papillary serous carcinoma paraffin-embedded tissue sections.

Immunohistochemistry Analysis: 1:50 dilution of this antibody detected Fibrillin-2 in paraffin-embedded tissue sections of liver cancer and papillary serous carcinoma.

Other Notes

Concentration: Please refer to the Certificate of Analysis for the lot-specific concentration.

Not finding the right product?  

Try our Product Selector Tool.

Storage Class

12 - Non Combustible Liquids

wgk

WGK 1

flash_point_f

Not applicable

flash_point_c

Not applicable


Certificates of Analysis (COA)

Search for Certificates of Analysis (COA) by entering the products Lot/Batch Number. Lot and Batch Numbers can be found on a product’s label following the words ‘Lot’ or ‘Batch’.

Already Own This Product?

Find documentation for the products that you have recently purchased in the Document Library.

Visit the Document Library

Global Trade Item Number

SKUGTIN
MAB264204053252478703

Our team of scientists has experience in all areas of research including Life Science, Material Science, Chemical Synthesis, Chromatography, Analytical and many others.

Contact Technical Service