Skip to Content
Merck

MABC110

Anti-WIPI-2, clone 1B8.1 Antibody

clone 1B8.1, from mouse

Synonym(s):

WD repeat domain phosphoinositide-interacting protein 2, WIPI-2, WIPI49-like protein 2

Sign In to View Organizational & Contract Pricing.

Select a Size


About This Item

UNSPSC Code:
12352203
NACRES:
NA.41
eCl@ss:
32160702
Conjugate:
unconjugated
Clone:
1B8.1, monoclonal
Application:
IHC, WB
Citations:
-
Technical Service
Need help? Our team of experienced scientists is here for you.
Let Us Assist
Technical Service
Need help? Our team of experienced scientists is here for you.
Let Us Assist

biological source

mouse

conjugate

unconjugated

antibody form

purified immunoglobulin

antibody product type

primary antibodies

clone

1B8.1, monoclonal

species reactivity

human

technique(s)

immunohistochemistry: suitable (paraffin), western blot: suitable

isotype

IgG2aκ

NCBI accession no.

UniProt accession no.

shipped in

wet ice

target post-translational modification

unmodified

Quality Level

Gene Information

human ... WIPI2(26100)

General description

WIPI-2, also known as Atg18, is involved in autophagy by regulating the assembly of mulitprotein complexes by presenting a 7-bladed propeller structure for interactions with phospholipids. Atg18 is a mammalian effector of PtdIns3P and is ubiquitously expressed in a variety of cell lines. Studies show that Atg18 is recruited to early autophagosomal structural formation along with Atg16 and ULK1, and Atg18 is required for the formation of LC3-positive autophagosomes.
~49 kDa observed. Uncharacterized band(s) may appear in some lysates.

Immunogen

Epitope: C-terminus
GST-tagged recombinant protein corresponding to the C-terminus of human WIPI-2.

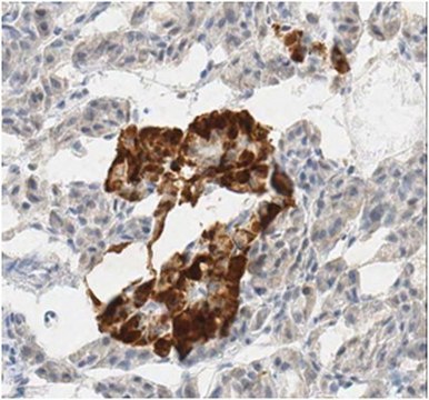
Application

Immunohistochemistry Analysis: A 1:50 dilution from a representative lot detected WIPI-2 in human pancreas tissue.
Research Category
Apoptosis & Cancer
Research Sub Category
Apoptosis - Additional
This Anti-WIPI-2, clone 1B8.1 Antibody is validated for use in Western Blotting and Immunohistochemistry (Paraffin) for the detection of WIPI-2.

Physical form

Format: Purified
Protein G Purified
Purified mouse monoclonal IgG2aκ in buffer containing 0.1 M Tris-Glycine (pH 7.4), 150 mM NaCl with 0.05% sodium azide.

Preparation Note

Stable for 1 year at 2-8°C from date of receipt.

Analysis Note

Evaluated by Western Blotting in human testis tissue lysate.

Western Blotting Analysis: 2.0 µg/mL of this antibody detected WIPI-2 in 10 µg of human testis tissue lysate.

Other Notes

Concentration: Please refer to lot specific datasheet.

Disclaimer

Unless otherwise stated in our catalog or other company documentation accompanying the product(s), our products are intended for research use only and are not to be used for any other purpose, which includes but is not limited to, unauthorized commercial uses, in vitro diagnostic uses, ex vivo or in vivo therapeutic uses or any type of consumption or application to humans or animals.

Not finding the right product?  

Try our Product Selector Tool.

Storage Class

12 - Non Combustible Liquids

wgk

WGK 1

flash_point_f

Not applicable

flash_point_c

Not applicable


Certificates of Analysis (COA)

Search for Certificates of Analysis (COA) by entering the products Lot/Batch Number. Lot and Batch Numbers can be found on a product’s label following the words ‘Lot’ or ‘Batch’.

Already Own This Product?

Find documentation for the products that you have recently purchased in the Document Library.

Visit the Document Library

Global Trade Item Number

SKUGTIN
MABC11004053252996160

Our team of scientists has experience in all areas of research including Life Science, Material Science, Chemical Synthesis, Chromatography, Analytical and many others.

Contact Technical Service