Sign In to View Organizational & Contract Pricing.
Select a Size
About This Item
UNSPSC Code:
12352203
NACRES:
NA.41
eCl@ss:
32160702
Conjugate:
unconjugated
Clone:
3B10, monoclonal
Application:
IHC, WB
Citations:
-
biological source
mouse
conjugate
unconjugated
antibody form
purified antibody
antibody product type
primary antibodies
clone
3B10, monoclonal
species reactivity
human
technique(s)
immunohistochemistry: suitable, western blot: suitable
isotype
IgG1κ
NCBI accession no.
UniProt accession no.
shipped in
wet ice
target post-translational modification
unmodified
Quality Level
Gene Information
human ... PTN(5764)
General description
Pleiotrophin (PTN) also called Neurite Growth-promoting Factor 1 (NEGF1) or HARP (Heparin affin regulatory peptide) is a new member of the heparin-binding neurotrophic factor family. PTN plays an important role in development processess and promotion of neurite extension. During embryonic development, pleiotrophin is expressed in the central and peripheral nervous system, lung, kidney, gut and bone. Pleiotrophin is also expressed by several tumor cells and is thought to be involved in tumor angiogenesis. PTN initiates an angiogenic switch in different cancer models and acts as an angiogenic factor. PTN does this through an interaction with endothelial cells to initiate proliferation, migration, and tube formation.
~20 kDa observed
Immunogen
Recombinant protein corresponding to chicken Pleiotrophin.
Application
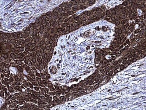
Immunohistochemistry Analysis: A 1:500 dilution from a previous lot detected Pleiotrophin in papillary squamous cell carcinoma tissue.
Research Category
Apoptosis & Cancer
Apoptosis & Cancer
Research Sub Category
Apoptosis - Additional
Developmental Neuroscience
Apoptosis - Additional
Developmental Neuroscience
This Anti-Pleiotrophin Antibody, clone 3B10 is validated for use in IH, WB for the detection of Pleiotrophin.
Physical form
Format: Purified
Protein G Purified
Purified mouse monoclonal IgG1κ in buffer containing PBS without 0.05% sodium azide.
Preparation Note
Stable for 1 year at -20°C from date of receipt.
Handling Recommendations: Upon receipt and prior to removing the cap, centrifuge the vial and gently mix the solution. Aliquot into microcentrifuge tubes and store at -20°C. Avoid repeated freeze/thaw cycles, which may damage IgG and affect product performance.
Handling Recommendations: Upon receipt and prior to removing the cap, centrifuge the vial and gently mix the solution. Aliquot into microcentrifuge tubes and store at -20°C. Avoid repeated freeze/thaw cycles, which may damage IgG and affect product performance.
Analysis Note
Control
Human placenta tissue lysate
Human placenta tissue lysate
Evaluated by Western Blot in human placenta tissue lysate.
Western Blot Analysis: 0.5 µg/mL of this antibody detected Pleiotrophin in 10 µg of human placenta tissue lysate.
Western Blot Analysis: 0.5 µg/mL of this antibody detected Pleiotrophin in 10 µg of human placenta tissue lysate.
Other Notes
Concentration: Please refer to the Certificate of Analysis for the lot-specific concentration.
Replaces: MABD179
Disclaimer
Unless otherwise stated in our catalog or other company documentation accompanying the product(s), our products are intended for research use only and are not to be used for any other purpose, which includes but is not limited to, unauthorized commercial uses, in vitro diagnostic uses, ex vivo or in vivo therapeutic uses or any type of consumption or application to humans or animals.
Not finding the right product?
Try our Product Selector Tool.
Storage Class
12 - Non Combustible Liquids
wgk
WGK 2
flash_point_f
Not applicable
flash_point_c
Not applicable
Certificates of Analysis (COA)
Search for Certificates of Analysis (COA) by entering the products Lot/Batch Number. Lot and Batch Numbers can be found on a product’s label following the words ‘Lot’ or ‘Batch’.
Already Own This Product?
Find documentation for the products that you have recently purchased in the Document Library.
Global Trade Item Number
| SKU | GTIN |
|---|---|
| MABC42 | 04053252681370 |
Our team of scientists has experience in all areas of research including Life Science, Material Science, Chemical Synthesis, Chromatography, Analytical and many others.
Contact Technical Service