Skip to Content
Merck

MABC44

Anti-LAMP-3 Antibody, clone 16H11.2

clone 16H11.2, from mouse

Synonym(s):

LAMP, CD208, LAMP-3, DC-loysosome-associated membrane glycoprotein, DC LAMP, DC-LAMP, Protein TSC403

Sign In to View Organizational & Contract Pricing.

Select a Size


About This Item

UNSPSC Code:
12352203
NACRES:
NA.41
eCl@ss:
32160702
Conjugate:
unconjugated
Clone:
16H11.2, monoclonal
Application:
IHC, WB
Citations:
2
Technical Service
Need help? Our team of experienced scientists is here for you.
Let Us Assist
Technical Service
Need help? Our team of experienced scientists is here for you.
Let Us Assist

biological source

mouse

conjugate

unconjugated

antibody form

purified immunoglobulin

antibody product type

primary antibodies

clone

16H11.2, monoclonal

species reactivity

human

technique(s)

immunohistochemistry: suitable, western blot: suitable

isotype

IgG2bκ

NCBI accession no.

UniProt accession no.

shipped in

wet ice

target post-translational modification

unmodified

Quality Level

Gene Information

human ... LAMP3(27074)

General description

Lysosyme-associated membrane proteins (LAMP) are transmembrane lysosomal glycoproteins, which share a common Gly-Tyr motif as a lysosomal targeting signal. While LAMP-1 and LAMP-2 contain type 1 transmembrane domains, LAMP-3 contains a transmembrane 4 superfamily domain, tetraspanin. FceRI-mediated stimulation of basophils causes LAMP-3 to be translocated from its intracellular localization to the plasma membrane. LAMP-3 thereby serves as a reliable marker for basophil activation. LAMP-3 expression is known to be reported in human bone marrow mast cells and in leukemic human mast cell line (HMC-1), among other cell lines. LAMP3 is shown to be regulated by hypoxia in a panel of tumor cells, via the unfolded protein response (UPR). UPR is a mechanism of adaptation to endoplasmic reticulum stress and is demonstrated to contribute to hypoxic adaptation in tumors through multiple mechanisms.
~65 kDa observed.
The calculated molecular weight of this protein is 41 kDa, but has been observed at ~65-90 kDa due to glycosolation (de Saint-Vis, B., et al. (1998). Immunity. 9(3):325-336).

Immunogen

Recombinant protein corresponding to human LAMP-3.

Application

Detect LAMP-3 using this Anti-LAMP-3 Antibody, clone 16H11.2 validated for use in WB, IH.
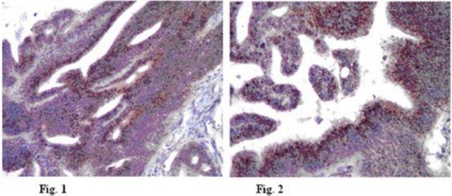
Immunohistochemistry Analysis: A 1:200 dilution from a representative lot detected LAMP-3 in colorectal adenocarcinoma tissue.
Research Category
Cell Structure
Research Sub Category
Apoptosis - Additional

Organelle & Cell Markers

Physical form

Format: Purified
Protein G Purified
Purified mouse monoclonal IgG2bκ in buffer containing 0.1 M Tris-Glycine (pH 7.4), 150 mM NaCl with 0.05% sodium azide.

Preparation Note

Stable for 1 year at 2-8°C from date of receipt.

Analysis Note

Control
MCF-7 cell lysate
Evaluated by Western Blot in MCF-7 cell lysate.

Western Blot Analysis: 1 µg/mL of this antibody detected LAMP-3 in MCF-7 cell lysate.

Other Notes

Concentration: Please refer to the Certificate of Analysis for the lot-specific concentration.

Disclaimer

Unless otherwise stated in our catalog or other company documentation accompanying the product(s), our products are intended for research use only and are not to be used for any other purpose, which includes but is not limited to, unauthorized commercial uses, in vitro diagnostic uses, ex vivo or in vivo therapeutic uses or any type of consumption or application to humans or animals.

Not finding the right product?  

Try our Product Selector Tool.

Storage Class

12 - Non Combustible Liquids

wgk

WGK 1

flash_point_f

Not applicable

flash_point_c

Not applicable


Certificates of Analysis (COA)

Search for Certificates of Analysis (COA) by entering the products Lot/Batch Number. Lot and Batch Numbers can be found on a product’s label following the words ‘Lot’ or ‘Batch’.

Already Own This Product?

Find documentation for the products that you have recently purchased in the Document Library.

Visit the Document Library

Jorge Antolio Dominguez-Bautista et al.
European journal of cell biology, 94(3-4), 148-161 (2015-02-15)
The family of lysosome-associated membrane proteins (LAMP) includes the ubiquitously expressed LAMP1 and LAMP2, which account for half of the proteins in the lysosomal membrane. Another member of the LAMP family is LAMP3, which is expressed only in certain cell
Junya Nishimura et al.
Esophagus : official journal of the Japan Esophageal Society, 16(4), 333-344 (2019-04-11)
Dendritic cells (DCs) are the most potent antigen-presenting cells to induce cytotoxic T lymphocytes in the tumor environment. After acquiring antigens, DCs undergo maturation and their expression of MHC and co-stimulation molecules are enhanced, along with lysosome-associated membrane glycoprotein 3

Global Trade Item Number

SKUGTIN
MABC4404053252521423

Our team of scientists has experience in all areas of research including Life Science, Material Science, Chemical Synthesis, Chromatography, Analytical and many others.

Contact Technical Service