Skip to Content
Merck

MABC677

Anti-AMACR Antibody, clone 2A10F3

ascites fluid, clone 2A10F3, from mouse

Synonym(s):

Alpha-methylacyl-CoA racemase, 2-methylacyl-CoA racemase

Sign In to View Organizational & Contract Pricing.

Select a Size


About This Item

UNSPSC Code:
12352203
NACRES:
NA.41
eCl@ss:
32160702
Conjugate:
unconjugated
Clone:
2A10F3, monoclonal
Application:
ICC, IHC, WB
Citations:
-
Technical Service
Need help? Our team of experienced scientists is here for you.
Let Us Assist
Technical Service
Need help? Our team of experienced scientists is here for you.
Let Us Assist

biological source

mouse

conjugate

unconjugated

antibody form

ascites fluid

antibody product type

primary antibodies

clone

2A10F3, monoclonal

species reactivity

human

technique(s)

immunocytochemistry: suitable, immunohistochemistry: suitable, western blot: suitable

isotype

IgG2b

NCBI accession no.

UniProt accession no.

shipped in

wet ice

target post-translational modification

unmodified

Quality Level

Gene Information

human ... AMACR(23600)

General description

Alpha-methylacyl-CoA racemase (AMACR) is an enzyme responsible for the conversion of pristanoyl-CoA and C27-bile acyl-CoAs to their S-stereoisomers. It is a racemase (RACE), which means it will catalyze the stereochemical inversion around the asymmetric carbon atom in a substrate having only one center of asymmetry. AMACR is localized in peroxisomes and mitochondria. Both increases and decreases of the levels of the enzyme have been linked with human diseases. In particular, reduction in AMACR activity or protein levels leads to an increase in bile acids which can result in neurological disorders and Refsum disease, a disorder that ultimately results in cerebellar degeneration and peripheral neuropathy. AMACR deficiency also can lead to peroxisome disorders that lead to the buildup of pristanic acid, DHCA and EHCA which can lead to mental impairment, confusion, leaning difficulties and liver damage. Increased levels of AMACR are associated with prostate cancer and AMACR is widely used as a cancer marker for prostate cancer. In cancer, the protein is called P504S. Finally, AMACR is responsible for the action of ibuprofen; AMACR will convert any R-enantiomer ibuprofen to S-enantiomer, which is the bioactive form that inhibits the activity of the cyclo-oxygenase enzymes and thus bring about the anti-inflammatory effect of the drug. EMD-Millipore’s Anti-AMACR mouse monoclonal antibody, clone 2A10F3, has been tested in western blot against cell lysates from the human prostate adenocarcinoma cell line LNCaP, as well as, Jurkat cells. The clone has also been tested in immunohistochemistry in human prostate, prostate cancer, and normal cerebellum paraffin embedded tissue sections, and in fluorescent immunocytochemistry against LNCaP cells in culture.
~45 kDa observed. Uncharacterized bands may appear in some lysate(s). Uniprot describes 4 isoforms between ~22 kDa and ~44 kDa

Immunogen

Purified recombinant fragment of human AMACR expressed in E. coli.

Application

Anti-AMACR Antibody, clone 2A10F3 is a highly specific mouse monoclonal antibody, that targets AMACR & has been tested in western blotting, IHC & ICC.
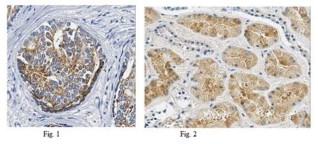
Immunohistochemistry Analysis: A 1:1,000 dilution of this antibody detected AMACR in human prostate cancer and human kidney tissues.

Immunocytochemistry Analysis: A 1:200-1,000 dilution from a representative lot detected AMACR in LNCaP cells.

Optimal working dilutions must be determined by end user.

Analysis Note

Evaluated by Western Blotting in LNCap cell lysate.

Western Blotting Analysis: A 1:1,000 dilution of this antibody detected AMACR in 10 µg of LNCap cell lysate.

Not finding the right product?  

Try our Product Selector Tool.

Storage Class

12 - Non Combustible Liquids

wgk

nwg

flash_point_f

Not applicable

flash_point_c

Not applicable


Certificates of Analysis (COA)

Search for Certificates of Analysis (COA) by entering the products Lot/Batch Number. Lot and Batch Numbers can be found on a product’s label following the words ‘Lot’ or ‘Batch’.

Already Own This Product?

Find documentation for the products that you have recently purchased in the Document Library.

Visit the Document Library

Global Trade Item Number

SKUGTIN
MABC67704053252910029

Our team of scientists has experience in all areas of research including Life Science, Material Science, Chemical Synthesis, Chromatography, Analytical and many others.

Contact Technical Service