Skip to Content
Merck

MABC91

Anti-Atg18 (WIPI-2) Antibody, clone 2A2

clone 2A2, from mouse

Synonym(s):

WD repeat domain phosphoinositide-interacting protein 2, WIPI-2, WIPI49-like protein 2

Sign In to View Organizational & Contract Pricing.

Select a Size


About This Item

UNSPSC Code:
12352203
NACRES:
NA.41
eCl@ss:
32160702
Conjugate:
unconjugated
Clone:
2A2, monoclonal
Application:
IHC, WB
Citations:
13
Technical Service
Need help? Our team of experienced scientists is here for you.
Let Us Assist
Technical Service
Need help? Our team of experienced scientists is here for you.
Let Us Assist

biological source

mouse

conjugate

unconjugated

antibody form

purified immunoglobulin

antibody product type

primary antibodies

clone

2A2, monoclonal

species reactivity

human

technique(s)

immunohistochemistry: suitable (paraffin), western blot: suitable

isotype

IgG1κ

NCBI accession no.

UniProt accession no.

shipped in

wet ice

target post-translational modification

unmodified

Quality Level

Gene Information

human ... WIPI2(26100)

General description

Atg18, also known as WIPI-2, is involved in autophagy by regulating the assembly of mulitprotein complexes by presenting a 7-bladed propeller structure for interactions with phospholipids. Atg18 is a mammalian effector of PtdIns3P and is ubiquitously expressed in a variety of cell lines. Studies show that Atg18 is recruited to early autophagosomal structural formation along with Atg16 and ULK1, and Atg18 is required for the formation of LC3-positive autophagosomes.
~49 kDa observed.
6 isoforms exist with molecular weights ranging from 42 kDa to 48 kDa

Immunogen

Epitope: C-terminus
Linear peptide corresponding to the C-terminus of human Atg18.

Application

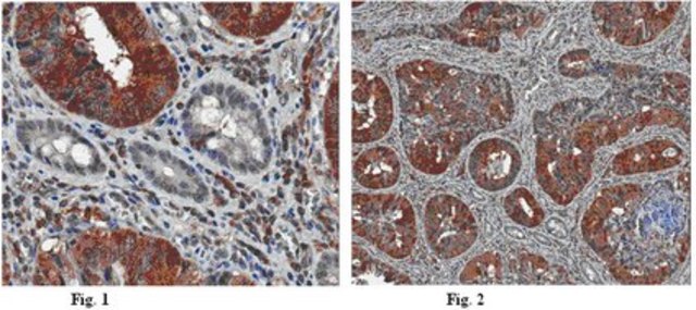
Immunohistochemistry Analysis: A 1:1,000 dilution from a representative lot detected Atg18 in human colorectal adenocarcinoma tissue.
Research Category
Apoptosis & Cancer
Research Sub Category
Apoptosis - Additional
This Anti-Atg18 (WIPI-2) Antibody, clone 2A2 is validated for use in WB, IH(P) for the detection of Atg18 (WIPI-2).

Biochem/physiol Actions

This antibody recognizes Atg18 at the C-terminus.

Physical form

Format: Purified
Protein G Purified
Purified mouse monoclonal IgG1κ in buffer containing 0.1 M Tris-Glycine (pH 7.4), 150 mM NaCl with 0.05% sodium azide.

Preparation Note

Stable for 1 year at 2-8°C from date of receipt.

Analysis Note

Control
Human testis tissue lysate
Evaluated by Western Blot in human testis tissue lysate.

Western Blot Analysis: 0.5 µg/mL of this antibody detected Atg18 in 10 µg of human testis tissue lysate.

Disclaimer

Unless otherwise stated in our catalog or other company documentation accompanying the product(s), our products are intended for research use only and are not to be used for any other purpose, which includes but is not limited to, unauthorized commercial uses, in vitro diagnostic uses, ex vivo or in vivo therapeutic uses or any type of consumption or application to humans or animals.

Not finding the right product?  

Try our Product Selector Tool.

Storage Class

12 - Non Combustible Liquids

wgk

WGK 1

flash_point_f

Not applicable

flash_point_c

Not applicable


Certificates of Analysis (COA)

Search for Certificates of Analysis (COA) by entering the products Lot/Batch Number. Lot and Batch Numbers can be found on a product’s label following the words ‘Lot’ or ‘Batch’.

Already Own This Product?

Find documentation for the products that you have recently purchased in the Document Library.

Visit the Document Library

Shusaku Shibutani et al.
The Journal of biological chemistry, 292(44), 18052-18061 (2017-08-16)
The mechanistic target of rapamycin complex 1 (mTORC1) is a master regulator of protein synthesis and potential target for modifying cellular metabolism in various conditions, including cancer and aging. mTORC1 activity is tightly regulated by the availability of extracellular amino
Takahiro Shimizu et al.
Human molecular genetics, 32(16), 2623-2637 (2023-06-26)
β-propellers that bind polyphosphoinositides (PROPPINs) are an autophagy-related protein family conserved throughout eukaryotes. The PROPPIN family includes Atg18, Atg21 and Hsv2 in yeast and WD-repeat protein interacting with phosphoinositides (WIPI)1-4 in mammals. Mutations in the WIPI genes are associated with
Jie Li et al.
Cellular and molecular gastroenterology and hepatology, 17(6), 1007-1024 (2024-02-10)
In the classic form of α1-antitrypsin deficiency (ATD), the misfolded α1-antitrypsin Z (ATZ) variant accumulates in the endoplasmic reticulum (ER) of liver cells. A gain-of-function proteotoxic mechanism is responsible for chronic liver disease in a subgroup of homozygotes. Proteostatic response
Hayden Weng Siong Tan et al.
Nature communications, 13(1), 3720-3720 (2022-06-29)
PINK1-Parkin mediated mitophagy, a selective form of autophagy, represents one of the most important mechanisms in mitochondrial quality control (MQC) via the clearance of damaged mitochondria. Although it is well known that the conjugation of mammalian ATG8s (mATG8s) to phosphatidylethanolamine
Yasuhiro Yamamoto et al.
Nature communications, 12(1), 3292-3292 (2021-06-04)
Autophagy regulates primary cilia formation, but the underlying mechanism is not fully understood. In this study, we identify NIMA-related kinase 9 (NEK9) as a GABARAPs-interacting protein and find that NEK9 and its LC3-interacting region (LIR) are required for primary cilia

Articles

Autophagy is a regulated process involved in cell growth, development, and recycling of cytoplasmic components in cells.

Related Content

Research Focus: Autophagy

Global Trade Item Number

SKUGTIN
MABC9104053252535567

Our team of scientists has experience in all areas of research including Life Science, Material Science, Chemical Synthesis, Chromatography, Analytical and many others.

Contact Technical Service