Skip to Content
Merck

MABD19

Anti-DMP-1 (CT) Antibody, clone 8G10.3

clone 8G10.3, from mouse

Synonym(s):

Dentin matrix acidic phosphoprotein 1, DMP-1, Dentin matrix protein 1, AG1

Sign In to View Organizational & Contract Pricing.

Select a Size


About This Item

UNSPSC Code:
12352203
NACRES:
NA.41
eCl@ss:
32160702
Conjugate:
unconjugated
Clone:
8G10.3, monoclonal
Application:
DB, IHC
Citations:
5
Technical Service
Need help? Our team of experienced scientists is here for you.
Let Us Assist
Technical Service
Need help? Our team of experienced scientists is here for you.
Let Us Assist

biological source

mouse

conjugate

unconjugated

antibody form

purified immunoglobulin

antibody product type

primary antibodies

clone

8G10.3, monoclonal

species reactivity

human

species reactivity (predicted by homology)

mouse (based on 100% sequence homology), rat (based on 100% sequence homology)

technique(s)

dot blot: suitable, immunohistochemistry: suitable

isotype

IgG1κ

NCBI accession no.

UniProt accession no.

shipped in

wet ice

target post-translational modification

unmodified

Quality Level

Gene Information

human ... DMP1(1758)

General description

53 kDa calculated
Dentin matrix protein 1, also known as DMP-1, is an extracellular matrix protein and a member of the small integrin binding ligand N-linked glycoprotein family. This protein, which is critical for proper mineralization of bone and dentin, is present in diverse cells of bone and tooth tissues. In undifferentiated osteoblasts it is primarily a nuclear protein that regulates the expression of osteoblast-specific genes. During osteoblast maturation the protein becomes phosphorylated and is exported to the extracellular matrix, where it orchestrates mineralized matrix formation. Mutations in DMP-1 are known to cause autosomal recessive hypophosphatemia, a disease that manifests as rickets and osteomalacia.

Immunogen

57 kDa fragments isolated from rat bone
Epitope: C-terminus

Application

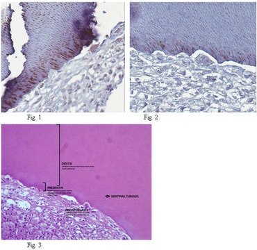
Immunohistochemistry Analysis: A representative lot was used by an independent laboratory in rat mandibular sections. (Baba, O., et al. (2004). Matrix Biology. 23:371–379.)

Dot Blot Analysis: A representative lot was used by an independent laboratory in DB. (Baba, O., et al. (2004). Matrix Biology. 23:371–379.)
Research Category
Stem Cell Research
Research Sub Category
Osteobiology
This Anti-DMP-1 (C-terminus) Antibody, clone 8G10.3 is validated for use in IH, DB for the detection of DMP-1 (C-terminus).

Biochem/physiol Actions

This antibody detects the C-Terminus of DMP-1.

Physical form

Format: Purified
Protein G Purified
Purified mouse monoclonal IgG1κ in buffer containing 0.1 M Tris-Glycine (pH 7.4), 150 mM NaCl with 0.05% sodium azide.

Preparation Note

Stable for 1 year at 2-8°C from date of receipt.

Analysis Note

Control
Human tooth sections
Evaluated by Immunohistochemistry in human tooth sections.

Immunohistochemistry Analysis: 1:50-1:250 dilution of this antibody detected DMP-1 in human tooth sections.

Other Notes

Concentration: Please refer to the Certificate of Analysis for the lot-specific concentration.

Disclaimer

Unless otherwise stated in our catalog or other company documentation accompanying the product(s), our products are intended for research use only and are not to be used for any other purpose, which includes but is not limited to, unauthorized commercial uses, in vitro diagnostic uses, ex vivo or in vivo therapeutic uses or any type of consumption or application to humans or animals.

Not finding the right product?  

Try our Product Selector Tool.

Storage Class

12 - Non Combustible Liquids

wgk

WGK 1

flash_point_f

Not applicable

flash_point_c

Not applicable


Certificates of Analysis (COA)

Search for Certificates of Analysis (COA) by entering the products Lot/Batch Number. Lot and Batch Numbers can be found on a product’s label following the words ‘Lot’ or ‘Batch’.

Already Own This Product?

Find documentation for the products that you have recently purchased in the Document Library.

Visit the Document Library

S Sohn et al.
Journal of dental research, 94(11), 1560-1567 (2015-09-26)
Pulp capping, or placing dental materials directly onto the vital pulp tissues of affected teeth, is a dental procedure that aims to regenerate reparative dentin. Several pulp capping materials are clinically being used, and calcium ion (Ca(2+)) released from these
Fernanda Furuse Ventura Dos Santos et al.
Journal of functional biomaterials, 14(11) (2023-11-24)
In recent years, alternative pulpal therapies targeting dentinogenesis signaling pathways using different peptides have been investigated. The aim of this study was to verify the effectiveness of poly(aspartic acid), pAsp, in dentin regeneration using an animal model. Mechanical pulp exposure
Zhuo Chen et al.
International journal of oral science, 14(1), 20-20 (2022-04-16)
Multiple signaling pathways are involved in the regulation of cell proliferation and differentiation in odontogenesis and dental tissue renewal, but the details of these mechanisms remain unknown. Here, we investigated the expression patterns of a transcription factor, Krüppel-like factor 6
Yongjun Xing et al.
Cell proliferation, 49(2), 185-194 (2016-04-03)
The aim of this study was to investigate differences of odonto-differentiation between P75 -neurotrophin receptor (P75 -NTR)-positive ectomesenchymal stem cells (P75+EMSCs) and P75 -NTR-negative ectomesenchymal stem cells (P75-EMSCs), and their underlying mechanisms. Primary cranial neural crest-derived cells (CNC) were isolated

Global Trade Item Number

SKUGTIN
MABD1904053252687761

Our team of scientists has experience in all areas of research including Life Science, Material Science, Chemical Synthesis, Chromatography, Analytical and many others.

Contact Technical Service