Skip to Content
Merck

MABF106

Anti-Viperin Antibody, clone MaP.VIP

clone MaP.VIP, from mouse

Synonym(s):

Radical S-adenosyl methionine domain-containing protein 2, Cytomegalovirus-induced gene 5 protein, Viperin, Virus inhibitory protein,endoplasmic reticulum-associated, interferon-inducible

Sign In to View Organizational & Contract Pricing.

Select a Size


About This Item

UNSPSC Code:
12352203
NACRES:
NA.41
eCl@ss:
32160702
Conjugate:
unconjugated
Clone:
MaP.VIP, monoclonal
Application:
FACS, ICC, IHC, IP, WB
Citations:
21
Technical Service
Need help? Our team of experienced scientists is here for you.
Let Us Assist
Technical Service
Need help? Our team of experienced scientists is here for you.
Let Us Assist

biological source

mouse

conjugate

unconjugated

antibody form

purified antibody

antibody product type

primary antibodies

clone

MaP.VIP, monoclonal

species reactivity

human, rat, mouse

technique(s)

flow cytometry: suitable, immunocytochemistry: suitable, immunohistochemistry: suitable, immunoprecipitation (IP): suitable, western blot: suitable

isotype

IgG2aκ

NCBI accession no.

UniProt accession no.

shipped in

wet ice

target post-translational modification

unmodified

Quality Level

Gene Information

human ... RSAD2(91543)

Related Categories

General description

Virus inhibitory protein endoplasmic reticulum-associated interferon-inducible (Viperin) belongs to the RSAD2 family and is highly inducible by both type I and type II interferons, but little or no induction is observed in moncytic cell lines. Studies suggest that viperin is involved in host antiviral response, as viperin induction is observed from viral infections. Research also reveals that viperin inhibits influenza replication by disrupting its release from the plasmic membrane through the altering of plasma membrane fluidity by affecting formation of lipid rafts. Lipid rafts are known detergent-resistant microdomian sites for influenza budding.
~42 kDa observed

Immunogen

Recombinant protein corresponding to human Viperin.

Application

Anti-Viperin Antibody, clone MaP.VIP detects level of Viperin & has been published & validated for use in WB, IH, FC, IP & IC.
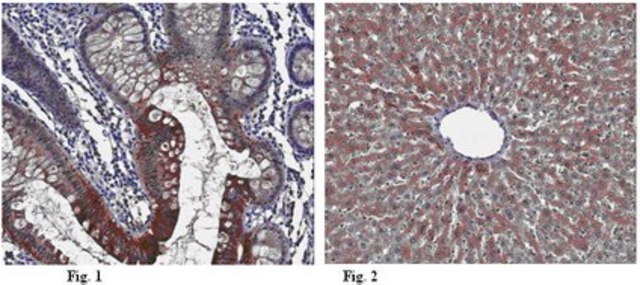
Immunohistochemistry Analysis: A 1:500-1:1,000 dilution from a representative lot detected Viperin in human colon and rat liver tissues.

Immunoprecipitation Analysis: A representative lot was used by an independent laboratory in HepG2 cell lysate (Hinson, E., et al. (2008). JBC. 284(7):4705–4712).

Flow Cytometry Analysis: A representative lot was used by an independent laboratory in mouse liver, spleen, lung, and lymph node cells (Hinson, E., et al. (2010). J. Immunol. 184:5723-5731).

Immunocytochemistry Analysis: A representative lot was used by an independent laboratory in mouse spleen cells (Hinson, E., et al. (2010). J. Immunol. 184:5723-5731).
Research Category
Inflammation & Immunology
Research Sub Category
Immunoglobulins & Immunology

Physical form

Format: Purified
Protein G Purified
Purified mouse monoclonal IgG2aκ in buffer containing 0.1 M Tris-Glycine (pH 7.4), 150 mM NaCl with 0.05% sodium azide.

Preparation Note

Stable for 1 year at 2-8°C from date of receipt.

Analysis Note

Control
Mouse macrophage stimulated with IFN gamma and LPS
Evaluated by Western Blot in mouse macrophage stimulated with IFN gamma and LPS.

Western Blot Analysis: 1 µg/mL of this antibody detected Viperin in 10 µg of mouse macrophage stimulated with IFN gamma and LPS.

Other Notes

Concentration: Please refer to the Certificate of Analysis for the lot-specific concentration.

Disclaimer

Unless otherwise stated in our catalog or other company documentation accompanying the product(s), our products are intended for research use only and are not to be used for any other purpose, which includes but is not limited to, unauthorized commercial uses, in vitro diagnostic uses, ex vivo or in vivo therapeutic uses or any type of consumption or application to humans or animals.

Not finding the right product?  

Try our Product Selector Tool.

Storage Class

12 - Non Combustible Liquids

wgk

WGK 1

flash_point_f

Not applicable

flash_point_c

Not applicable


Certificates of Analysis (COA)

Search for Certificates of Analysis (COA) by entering the products Lot/Batch Number. Lot and Batch Numbers can be found on a product’s label following the words ‘Lot’ or ‘Batch’.

Already Own This Product?

Find documentation for the products that you have recently purchased in the Document Library.

Visit the Document Library

PIK3CA mutation in endometriotic epithelial cells promotes viperin-dependent inflammatory response to insulin.
Wilson, et al.
Reproductive Biology and Endocrinology, 21, 43-43 (2023)
Sara K Martin et al.
Cell reports, 34(8), 108775-108775 (2021-02-25)
In mammalian cells, specialized DNA polymerase ζ (pol ζ) contributes to genomic stability during normal DNA replication. Disruption of the catalytic subunit Rev3l is toxic and results in constitutive chromosome damage, including micronuclei. As manifestations of this genomic stress are
Geneviève Pépin et al.
Nucleic acids research, 44(11), 5356-5364 (2016-05-12)
Gene-recombinase technologies, such as Cre/loxP-mediated DNA recombination, are important tools in the study of gene function, but have potential side effects due to damaging activity on DNA. Here we show that DNA recombination by Cre instigates a robust antiviral response
Geneviève Pépin et al.
Nucleic acids research, 45(1), 198-205 (2016-10-04)
Acridine dyes, including proflavine and acriflavine, were commonly used as antiseptics before the advent of penicillins in the mid-1940s. While their mode of action on pathogens was originally attributed to their DNA intercalating activity, work in the early 1970s suggested
Christopher Jakobs et al.
PloS one, 10(6), e0131702-e0131702 (2015-06-27)
Mice lacking DNase II display a polyarthritis-like disease phenotype that is driven by translocation of self-DNA into the cytoplasm of phagocytic cells, where it is sensed by pattern recognition receptors. While pro-inflammatory gene expression is non-redundantly linked to the presence

Global Trade Item Number

SKUGTIN
MABF10604053252535581

Our team of scientists has experience in all areas of research including Life Science, Material Science, Chemical Synthesis, Chromatography, Analytical and many others.

Contact Technical Service