Skip to Content
Merck

MABF31

Anti-Alpha Defensin-5 (HD5) Antibody, clone 8C8

clone 8C8, from mouse

Synonym(s):

defensin, alpha 5, Paneth cell-specific, defensin, alpha 5, preproprotein, defensin-5, defensin 5, Defensin, alpha 5

Sign In to View Organizational & Contract Pricing.

Select a Size


About This Item

UNSPSC Code:
12352203
NACRES:
NA.41
eCl@ss:
32160702
Conjugate:
unconjugated
Clone:
8C8, monoclonal
Application:
IHC, WB
Citations:
3
Technical Service
Need help? Our team of experienced scientists is here for you.
Let Us Assist
Technical Service
Need help? Our team of experienced scientists is here for you.
Let Us Assist

biological source

mouse

conjugate

unconjugated

antibody form

purified antibody

antibody product type

primary antibodies

clone

8C8, monoclonal

species reactivity

human

technique(s)

immunohistochemistry: suitable, western blot: suitable

isotype

IgG2bκ

NCBI accession no.

UniProt accession no.

shipped in

wet ice

target post-translational modification

unmodified

Quality Level

Gene Information

human ... DEFA5(1670)

General description

10 kDa calculated
Human alpha defensin-5 (HD5) is one of six peptides belonging to the alpha defensin family. Defensins are small peptides involved in immunological defense against viral and microbial infections through either direct interaction with pathogens or in combination with other immune system factors. There are three subfamilies of defensins (α, β, and θ). α defensins are only observed in mammals and are mainly β-sheet structures. Alpha defensin-5 (HD5) is primarily expressed in the Paneth cells found within the small intestine, and has been shown to possess activity against both Gram-positive and Gram-negative microbes. Studies have shown alpha defensin-5 (HD5) to be a strong antagonist towards human Papillomavirus infection. It may also play a role Crohn’s disease.

Immunogen

Recombinant protein corresponding to human alpha defensin-5 (HD5).

Application

Anti-Alpha Defensin-5 (HD5) Antibody, clone 8C8 detects level of Alpha Defensin-5 (HD5) & has been published & validated for use in IH & WB.
Western Blot Analysis: 0.5 ug/mL from a previous lot detected alpha defensin-5 (HD5) in human small intestine tissue lysate. The urea-treated method is recommended instead of SDS page (Shen, B. et al., 2005).

Physical form

Format: Purified

Analysis Note

Control
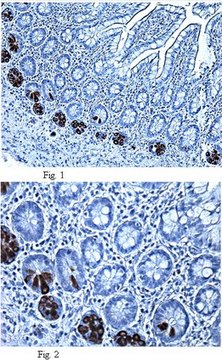
Normal human tranverse colon tissue
Evaluated by Immunohistochemistry in normal human tranverse colon tissue.

Immunohistochemistry Analysis: A 1:200 dilution of this antibody detected alpha defensin-5 (HD5) in normal human tranverse colon tissue.

Other Notes

Concentration: Please refer to the Certificate of Analysis for the lot-specific concentration.

Not finding the right product?  

Try our Product Selector Tool.

Storage Class

12 - Non Combustible Liquids

wgk

WGK 1

flash_point_f

Not applicable

flash_point_c

Not applicable


Certificates of Analysis (COA)

Search for Certificates of Analysis (COA) by entering the products Lot/Batch Number. Lot and Batch Numbers can be found on a product’s label following the words ‘Lot’ or ‘Batch’.

Already Own This Product?

Find documentation for the products that you have recently purchased in the Document Library.

Visit the Document Library

Fardou H Heida et al.
Pediatric research, 80(2), 306-310 (2016-04-07)
Little is known about the perinatal development of Paneth cells (PCs) during gestation and the relation with necrotizing enterocolitis (NEC). We aimed to investigate when PCs arise and when they become immune competent during gestation. We included 57 samples of
Charles Vragniau et al.
Journal of virology, 91(6) (2017-01-13)
Defensins are small antimicrobial peptides capable of neutralizing human adenovirus (HAdV) in vitro by binding capsid proteins and blocking endosomal escape of virus. In humans, the alpha defensin HD5 is produced by specialized epithelial cells of the gastrointestinal and genito-urinary
Gaelle Noel et al.
Frontiers in cell and developmental biology, 9, 685171-685171 (2021-07-31)
Breastfeeding has been associated with long lasting health benefits. Nutrients and bioactive components of human breast milk promote cell growth, immune development, and shield the infant gut from insults and microbial threats. The molecular and cellular events involved in these

Global Trade Item Number

SKUGTIN
MABF3104053252680854

Our team of scientists has experience in all areas of research including Life Science, Material Science, Chemical Synthesis, Chromatography, Analytical and many others.

Contact Technical Service