Skip to Content
Merck

MABN665

Anti-Synaptotagmin-7 Antibody, clone N275/14

clone N275/14, from mouse

Synonym(s):

Synaptotagmin-7, Synaptotagmin VII, SytVII

Sign In to View Organizational & Contract Pricing.

Select a Size


About This Item

UNSPSC Code:
12352203
NACRES:
NA.41
eCl@ss:
32160702
Technical Service
Need help? Our team of experienced scientists is here for you.
Let Us Assist
Technical Service
Need help? Our team of experienced scientists is here for you.
Let Us Assist

Product Name

Anti-Synaptotagmin-7 Antibody, clone N275/14, clone N275/14, from mouse

biological source

mouse

conjugate

unconjugated

antibody form

purified immunoglobulin

antibody product type

primary antibodies

clone

N275/14, monoclonal

species reactivity

mouse, human, rat

technique(s)

immunohistochemistry: suitable
western blot: suitable

isotype

IgG2bκ

NCBI accession no.

UniProt accession no.

shipped in

wet ice

target post-translational modification

unmodified

Quality Level

Gene Information

human ... SYT7(9066)

Application

Research Sub Category
Developmental Signaling
Anti-Synaptotagmin-7 Antibody, clone N275/14 is a highly specific mouse monoclonal antibody, that targets Synaptotagmin & has been tested in western blotting & IHC.
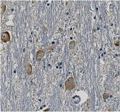
Immunohistochemistry Analysis: A 1:50 dilution from a representative lot detected Synaptotagmin-7 in human thalamus tissue.
Research Category
Neuroscience

Analysis Note

Control
Mouse brain tissue lysate
Evaluated by Western Blotting in mouse brain tissue lysate.

Western Blotting Analysis: 0.5 µg/mL of this antibody detected Synaptotagmin-7 in 10 µg of mouse brain tissue lysate.

Biochem/physiol Actions

This antibody recognizes the cytoplasmic C2A domain of Synaptotagmin-7. This antibody does not cross react with Synaptotagmin-6 or other Synaptotagmins (Prof. J. Trimmer, University of California, Davis.).

Disclaimer

Unless otherwise stated in our catalog or other company documentation accompanying the product(s), our products are intended for research use only and are not to be used for any other purpose, which includes but is not limited to, unauthorized commercial uses, in vitro diagnostic uses, ex vivo or in vivo therapeutic uses or any type of consumption or application to humans or animals.

General description

Synaptotagmin-7 is also referred to as Synaptotagmin VII (SytVII) and is a member of the synaptotagmin family of transmembrane transporters. Synaptotagmin-7 is involved in plasma membrane repair, and possibly Ca2+-dependent exocytosis and traffiking of secretory vesicles.
~ 45 kDa observed. Uncharacterized band(s) may appear in some lysates.

Immunogen

Epitope: Cytoplasmic C2A domain
Recombinant protein corresponding to the cytoplasmic C2A domain of mouse Synaptotagmin-7.

Other Notes

Concentration: Please refer to the Certificate of Analysis for the lot-specific concentration.

Physical form

Format: Purified
Protein G Purified
Purified mouse monoclonal IgG2bκ in buffer containing 0.1 M Tris-Glycine (pH 7.4), 150 mM NaCl with 0.05% sodium azide.

Preparation Note

Stable for 1 year at 2-8°C from date of receipt.

Not finding the right product?  

Try our Product Selector Tool.

Storage Class

12 - Non Combustible Liquids

wgk

WGK 1

flash_point_f

Not applicable

flash_point_c

Not applicable


Certificates of Analysis (COA)

Search for Certificates of Analysis (COA) by entering the products Lot/Batch Number. Lot and Batch Numbers can be found on a product’s label following the words ‘Lot’ or ‘Batch’.

Already Own This Product?

Find documentation for the products that you have recently purchased in the Document Library.

Visit the Document Library

Gaël Barthet et al.
Nature communications, 9(1), 4780-4780 (2018-11-16)
Mutations of the intramembrane protease presenilin (PS) or of its main substrate, the amyloid precursor protein (APP), cause early-onset form of Alzheimer disease. PS and APP interact with proteins of the neurotransmitter release machinery without identified functional consequences. Here we
Synaptotagmin-7 Enhances Facilitation of Cav2.1 Calcium Channels.
Djillani, et al.
eNeuro, 9 (2023)
Christopher Weyrer et al.
Cell reports, 36(12), 109719-109719 (2021-09-23)
Synaptotagmin 7 (Syt7) is a high-affinity calcium sensor that is implicated in multiple aspects of synaptic transmission. Here, we study the influence of Syt7 on the climbing fiber (CF) to Purkinje cell (PC) synapse. We find that small facilitation and
Bassam Tawfik et al.
eLife, 10 (2021-03-23)
Synaptotagmins confer calcium-dependence to the exocytosis of secretory vesicles, but how coexpressed synaptotagmins interact remains unclear. We find that synaptotagmin-1 and synaptotagmin-7 when present alone act as standalone fast and slow Ca2+-sensors for vesicle fusion in mouse chromaffin cells. When
Katarina Trajkovic et al.
The Journal of neuroscience : the official journal of the Society for Neuroscience, 37(37), 9000-9012 (2017-08-20)
Huntington's disease (HD) is an autosomal-dominant neurodegenerative disorder caused by the expansion of a CAG triplet in the gene encoding for huntingtin (Htt). The resulting mutant protein (mHtt) with extended polyglutamine (polyQ) sequence at the N terminus leads to neuronal

Global Trade Item Number

SKUGTIN
MABN66504053252918926

Our team of scientists has experience in all areas of research including Life Science, Material Science, Chemical Synthesis, Chromatography, Analytical and many others.

Contact Technical Service