Skip to Content
Merck

MABS1234

Anti-Progesterone Receptor B Antibody, clone 250/H11

clone 250/H11, from mouse

Synonym(s):

Progesterone receptor, PR, Nuclear receptor subfamily 3 group C member 3, Progesterone Receptor B

Sign In to View Organizational & Contract Pricing.

Select a Size


About This Item

UNSPSC Code:
12352203
NACRES:
NA.41
eCl@ss:
32160702
Technical Service
Need help? Our team of experienced scientists is here for you.
Let Us Assist
Technical Service
Need help? Our team of experienced scientists is here for you.
Let Us Assist

Product Name

Anti-Progesterone Receptor B Antibody, clone 250/H11, clone 250/H11, from mouse

biological source

mouse

conjugate

unconjugated

antibody form

purified immunoglobulin

antibody product type

primary antibodies

clone

250/H11, monoclonal

species reactivity

human

technique(s)

immunocytochemistry: suitable
western blot: suitable

isotype

IgG1κ

NCBI accession no.

UniProt accession no.

shipped in

wet ice

target post-translational modification

unmodified

Quality Level

Gene Information

human ... PGR(5241)

Disclaimer

Unless otherwise stated in our catalog or other company documentation accompanying the product(s), our products are intended for research use only and are not to be used for any other purpose, which includes but is not limited to, unauthorized commercial uses, in vitro diagnostic uses, ex vivo or in vivo therapeutic uses or any type of consumption or application to humans or animals.

Analysis Note

Evaluated by Western Blotting in human breast cancer T47D cell lysate.

Western Blotting Analysis: 2.0 µg/mL of this antibody detected progesterone receptor isoforms B (PR-B), but not isoform A (PR-A) in human breast cancer T47D cell lysate.

Application

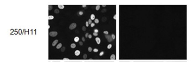
Immunocytochemistry Analysis: A representative lot stained formalin-fixed and paraffin-embedded MCF10A cells engineered to express progesterone receptor isoform B (PR-B), but not MCF10A cells engineered to express isoform A/PR-A (Courtesy of Dr. Dean Edwards, Baylor College of Medicine, USA).
Immunocytochemistry Analysis: A representative lot stained paraformaldehyde-fixed and Triton X-100-fixed MCF10A cells engineered to express progesterone receptor isoform B (PR-B), but not MCF10A cells engineered to express isoform A/PR-A by fluorescent immunocytochemistry (Courtesy of Dr. Dean Edwards, Baylor College of Medicine, USA).
Western Blotting Analysis: A representative lot detected endogenous progesterone receptor isoform B (PR-B) in human breast cancer T47D cell lysate, as well as exogenously expressed PR-B in transfected DCIS.COM human ductal carcinoma in situ (DCIS) breast cancer cells, but not in PR-A-transfected or untransfected DCIS.COM cells (Courtesy of Dr. Dean Edwards, Baylor College of Medicine, USA).
Research Category
Signaling
Research Sub Category
Developmental Signaling
This Anti-Progesterone Receptor B Antibody, clone 250/H11 is validated for use in Western Blotting and Immunocytochemistry for the detection of Progesterone Receptor B.

Biochem/physiol Actions

Clone 250/H11 reacts with isoform 1 (isoform B; PR-B), but not isoform 2 (isoform A; PR-A). This clone is also expected to react with isoform 5 (delta4), but not isoform 3 or 4 (PR-M).

General description

Progesterone receptor (UniProt P06401; also known as Nuclear receptor subfamily 3 group C member 3, PR) is encoded by the PGR (also known as NR3C3) gene (Gene ID 5241) in human. The progesterone receptor (PR) is a hormone activated transcription factor, where hormone binding triggers the dissociation of heat shock and chaperone proteins from PR, leading to PR dimerization and activation. The receptor dimer then binds progestin response elements in the regulatory regions of its target genes and a multi-component complex is assembled to enable transcription. In addition, a number of kinases are also reported to regulate PR activity via phosphorylation. PR can also regulate transcription without direct DNA binding by tethering to other transcription factors, such as specificity protein 1 (Sp1) or activator protein 1 (AP-1), and modulating their transcriptional activity on target genes. PR is expressed as five isoforms, including PR-B and PR-A that are produced as a result of alternate estrogen inducible promoters within the same PGR gene. PR-A lacks the first 164 amino acids of PR-B but the two isoforms have otherwise identical sequence. PR-B and PR-A can regulate distinct subsets of target genes and studies in knockout mice suggest that PR-B predominantly regulates mammary gland development and PR-A is critical for normal uterine function.
~110 kDa observed

Immunogen

Epitope: N-terminal
Recombinant protein corresponding to the N-terminal of human Progesterone Receptor B.

Other Notes

Concentration: Please refer to lot specific datasheet.

Physical form

Format: Purified
Protein G Purified
Purified mouse monoclonal IgG1κ antibody in buffer containing 0.1 M Tris-Glycine (pH 7.4), 150 mM NaCl with 0.05% sodium azide.

Preparation Note

Stable for 1 year at 2-8°C from date of receipt.

Not finding the right product?  

Try our Product Selector Tool.

Storage Class

12 - Non Combustible Liquids

wgk

WGK 1

flash_point_f

Not applicable

flash_point_c

Not applicable


Certificates of Analysis (COA)

Search for Certificates of Analysis (COA) by entering the products Lot/Batch Number. Lot and Batch Numbers can be found on a product’s label following the words ‘Lot’ or ‘Batch’.

Already Own This Product?

Find documentation for the products that you have recently purchased in the Document Library.

Visit the Document Library

Hao Lin et al.
Cancers, 13(21) (2021-11-14)
Expression of the progesterone receptor (PR) has been reported to influence survival outcomes in patients with ovarian high-grade serous carcinoma (HGSC). In the present study, we attempted to investigate the association among PR and its isoforms' expression, platinum sensitivity, and

Related Content

"Mods – modifications – small alterations can have a big impact on form and function. In the motorsports world, stock vehicles are modified to enhance their performance. Modifications, or mods, to the engine, drive train, intake and exhaust components add up to provide phenomenal performance gains that can be measured as horsepower and torque increases, which yield a competitive advantage, and result in reduced run times. In biology, proteins undergo modifications that alter their function. Some proteins require the modifications in order to perform their function effectively, whether it’s a pro-protein that is cleaved to produce an active enzyme, or a protein that is phosphorylated to facilitate a signaling process. Other proteins, such as histones, undergo modifications that regulate gene expression and alter cellular function. There are several post translational modifications such as acetylation, methylation, phosphorylation, and ubiquitination that impact protein function and activity. As a result, the analysis of proteins and their post-translational modifications are particularly important for the study of normal and disease-associated processes. New antibodies to detect phospho Histidines are now available from EMD Millipore."

Global Trade Item Number

SKUGTIN
MABS123404055977288391

Our team of scientists has experience in all areas of research including Life Science, Material Science, Chemical Synthesis, Chromatography, Analytical and many others.

Contact Technical Service