Skip to Content
Merck

MABS458

Anti-Betacellulin Antibody, clone 6G10.1

clone 6G10.1, from mouse

Synonym(s):

Probetacellulin, Betacellulin, BTC

Sign In to View Organizational & Contract Pricing.

Select a Size


About This Item

UNSPSC Code:
12352203
NACRES:
NA.41
eCl@ss:
32160702
Conjugate:
unconjugated
Clone:
6G10.1, monoclonal
Application:
IHC, WB
Citations:
-
Technical Service
Need help? Our team of experienced scientists is here for you.
Let Us Assist
Technical Service
Need help? Our team of experienced scientists is here for you.
Let Us Assist

biological source

mouse

conjugate

unconjugated

antibody form

purified immunoglobulin

antibody product type

primary antibodies

clone

6G10.1, monoclonal

species reactivity

human

technique(s)

immunohistochemistry: suitable, western blot: suitable

isotype

IgG1κ

NCBI accession no.

UniProt accession no.

shipped in

wet ice

target post-translational modification

unmodified

Quality Level

Gene Information

human ... BTC(685)

General description

The human BTC gene (Gene ID 685) encodes the 178 aa preprobetacellulin (UniProt P35070) protein. Post-translatioinal removal of the signal peptide (aa 1-31) produces probetacellulin (aa 32-178), which further matures into the 80 aa betacellulin (aa 32-111) following propeptide (aa 112-178) removal. Betacellulin is an EGF family growth factor with a higher affinity and specificity for ErbB1/EGFR and ErbB4. Betacellulin plays an important role in the development of the acute exacerbations of chronic obstructive pulmonary disease. Betacellulin is also reported to induce CXCL8 (IL-8) production from human lung cancer cells through EGFR–PI3K–Akt–ERK pathway activation, resulting in the recruitment of inflammatory cells in the cancer tissue and creating an inflammatory tumor microenvironment.
~20 kDa observed. Preprobetacellulin (19.7 kDa calculated); Probetacellulin (16.6 kDa calculated); Betacellulin (9.0 kDa calculated). Due to posttranslational glycosylation, target band(s) will migrate with a higher apparent M.W. than caluclated.

Immunogen

Epitope: Mature betacellulin
GST-tagged human recombinant full-length mature betacellulin.

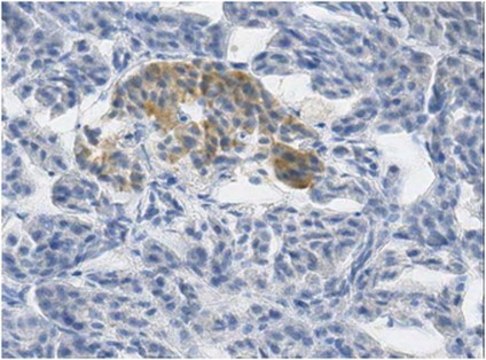
Application

Immunohistochemistry Analysis: A 1:50 dilution from a representative lot detected Betacellulin in human pancreas tissue.
Research Category
Signaling
Research Sub Category
Signaling Neuroscience
This Anti-Betacellulin Antibody, clone 6G10.1 is validated for use in Western Blotting, Immunohistochemistry for the detection of Betacellulin .

Biochem/physiol Actions

Clone 6G10.1 is expected to detect prepro-, pro-, and mature betacellulin.

Physical form

Format: Purified
Protein G Purified
Purified mouse monoclonal IgG1κ antibody in buffer containing 0.1 M Tris-Glycine (pH 7.4), 150 mM NaCl with 0.05% sodium azide.

Preparation Note

Stable for 1 year at 2-8°C from date of receipt.

Analysis Note

Evaluated by Western Blotting in human pancreas tissue lysate.

Western Blotting Analysis: 1.0 µg/mL of this antibody detected Betacellulin in 10 µg of human pancreas tissue lysate.

Other Notes

Concentration: Please refer to lot specific datasheet.

Disclaimer

Unless otherwise stated in our catalog or other company documentation accompanying the product(s), our products are intended for research use only and are not to be used for any other purpose, which includes but is not limited to, unauthorized commercial uses, in vitro diagnostic uses, ex vivo or in vivo therapeutic uses or any type of consumption or application to humans or animals.

Not finding the right product?  

Try our Product Selector Tool.

Storage Class

12 - Non Combustible Liquids

wgk

WGK 1

flash_point_f

Not applicable

flash_point_c

Not applicable


Certificates of Analysis (COA)

Search for Certificates of Analysis (COA) by entering the products Lot/Batch Number. Lot and Batch Numbers can be found on a product’s label following the words ‘Lot’ or ‘Batch’.

Already Own This Product?

Find documentation for the products that you have recently purchased in the Document Library.

Visit the Document Library

Related Content

A major focus of breast cancer research is to understand the mechanisms responsible for disease progression and drug resistance. Toward that end, it has been found that approximately two thirds of all human breast carcinomas overexpress the Estrogen Receptor α (ERα) protein and it remains the primary pharmacological target for endocrine therapy1,2. The normal cellular function of ERα is as a transcription factor that mediates a wide variety of physiological processes, many of which are dependent upon phosphorylation of the receptor at specific amino acid residues3,4. Indeed, ERα is known to be phosphorylated at a multitude of different sites, yet how these all correlate to disease remains unclear5. Here, we interrogated multiple sites of ERα for phosphorylation status by screening an extensive panel of different breast cancer patient samples and other non-breast cancer tissue microarray (TMA) slide samples to determine their relevance to disease.

Global Trade Item Number

SKUGTIN
MABS45804055977175448

Our team of scientists has experience in all areas of research including Life Science, Material Science, Chemical Synthesis, Chromatography, Analytical and many others.

Contact Technical Service