07-416-25UG Sigma-AldrichAnti-Akt1/PKBa
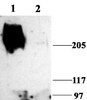
This Anti-Akt1/PKBα Antibody is validated for use in IP, WB for the detection of Akt1/PKBα.
More>> This Anti-Akt1/PKBα Antibody is validated for use in IP, WB for the detection of Akt1/PKBα. Less<<Recommended Products
Overview
| Replacement Information |
|---|
Key Spec Table
| Species Reactivity | Key Applications | Host | Format | Antibody Type |
|---|---|---|---|---|
| H, R, M | IP, WB | Rb | Purified | Polyclonal Antibody |
| References |
|---|
| Product Information | |
|---|---|
| Format | Purified |
| Control |
|
| Presentation | Purified rabbit polyclonal in buffer containing 0.1 M Tris-glycine, pH 7.4, 0.15 M NaCl, 0.05% sodium azide before the addition of glycerol to 30%. |
| Quality Level | MQ100 |
| Physicochemical Information |
|---|
| Dimensions |
|---|
| Materials Information |
|---|
| Toxicological Information |
|---|
| Safety Information according to GHS |
|---|
| Safety Information |
|---|
| Storage and Shipping Information | |
|---|---|
| Storage Conditions | Stable for 1 year at -20ºC from date of receipt. |
| Packaging Information | |
|---|---|
| Material Size | 25 μg |
| Transport Information |
|---|
| Supplemental Information |
|---|
| Specifications |
|---|
| Global Trade Item Number | |
|---|---|
| Catalogue Number | GTIN |
| 07-416-25UG | 04054839337321 |
Documentation
Anti-Akt1/PKBa SDS
| Title |
|---|
Anti-Akt1/PKBa Certificates of Analysis
| Title | Lot Number |
|---|---|
| Anti-Akt1/PKBa - 3604248 | 3604248 |
| Anti-Akt1/PKBa Polyclonal Antibody | 3149817 |



