Skip to Content
Merck

ABN473

Sigma-Aldrich

Anti-GPR Antibody3

from rabbit, purified by affinity chromatography

Synonym(s):

G-protein coupled receptor 3, ACCA orphan receptor

Sign Into View Organizational & Contract Pricing

Select a Size



About This Item

UNSPSC Code:
12352203
eCl@ss:
32160702
NACRES:
NA.41

biological source

rabbit

Quality Level

conjugate

unconjugated

antibody form

affinity isolated antibody

antibody product type

primary antibodies

clone

polyclonal

purified by

affinity chromatography

species reactivity

mouse, human

technique(s)

immunofluorescence: suitable
immunohistochemistry: suitable
western blot: suitable

UniProt accession no.

shipped in

wet ice

target post-translational modification

unmodified

Gene Information

human ... GPR3(2827)

General description

G-protein coupled receptor 3 (GPR3) is a member of the G-protein coupled receptor 1 family that constitutively activates adenylate cyclase and is highly expressed in the central nervous system. Overexpression of GPR3 stimulates the production of amyloid-beta peptide (Abeta), the deposition of which is one of the pathological hallmarks of Alzheimer ′s disease (AD). GPR3 has been shown to block the proliferation of cerebellar granule cell precursors (GCP) during postnatal development by inhibiting the Shh-induced proliferation of GCP, indicating that GPR3 activation may represent one of the signals that triggers the postnatal cell cycle exit and terminal differentiation of GPCs.
~35 kDa observed.

Immunogen

KLH-conjugated linear peptide corresponding to human GPR3.

Application

Detect GPR using this rabbit polyclonal antibody, Anti-GPR Antibody3 validated for use in western blotting, IHC & Immunofluorescence.
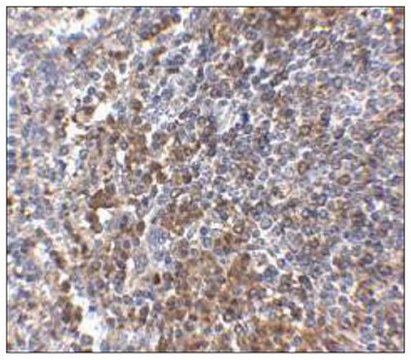
Immunohistochemistry Analysis: 2.5 µg/mL from a representative lot detected GPR3 in human spleen tissue.

Immunofluorescence Analysis: 20 µg/mL from a representative lot detected GPR3 in human spleen cells.
Research Category
Neuroscience
Research Sub Category
Neurodegenerative Diseases

Physical form

Antigen Affinity Purified
Purified rabbit polyclonal in buffer containing PBS with up to 0.1% sodium azide.

Preparation Note

Stable for 1 year at 2-8°C from date of receipt.

Analysis Note

Control
EL4 cell lysate
Evaluated by Western Blotting in EL4 cell lysate.

Western Blotting Analysis: 1 µg/mL of this antibody detected GPR3 in 15 µg of EL4 cell lysate.

Other Notes

Concentration: Please refer to the Certificate of Analysis for the lot-specific concentration.

Disclaimer

Unless otherwise stated in our catalog or other company documentation accompanying the product(s), our products are intended for research use only and are not to be used for any other purpose, which includes but is not limited to, unauthorized commercial uses, in vitro diagnostic uses, ex vivo or in vivo therapeutic uses or any type of consumption or application to humans or animals.

Not finding the right product?  

Try our Product Selector Tool.

Storage Class Code

10 - Combustible liquids

WGK

WGK 2

Flash Point(F)

Not applicable

Flash Point(C)

Not applicable


Certificates of Analysis (COA)

Search for Certificates of Analysis (COA) by entering the products Lot/Batch Number. Lot and Batch Numbers can be found on a product’s label following the words ‘Lot’ or ‘Batch’.

Already Own This Product?

Find documentation for the products that you have recently purchased in the Document Library.

Visit the Document Library

Global Trade Item Number

SKUGTIN
ABN47304053252870507

Our team of scientists has experience in all areas of research including Life Science, Material Science, Chemical Synthesis, Chromatography, Analytical and many others.

Contact Technical Service