Our broad portfolio consists of multiplex panels that allow you to choose, within the panel, analytes that best meet your needs. On a separate tab you can choose the premixed cytokine format or a single plex kit.
Cell Signaling Kits & MAPmates™
Choose fixed kits that allow you to explore entire pathways or processes. Or design your own kits by choosing single plex MAPmates™, following the provided guidelines.
The following MAPmates™ should not be plexed together:
-MAPmates™ that require a different assay buffer
-Phospho-specific and total MAPmate™ pairs, e.g. total GSK3β and GSK3β (Ser 9)
-PanTyr and site-specific MAPmates™, e.g. Phospho-EGF Receptor and phospho-STAT1 (Tyr701)
-More than 1 phospho-MAPmate™ for a single target (Akt, STAT3)
-GAPDH and β-Tubulin cannot be plexed with kits or MAPmates™ containing panTyr
.
Catalogue Number
Ordering Description
Qty/Pack
List
This item has been added to favorites.
Select A Species, Panel Type, Kit or Sample Type
To begin designing your MILLIPLEX® MAP kit select a species, a panel type or kit of interest.
Custom Premix Selecting "Custom Premix" option means that all of the beads you have chosen will be premixed in manufacturing before the kit is sent to you.
Catalogue Number
Ordering Description
Qty/Pack
List
This item has been added to favorites.
Species
Panel Type
Selected Kit
Qty
Catalogue Number
Ordering Description
Qty/Pack
List Price
96-Well Plate
Qty
Catalogue Number
Ordering Description
Qty/Pack
List Price
Add Additional Reagents (Buffer and Detection Kit is required for use with MAPmates)
Qty
Catalogue Number
Ordering Description
Qty/Pack
List Price
48-602MAG
Buffer Detection Kit for Magnetic Beads
1 Kit
Space Saver Option Customers purchasing multiple kits may choose to save storage space by eliminating the kit packaging and receiving their multiplex assay components in plastic bags for more compact storage.
This item has been added to favorites.
The Product Has Been Added To Your Cart
You can now customize another kit, choose a premixed kit, check out or close the ordering tool.
Anti-Aquaporin 2 (254-271), rabbit polyclonal, recognizes the ~40 and ~29 kDa forms of aquaporin-2 in rat kidney membrane. Supplied with a control peptide. It is validated for WB, IHC, and IP.
More>>Anti-Aquaporin 2 (254-271), rabbit polyclonal, recognizes the ~40 and ~29 kDa forms of aquaporin-2 in rat kidney membrane. Supplied with a control peptide. It is validated for WB, IHC, and IP. Less<<
Anti-Aquaporin 2 (254-271) Rabbit pAb MSDS (material safety data sheet) or SDS, CoA and CoQ, dossiers, brochures and other available documents.
The quantity field is empty. Please enter a quantity of 1 or more to add items to your cart.
Description
Overview
Recognizes the ~40 kDa and ~29 kDa forms of aquaporin-2 in rat kidney membrane. Supplied with a control peptide (AQP2254-271 immunogen peptide).
Catalogue Number
178612
Brand Family
Calbiochem®
Synonyms
Anti-AQP2, Anti-AQP-CD, Anti-WCH-CD
Application Data
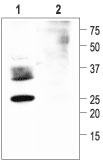
Detection of rat aquaporin 2 by immunoblotting. Samples: Rat kidney membranes (lane 1) and preincubated with a control peptide antigen (lane 2). Primary antibody: Anti-Aquaporin 2 (254-271) Rabbit pAb (Cat. No. 178612) (1:200). Detection: chemiluminescence. Detection of rat aquaporin 2 by immunohistochemistry. Sample: Rat kidney showing the inner medulla. Primary antibody: Anti-Aquaporin 2 (254-271) Rabbit pAb (Cat. No. 178612) (1:100). Detection: fluorescence.
References
References
Fushimi, K., et al. 1997. J. Biol. Chem. 272, 14800. Fushimi, K., et al. 1993. Nature 361, 549. Ma, T., et al. 1993. Biochem. Biophys. Res. Commun. 197, 654. Nielson, S., et al. 1993. Proc. Natl. Acad. Sci. USA90, 11663.
Product Information
Form
Lyophilized
Formulation
50 µl antibody lyophilized from PBS, 5% sucrose, pH 7.4 and 40 µg control peptide lyophilized from PBS.
Immunoprecipitation
Fushimi, K., et al. 1997. J. Biol. Chem. 272, 14800.
Immunohistochemistry
Fushimi, K., et al. 1993. Nature 361, 549.
Nielson, S., et al. 1993. Proc. Natl. Acad. Sci. USA90, 11663.
Immunoblotting (1:200-1:600) Immunohistochemistry (see application reference) Immunoprecipitation (see application reference)
Application Comments
Immunogen peptide is identical in rat and mouse protein, and differs by one amino acid in the human sequence. The epitope is unique for AQP2 and is not present in other known related proteins. It is identical in mouse and rat, and only slightly different (17/18 identical) in human. To prepare a negative control, preincubate 1 µg peptide with 1 µg antibody for 1 h at room temperature. Variables associated with assay conditions will dictate the optimal working dilution.
Biological Information
Immunogen
a synthetic peptide [(KY)RQSVELHSPQSLPRGSKA] corresponding to amino acids 254-271 of rat and mouse AQP2, conjugated to KLH
Immunogen
Mouse/Rat
Host
Rabbit
Isotype
IgG
Species Reactivity
Human
Mouse
Rat
Antibody Type
Polyclonal Antibody
Concentration Label
Please refer to vial label for lot-specific concentration
Physicochemical Information
Dimensions
Materials Information
Toxicological Information
Safety Information according to GHS
Safety Information
Product Usage Statements
Storage and Shipping Information
Ship Code
Ambient Temperature Only
Toxicity
Irritant
Storage
-20°C
Do not freeze
Ok to freeze
Special Instructions
Please see antibody label for lot specific reconstitution instructions. Further dilutions should be made in a physiological buffer containing a carrier protein such as 1-3% BSA. To reduce nonspecific staining, centrifuge all antibody preparations before use (10000 x g for 5 min) to remove any aggregates. Following reconstitution, aliquot and freeze (-20°C). Reconstitute the peptide in 100 µl deionized water, aliquot, and freeze (-20°C).
Packaging Information
Transport Information
Supplemental Information
Specifications
Global Trade Item Number
Catalogue Number
GTIN
178612-1STCN
04055977204902
Documentation
Anti-Aquaporin 2 (254-271) Rabbit pAb Certificates of Analysis
Title
Lot Number
178612
References
Reference overview
Fushimi, K., et al. 1997. J. Biol. Chem. 272, 14800. Fushimi, K., et al. 1993. Nature 361, 549. Ma, T., et al. 1993. Biochem. Biophys. Res. Commun. 197, 654. Nielson, S., et al. 1993. Proc. Natl. Acad. Sci. USA90, 11663.
Data Sheet
Note that this data sheet is not lot-specific and is representative of the current specifications for this product. Please consult the vial label and the certificate of analysis for information on specific lots. Also note that shipping conditions may differ from storage conditions.
Revision
14-February-2008 JSW
Synonyms
Anti-AQP2, Anti-AQP-CD, Anti-WCH-CD
Application
Immunoblotting (1:200-1:600) Immunohistochemistry (see application reference) Immunoprecipitation (see application reference)
Application Data
Detection of rat aquaporin 2 by immunoblotting. Samples: Rat kidney membranes (lane 1) and preincubated with a control peptide antigen (lane 2). Primary antibody: Anti-Aquaporin 2 (254-271) Rabbit pAb (Cat. No. 178612) (1:200). Detection: chemiluminescence. Detection of rat aquaporin 2 by immunohistochemistry. Sample: Rat kidney showing the inner medulla. Primary antibody: Anti-Aquaporin 2 (254-271) Rabbit pAb (Cat. No. 178612) (1:100). Detection: fluorescence.
Description
Protein A purified rabbit polyclonal antibody. Recognizes the ~40 kDa and ~29 kDa aquaporin-2 proteins. Supplied with a control peptide (AQP2254-271 immunogen peptide).
Background
AQP2 is the vasopressin-regulated water channel of the apical membrane of collecting duct cells. Defects in AQP2 are a cause of an autosomal dominant form of nephrogenic diabetes insipidus (NDI).
Host
Rabbit
Immunogen species
Mouse/Rat
Immunogen
a synthetic peptide [(KY)RQSVELHSPQSLPRGSKA] corresponding to amino acids 254-271 of rat and mouse AQP2, conjugated to KLH
Isotype
IgG
Species
human, mouse, rat
Form
Lyophilized
Formulation
50 µl antibody lyophilized from PBS, 5% sucrose, pH 7.4 and 40 µg control peptide lyophilized from PBS.
Concentration Label
Please refer to vial label for lot-specific concentration
Preservative
≤0.1% sodium azide
Comments
Immunogen peptide is identical in rat and mouse protein, and differs by one amino acid in the human sequence. The epitope is unique for AQP2 and is not present in other known related proteins. It is identical in mouse and rat, and only slightly different (17/18 identical) in human. To prepare a negative control, preincubate 1 µg peptide with 1 µg antibody for 1 h at room temperature. Variables associated with assay conditions will dictate the optimal working dilution.
Storage
-20°C
Do Not Freeze
Ok to freeze
Special Instructions
Please see antibody label for lot specific reconstitution instructions. Further dilutions should be made in a physiological buffer containing a carrier protein such as 1-3% BSA. To reduce nonspecific staining, centrifuge all antibody preparations before use (10000 x g for 5 min) to remove any aggregates. Following reconstitution, aliquot and freeze (-20°C). Reconstitute the peptide in 100 µl deionized water, aliquot, and freeze (-20°C).
Toxicity
Irritant
References
Fushimi, K., et al. 1997. J. Biol. Chem. 272, 14800. Fushimi, K., et al. 1993. Nature 361, 549. Ma, T., et al. 1993. Biochem. Biophys. Res. Commun. 197, 654. Nielson, S., et al. 1993. Proc. Natl. Acad. Sci. USA90, 11663.
Application references
Immunoprecipitation
Fushimi, K., et al. 1997. J. Biol. Chem. 272, 14800.
Immunohistochemistry
Fushimi, K., et al. 1993. Nature 361, 549.
Nielson, S., et al. 1993. Proc. Natl. Acad. Sci. USA90, 11663.