Skip to Content
Merck

AB6021

Sigma-Aldrich

Anti-Stabilin-1 Antibody, CT

from rabbit

Synonym(s):

Fasciclin, EGF-like, laminin-type EGF-like and link domain-containing scavenger receptor 1, MS-1 antigen, common lymphatic endothelial and vascular endothelial receptor-1, fasciclin egf-like, laminin-type egf-like, and link domain-containing scavenger re

Sign Into View Organizational & Contract Pricing

Select a Size



About This Item

UNSPSC Code:
12352203
eCl@ss:
32160702
NACRES:
NA.41

biological source

rabbit

Quality Level

conjugate

unconjugated

antibody form

unpurified

antibody product type

primary antibodies

clone

polyclonal

species reactivity

human

technique(s)

immunofluorescence: suitable
immunohistochemistry: suitable (paraffin)
western blot: suitable

UniProt accession no.

shipped in

wet ice

target post-translational modification

unmodified

Gene Information

human ... STAB1(23166)

General description

Stabilin-1 and Stabilin-2 constitute a novel family of fasciclin domain-containing hyaluronan receptor homologs that may play a role in cell-cell and cell-extracellular matrix interactions in vascular function and inflammatory processes. Stabilin-1 is a transmembrane protein, expressed in endothelial cells within the sinusoidal regions of liver, spleen, and lymph tissues as well as macrophages. Stabilin-2 is absent from the latter (Politz, 2002).
~ 275 kDa

Immunogen

Epitope: C-terminus
GST-tagged recombinant protein corresponding to the C-terminus of human Stabilin-1.

Application

Anti-Stabilin-1 Antibody, C-terminus is an antibody against Stabilin-1 for use in WB, IH(P) & IF.
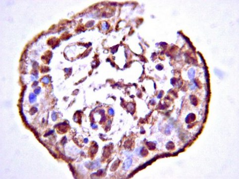
Immunohistochemistry Analysis: 1:500 dilution from a previous lot detected Stabilin-1 in human placental tertiary villi.
Immunofluorescence Analysis: A previous lot of Anti-Stabilin-1, C-terminus was shown to positively stain using immunofluorescence techniques (Kzhyshkowska, 2008).
Research Category
Cell Structure
Research Sub Category
Adhesion (CAMs)

Biochem/physiol Actions

Other notable species homologies include mouse (87%) and rat (83%).
The antibody recognizes the C-terminus of Stabilin-1 within the cytoplasmic region of a cell.

Physical form

Format: Unpurified
Unpurified
Unpurified rabbit polyclonal in serum with 0.05% sodium azide.

Preparation Note

Stable for 1 year at -20°C from date of receipt if stored in undiluted aliquots.
Upon first thaw, and prior to removing the cap, centrifuge the vial and gently mix the solution. Aliquot into microcentrifuge tubes and store at -20°C. Avoid repeated freeze/thaw cycles, which may damage IgG and affect product performance.

Analysis Note

Control
HUVEC lysate.
Evaluated by Western blot in HUVEC lysate.
Western blot Analysis: 1:1,000 dilution of this antibody detected Stabilin-1 on 10 µg of HUVEC lysate.

Disclaimer

Unless otherwise stated in our catalog or other company documentation accompanying the product(s), our products are intended for research use only and are not to be used for any other purpose, which includes but is not limited to, unauthorized commercial uses, in vitro diagnostic uses, ex vivo or in vivo therapeutic uses or any type of consumption or application to humans or animals.

Not finding the right product?  

Try our Product Selector Tool.

Storage Class Code

10 - Combustible liquids

WGK

WGK 1


Certificates of Analysis (COA)

Search for Certificates of Analysis (COA) by entering the products Lot/Batch Number. Lot and Batch Numbers can be found on a product’s label following the words ‘Lot’ or ‘Batch’.

Already Own This Product?

Find documentation for the products that you have recently purchased in the Document Library.

Visit the Document Library

HOXC9 regulates formation of parachordal lymphangioplasts and the thoracic duct in zebrafish via stabilin 2.
Stoll, SJ; Bartsch, S; Kroll, J
Testing null
Marianne B Ariganello et al.
International journal of nanomedicine, 13, 8297-8308 (2018-12-26)
Nanoscale surface modifications are widely touted to improve the biocompatibility of medically relevant materials. Immune cells, such as macrophages, play a critical role in the initial healing events following implantation. To understand the response of macrophages to nanotopography better, we

Global Trade Item Number

SKUGTIN
AB602104053252404603

Our team of scientists has experience in all areas of research including Life Science, Material Science, Chemical Synthesis, Chromatography, Analytical and many others.

Contact Technical Service