Skip to Content
Merck

HPA008612

Anti-TGFBI antibody produced in rabbit

Prestige Antibodies® Powered by Atlas Antibodies, affinity isolated antibody, buffered aqueous glycerol solution

Synonym(s):

Anti-Beta ig-h3, Anti-Kerato-epithelin, Anti-RGD-CAP, Anti-RGD-containing collagen-associated protein, Anti-Transforming growth factor-beta-induced protein ig-h3 precursor

Sign In to View Organizational & Contract Pricing.

Select a Size


About This Item

UNSPSC Code:
12352203
NACRES:
NA.41
Human Protein Atlas Number:
Technical Service
Need help? Our team of experienced scientists is here for you.
Let Us Assist
Technical Service
Need help? Our team of experienced scientists is here for you.
Let Us Assist

Product Name

Anti-TGFBI antibody produced in rabbit, Prestige Antibodies® Powered by Atlas Antibodies, affinity isolated antibody, buffered aqueous glycerol solution

biological source

rabbit

conjugate

unconjugated

antibody form

affinity isolated antibody

antibody product type

primary antibodies

clone

polyclonal

product line

Prestige Antibodies® Powered by Atlas Antibodies

form

buffered aqueous glycerol solution

species reactivity

human

enhanced validation

independent
orthogonal RNAseq
Learn more about Antibody Enhanced Validation

technique(s)

immunohistochemistry: 1:500- 1:1000

immunogen sequence

DHHATNGVVHLIDKVISTITNNIQQIIEIEDTFETLRAAVAASGLNTMLEGNGQYTLLAPTNEAFEKIPSETLNRILGDPEALRDLLNNHILKSAMCAEAIVAGLSVETLEGTTLEVGCSGDMLTINGKAIISNKD

UniProt accession no.

application(s)

research pathology

shipped in

wet ice

storage temp.

−20°C

target post-translational modification

unmodified

Quality Level

Gene Information

human ... TGFBI(7045)

Application

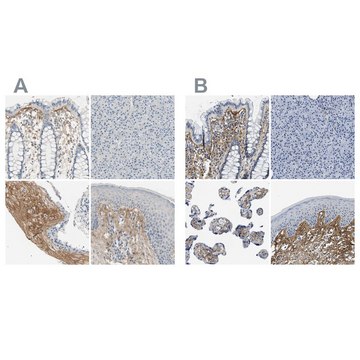
Anti-TGFBI antibody produced in rabbit, a Prestige Antibody, is developed and validated by the Human Protein Atlas (HPA) project . Each antibody is tested by immunohistochemistry against hundreds of normal and disease tissues. These images can be viewed on the Human Protein Atlas (HPA) site by clicking on the Image Gallery link. The antibodies are also tested using immunofluorescence and western blotting. To view these protocols and other useful information about Prestige Antibodies and the HPA, visit sigma.com/prestige.

Biochem/physiol Actions

TGFBI (transforming growth factor β induced) in involved in the initiation of morphongensis, inflammation, cell division, adhesion, proliferation, migration and differentiation. It acts as linker protein mediating the interaction of integrin to ECM (extracellular matrix) proteins. It is up-regulated in multiple human cancers, such as colorectal cancer, where its expression is linked to poor prognosis. It acts as a regulator of cyclins and CDKs (cyclin dependent kinases) in melanomas, and is highly secreted by metastatic melanoma cell. Thus, it facilitates growth and survival in metastatic melanoma cells. In HBV (hepatitis B virus)-related HCC (hepatocellular carcinoma), the aberrant expression of this protein is linked to the oncogenic potential of HBV S gene.

Disclaimer

Unless otherwise stated in our catalog or other company documentation accompanying the product(s), our products are intended for research use only and are not to be used for any other purpose, which includes but is not limited to, unauthorized commercial uses, in vitro diagnostic uses, ex vivo or in vivo therapeutic uses or any type of consumption or application to humans or animals.

Features and Benefits

Prestige Antibodies® are highly characterized and extensively validated antibodies with the added benefit of all available characterization data for each target being accessible via the Human Protein Atlas portal linked just below the product name at the top of this page. The uniqueness and low cross-reactivity of the Prestige Antibodies® to other proteins are due to a thorough selection of antigen regions, affinity purification, and stringent selection. Prestige antigen controls are available for every corresponding Prestige Antibody and can be found in the linkage section.

Every Prestige Antibody is tested in the following ways:
  • IHC tissue array of 44 normal human tissues and 20 of the most common cancer type tissues.
  • Protein array of 364 human recombinant protein fragments.

General description

TGFBI (transforming growth factor β induced) is a secretory protein, the secretion of which is induced by TGFβ in fibroblasts. It was first recognized in TGFβ-treated human lung adenocarcinoma cell line (A549). It is a highly conserved 68kDa protein, composed of 683 amino acids. It is predominantly expressed by fibroblasts, muscle cells and keratinocytes.

Immunogen

Transforming growth factor-beta-induced protein ig-h3 precursor recombinant protein epitope signature tag (PrEST)

Other Notes

Corresponding Antigen APREST71267

Physical form

Solution in phosphate-buffered saline, pH 7.2, containing 40% glycerol and 0.02% sodium azide

Legal Information

Prestige Antibodies is a registered trademark of Merck KGaA, Darmstadt, Germany

Not finding the right product?  

Try our Product Selector Tool.

Storage Class

10 - Combustible liquids

wgk

WGK 1

flash_point_f

Not applicable

flash_point_c

Not applicable

ppe

Eyeshields, Gloves, multi-purpose combination respirator cartridge (US)


Choose from one of the most recent versions:

Certificates of Analysis (COA)

Lot/Batch Number

Don't see the Right Version?

If you require a particular version, you can look up a specific certificate by the Lot or Batch number.

Already Own This Product?

Find documentation for the products that you have recently purchased in the Document Library.

Visit the Document Library

Jing Zhu et al.
International journal of clinical and experimental pathology, 8(1), 702-710 (2015-03-11)
Transforming growth factor-beta-induced (TGFBI) serves as a linker protein and plays a role in the activation of morphogenesis, cell proliferation, adhesion, migration, differentiation and inflammation. High expression levels of the human TGFBI gene are correlated with numerous human malignancies. In
Sophie Bachy et al.
iScience, 25(2), 103758-103758 (2022-02-12)
Macrophages play an important role in immune and matrix regulation during pancreatic adenocarcinoma (PDAC). Collagen deposition massively contributes to the physical and functional changes of the tissue during pathogenesis. We investigated the impact of thick collagen fibers on the phenotype
Laura Lauden et al.
The Journal of investigative dermatology, 134(6), 1675-1685 (2014-02-07)
Tumor-produced extracellular matrix (ECM) proteins can be key elements in tumor growth and metastasis. Transforming growth factor beta-inducible (TGFBI) protein is a secreted ECM component that can have dual function in cancer, acting as tumor suppressor or promoter. Although TGFBI
Abraham Kuot et al.
European journal of human genetics : EJHG, 20(6), 632-638 (2012-01-12)
Fuchs' endothelial dystrophy (FED) is a disease affecting the corneal endothelium. Recent studies reported significant association of polymorphisms in the TCF4 (transcription factor 4) gene, and a borderline association of PTPRG (protein tyrosine phosphatase, receptor type, G) variants with late-onset
Shih Sheng Jiang et al.
Biochimica et biophysica acta, 1842(7), 1080-1087 (2014-03-26)
The nonsense mutations of the hepatitis B virus (HBV) surface (S) gene have been reported to have oncogenic potential. We have previously identified several transforming nonsense mutations of the HBV S gene from hepatocarcinoma (HCC) patients. Among them, the sW182*

Our team of scientists has experience in all areas of research including Life Science, Material Science, Chemical Synthesis, Chromatography, Analytical and many others.

Contact Technical Service