Skip to Content
Merck

06-755

Anti-Histone H3.1t (H3-4) Antibody

UPSTATE®, rabbit polyclonal

Synonym(s):

Histone H3.1t, H3/t, H3t, H3/g

Sign In to View Organizational & Contract Pricing.

Select a Size


About This Item

UNSPSC Code:
12352203
eCl@ss:
32160702
NACRES:
NA.41
Technique(s):
western blot: suitable, ChIP: suitable, immunocytochemistry: suitable, immunoprecipitation (IP): suitable
Clone:
polyclonal
Application:
ChIP, ICC, IP, WB
Citations:
302
Technical Service
Need help? Our team of experienced scientists is here for you.
Let Us Assist
Technical Service
Need help? Our team of experienced scientists is here for you.
Let Us Assist

Product Name

Anti-Histone H3 Antibody, 0.5 mg/mL, Upstate®

technique(s)

western blot: suitable, ChIP: suitable, immunocytochemistry: suitable, immunoprecipitation (IP): suitable

biological source

rabbit

antibody form

affinity isolated antibody

antibody product type

primary antibodies

clone

polyclonal

purified by

affinity chromatography

species reactivity

rat, mouse, human

manufacturer/tradename

Upstate®

concentration

0.5 mg/mL

NCBI accession no.

UniProt accession no.

shipped in

wet ice

target post-translational modification

unmodified

Quality Level

Gene Information

human ... H3C1(8350)
mouse ... H3C1(360198)
rat ... H3C1(679994)

Looking for similar products? Visit Product Comparison Guide

General description

Histone H3, also known as Histone H3.1t, H3/t, H3t, or H3/g, and encoded by the gene HIST3H3/H3Ft, is one of the core components of the nucleosome. The nucleosome is a histone octamer containing two molecules each of H2A, H2B, H3 and H4 assembled in one H3-H4 heterotetramer and two H2A-H2B heterodimers. Nucleosomes wrap and compact DNA into chromatin, limiting DNA accessibility to the cellular machineries which require DNA as a template. Histones thereby play a central role in transcription regulation, DNA repair, DNA replication and chromosomal stability. DNA accessibility is regulated via a complex set of post-translational modifications of histones, also called histone code, and nucleosome remodeling. The octamer wraps approximately 147 bp of DNA. A classic nuclear marker, new expression is seen during S phase of the cell cycle. Histone H3 is often acetylated and or methylated multiple times. Changes in methylation or acetylation state of histone H3 together with similar modification on the sister histones is one key aspect of epigenetic gene expression and regulation.
~17 kDa observed

Immunogen

Epitope: N-terminus
KLH-conjugated linear peptide corresponding to the N-terminus of human Histone H3.

Application

Anti-Histone H3 Antibody is a Rabbit Polyclonal Antibody for detection of Histone H3 also known as histone 3-H3 & has been validated in ChIP, ICC & WB.
Immunocytochemistry Analysis: A 1:500 dilution from a representative lot detected Histone H3 in HeLa cells.

Immunoprecipitation Analysis: 10 µg from a representative lot immunoprecipitated Histone H3 from 500 µg of HeLa acid extract. Immunoprecipitated sample was then subjected to Western Blotting using 0.5 µg/mL of the same antibody.

Chromatin Immunoprecipitaton: A representative lot from an independent laboratory immunoprecipitated Histone H3 from plant chromatin (Ng, D. W., et al. (2006). Plant Cell. 18(1):119-132.).
Research Category
Epigenetics & Nuclear Function
Research Sub Category
Histones

Biochem/physiol Actions

Broad species cross-reactivity is expected based on sequence similarity.
This antibody recognizes Histone H3 at the N-terminus.

Physical form

Affinity purified
Purified rabbit polyclonal in buffer containing 0.1 M Tris-Glycine (pH 7.4), 150 mM NaCl with 0.05% sodium azide.

Preparation Note

Stable for 1 year at 2-8°C from date of receipt.

Analysis Note

Control
HeLa acid extract
Evaluated by Western Blotting in HeLa acid extract.

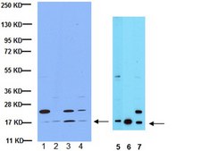
Western Blotting Analysis: 0.5 µg/mL of this antibody detected Histone H3 in 10 µg of HeLa acid extract.

Legal Information

UPSTATE is a registered trademark of Merck KGaA, Darmstadt, Germany

Disclaimer

Unless otherwise stated in our catalog or other company documentation accompanying the product(s), our products are intended for research use only and are not to be used for any other purpose, which includes but is not limited to, unauthorized commercial uses, in vitro diagnostic uses, ex vivo or in vivo therapeutic uses or any type of consumption or application to humans or animals.

Not finding the right product?  

Try our Product Selector Tool.

Storage Class

12 - Non Combustible Liquids

wgk

WGK 1

flash_point_f

Not applicable

flash_point_c

Not applicable


Certificates of Analysis (COA)

Search for Certificates of Analysis (COA) by entering the products Lot/Batch Number. Lot and Batch Numbers can be found on a product’s label following the words ‘Lot’ or ‘Batch’.

Already Own This Product?

Find documentation for the products that you have recently purchased in the Document Library.

Visit the Document Library

Downregulation of Cdc6 and pre-replication complexes in response to methionine stress in breast cancer cells.
Booher, K; Lin, DW; Borrego, SL; Kaiser, P
Cell Cycle null
The many faces of histone lysine methylation.
Lachner, Monika and Jenuwein, Thomas
Current Opinion in Cell Biology, 14, 286-298 (2002)
Yang Li et al.
Cancer science, 102(11), 2043-2050 (2011-08-13)
Cervical cancer is the second most common cancer in women. Inactivation of tumor suppressor genes underlies the transformation and progression of cervical cancer. Previously, we reported MAFIP can inhibit the growth of human cervical cancer HeLa cells. In this study
Xiaoyun Wen et al.
PloS one, 7(1), e30939-e30939 (2012-02-01)
The HIV1 protein Vpr assembles with and acts through an ubiquitin ligase complex that includes DDB1 and cullin 4 (CRL4) to cause G2 cell cycle arrest and to promote degradation of both uracil DNA glycosylase 2 (UNG2) and single-strand selective
Alexander Krichevsky et al.
Proceedings of the National Academy of Sciences of the United States of America, 108(27), 11157-11162 (2011-06-22)
Covalent modifications of histones, such as acetylation, methylation and ubiquitination, are central for regulation of gene expression. Heterochromatic gene silencing, for example, is associated with hypoacetylation, methylation and demethylation, and deubiquitination of specific amino acid residues in histone molecules. Many

Global Trade Item Number

SKUGTIN
06-75504053252581960

Our team of scientists has experience in all areas of research including Life Science, Material Science, Chemical Synthesis, Chromatography, Analytical and many others.

Contact Technical Service