Skip to Content
Merck

Key Documents

ABS437

Sigma-Aldrich

Anti-RSPO1 Antibody

from rabbit, purified by affinity chromatography

Synonym(s):

R-spondin1, RSPO, CRISTIN3, Roof plate-specific spondin-1, hRspo1

Sign Into View Organizational & Contract Pricing

Select a Size



About This Item

UNSPSC Code:
12352203
eCl@ss:
32160702
NACRES:
NA.41

biological source

rabbit

Quality Level

conjugate

unconjugated

antibody form

affinity isolated antibody

antibody product type

primary antibodies

clone

polyclonal

purified by

affinity chromatography

species reactivity

rat, human

technique(s)

immunofluorescence: suitable
immunohistochemistry: suitable
western blot: suitable

UniProt accession no.

shipped in

wet ice

target post-translational modification

unmodified

Gene Information

human ... RSPO1(284654)

General description

R-spondin-1 (RSPO1), or Roof plate-specific spondin-1 protein, is potent activator of the Wnt/beta-catenin signaling pathway leading to TCF/LEF (T cell-specific transcription factor/lymphoid enhancer factor) gene activation. RSPO1 operates on both the canonical Wnt/beta-catenin and non-canonical Wnt signaling pathways by acting as an inhibitor of ZNRF3 (zinc and ring finger 3) protein, a cell surface transmembrane E3 ubiquitin ligase, which is an important regulator of Wnt signaling. RSPO1 interacts with the extracellular domain of ZNRF3 and induces ZNRF3 membrane clearance. RSPO1 is also part of a family of secreted proteins that play critical roles in vertebrate development, including female sex development, and RSPO1 is required for early development of the gonads regardless of sex. Molecularly, RSPO1’s activities synergize with those of WNT4 and act to stabilize beta catenin which then activates its downstream targets. RSPO1 has been shown to be a potent mitogen for specific cell types such as gastrointestinal epithelium, and it is being examined as a key target for colon cancer therapy and for the treatment of mucositis (inflammation of the oral cavity, which is common among patients receiving chemotherapy or radiation for head and neck cancers). Recently RSPO1 was also shown to be a novel beta-cell line growth factor and a factor that promotes insulin secretion in a glucose independent fashion, thus making it a target for enhancing beta-cell function in patients with type 2 diabetes. Defects in RSPO1 can lead to female to male sex reversal and have been associated with the genetic disease PKKSCC (palmoplantar keratoderma with squamous cell carcinoma of skin and sex reversal). EMD Millipore’s Anti-RSPO1 rabbit polyclonal antibody has been tested in western blotting, immunohistochemistry, and immunofluorescence in human and rat samples.
~37 kDa observed. Uncharacterized bands may appear in some lysate(s). Uniprot describes 3 isoforms at ~22 kDa, ~26 kDa, and ~29 kDa

Immunogen

KLH-conjugated linear peptide corresponding to human RSPO1.

Application

Detect R-spondin-1 using this rabbit polyclonal antibody, Anti-RSPO1 Antibody validated for use in western blotting, IHC & Immunofluorescence.
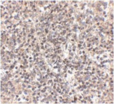
Immunohistochemistry Analysis: 2.5 µg/mL from a representative lot detected RSPO1 in human spleen tissue.

Immunofluorescence Analysis: 20 μg/mL from a representative lot detected RSPO1 in human spleen cells.
Research Category
Signaling
Research Sub Category
Developmental Signaling

Physical form

Antigen Affinity Purified
Purified rabbit polyclonal in buffer containing PBS with up to 0.1% sodium azide.

Preparation Note

Stable for 1 year at 2-8°C from date of receipt.

Analysis Note

Control
Rat spleen tissue lysate
Evaluated by Western Blotting in rat spleen tissue lysate.

Western Blotting Analysis: 2 µg/mL of this antibody detected RSPO1 in 15 µg of rat spleen tissue lysate.

Other Notes

Concentration: Please refer to the Certificate of Analysis for the lot-specific concentration.

Disclaimer

Unless otherwise stated in our catalog or other company documentation accompanying the product(s), our products are intended for research use only and are not to be used for any other purpose, which includes but is not limited to, unauthorized commercial uses, in vitro diagnostic uses, ex vivo or in vivo therapeutic uses or any type of consumption or application to humans or animals.

Not finding the right product?  

Try our Product Selector Tool.

Storage Class Code

10 - Combustible liquids

WGK

WGK 2

Flash Point(F)

Not applicable

Flash Point(C)

Not applicable


Certificates of Analysis (COA)

Search for Certificates of Analysis (COA) by entering the products Lot/Batch Number. Lot and Batch Numbers can be found on a product’s label following the words ‘Lot’ or ‘Batch’.

Already Own This Product?

Find documentation for the products that you have recently purchased in the Document Library.

Visit the Document Library

Global Trade Item Number

SKUGTIN
ABS43704053252905582

Our team of scientists has experience in all areas of research including Life Science, Material Science, Chemical Synthesis, Chromatography, Analytical and many others.

Contact Technical Service