Saltar al contenido
Merck

AB1987

Anti-Neurofilament M (145 kDa) Antibody, CT

serum, Chemicon®

Sinónimos:

Anti-NEF3

Iniciar sesión para ver los precios por organización y contrato.

Seleccione un Tamaño


Acerca de este artículo

UNSPSC Code:
12352203
NACRES:
NA.41
eCl@ss:
32160702
Conjugate:
unconjugated
Clone:
polyclonal
Application:
ICC, IHC (p), WB
Citations:
123
Servicio técnico
¿Necesita ayuda? Nuestro equipo de científicos experimentados está aquí para ayudarle.
Permítanos ayudarle
Servicio técnico
¿Necesita ayuda? Nuestro equipo de científicos experimentados está aquí para ayudarle.
Permítanos ayudarle

biological source

rabbit

conjugate

unconjugated

antibody form

serum

antibody product type

primary antibodies

clone

polyclonal

species reactivity

reptile, chicken, rat, quail, pig, human, mouse, bovine, rabbit

manufacturer/tradename

Chemicon®

technique(s)

immunocytochemistry: suitable, immunohistochemistry (formalin-fixed, paraffin-embedded sections): suitable, western blot: suitable

NCBI accession no.

UniProt accession no.

shipped in

dry ice

target post-translational modification

unmodified

Quality Level

Gene Information

bovine ... Nefm(281347)
chicken ... Nefm(396206)
human ... NEFM(4741)
mouse ... Nefm(18040)
rabbit ... Nefm(100009343)
rat ... Nefm(24588)

General description

145 kDa
Neurofilaments are a type of intermediate filament that serve as major elements of the cytoskeleton supporting the axon cytoplasm. They are the most abundant fibrillar components of the axon, being on average 3-10 times more frequent than axonal microtubules. Neurofilaments (10nm in dia.) are built from three intertwined protofibrils which are themselves composed of two tetrameric protofilament complexs of monomeric proteins. The neurofilament triplet proteins (68/70, 160, and 200 kDa) occur in both the central and peripheral nervous system and are usually neuron specific. The 68/70 kDa NF-L protein can self-assemble into a filamentous structure, however the 160 kDa NF-M and 200 kDa NF-H proteins require the presence of the 68/70 kDa NF-L protein to co-assemble. Neuromas, ganglioneuromas, gangliogliomas, ganglioneuroblastomas and neuroblastomas stain positively for neurofilaments. Although typically restricted to neurons, neurofilaments have been detected in paragangliomas and adrenal and extra-adrenal pheochromocytomas. Carcinoids, neuroendocrine carcinomas of the skin, and oat cell carcinomas of the lung also express neurofilaments.

Immunogen

Epitope: C-terminus
Recombinant fusion protein containing the C-terminal 168 amino acids of rat NF-M

Application

Anti-Neurofilament M (145 kDa) Antibody, C-terminus detects level of Neurofilament M (145 kDa) & has been published & validated for use in IC, IH, IH(P) & WB.
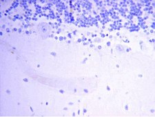
Immunohistochemistry:
A 1:200 dilution of a previous lot was used in Immunohistochemistry.
Staining is not affected by neurofilament phosphorylation. Optimal Staining With TE Buffer, pH 9.0, Epitope Retrieval: Human Cerebellum

Immunohistochemistry(paraffin):

Optimal working dilutions must be determined by end user.
Research Category
Neuroscience
Research Sub Category
Neurofilament & Neuron Metabolism

Neuronal & Glial Markers

Biochem/physiol Actions

Strong and specific staining for NF-M (145 kDa)

Physical form

Neat rabbit antiserum containing no preservative.
Unpurified

Preparation Note

Stable for 1 year at -20ºC in undiluted aliquots from date of receipt.

Handling Recommendations:
Upon receipt, and prior to removing the cap, centrifuge the vial and gently mix the solution. Aliquot into microcentrifuge tubes and store at -20°C. Avoid repeated freeze/thaw cycles, which may damage IgG and affect product performance.

Analysis Note

Control
Rat enteric neurons, rat spinal cord tissue Brain, Peripheral Nerve
Routinely evaluated by Western Blot on mouse brain lysates.

Western Blot: 1:1000 dilution of this lot detected Neurofilament M on 10 μg of mouse brain lysates..

Other Notes

Concentration: Please refer to the Certificate of Analysis for the lot-specific concentration.

Legal Information

CHEMICON is a registered trademark of Merck KGaA, Darmstadt, Germany

Disclaimer

Unless otherwise stated in our catalog or other company documentation accompanying the product(s), our products are intended for research use only and are not to be used for any other purpose, which includes but is not limited to, unauthorized commercial uses, in vitro diagnostic uses, ex vivo or in vivo therapeutic uses or any type of consumption or application to humans or animals.

¿No encuentra el producto adecuado?  

Pruebe nuestro Herramienta de selección de productos.

Clase de almacenamiento

10 - Combustible liquids

wgk

WGK 1

flash_point_f

Not applicable

flash_point_c

Not applicable


Certificados de análisis (COA)

Busque Certificados de análisis (COA) introduciendo el número de lote del producto. Los números de lote se encuentran en la etiqueta del producto después de las palabras «Lot» o «Batch»

¿Ya tiene este producto?

Encuentre la documentación para los productos que ha comprado recientemente en la Biblioteca de documentos.

Visite la Librería de documentos

Axons are injured by antigen-specific CD8(+) T cells through a MHC class I- and granzyme B-dependent mechanism.
Sauer, BM; Schmalstieg, WF; Howe, CL
Neurobiology of Disease null
Myosin Va increases the efficiency of neurofilament transport by decreasing the duration of long-term pauses.
Alami, NH; Jung, P; Brown, A
The Journal of Neuroscience null
L J Ellett et al.
Scientific reports, 6, 30269-30269 (2016-07-30)
Patients with Parkinson's disease often experience non-motor symptoms including constipation, which manifest prior to the onset of debilitating motor signs. Understanding the causes of these non-motor deficits and developing disease modifying therapeutic strategies has the potential to prevent disease progression.
Zhenzhong Ma et al.
The Journal of neuroscience : the official journal of the Society for Neuroscience, 31(26), 9630-9640 (2011-07-01)
During peripheral nervous system development, successful communication between axons and Schwann cells is required for proper function of both myelinated and nonmyelinated nerve fibers. Alternatively spliced proteins belonging to the neuregulin1 (NRG1) gene family of growth and differentiation factors are
Lynda Erskine et al.
Development (Cambridge, England), 144(13), 2504-2516 (2017-07-06)
Visual information is relayed from the eye to the brain via retinal ganglion cell (RGC) axons. Mice lacking NRP1 or NRP1-binding VEGF-A isoforms have defective RGC axon organisation alongside brain vascular defects. It is not known whether axonal defects are

Número de artículo de comercio global

SKUGTIN
AB198704053252587696

Nuestro equipo de científicos tiene experiencia en todas las áreas de investigación: Ciencias de la vida, Ciencia de los materiales, Síntesis química, Cromatografía, Analítica y muchas otras.

Póngase en contacto con el Servicio técnico