Skip to Content
Merck

04-001

Anti-JAK2 Antibody, clone 8E10.2

clone 8E10.2, Upstate®, from mouse

Synonym(s):

Janus kinase 2, Tyrosine kinase

Sign In to View Organizational & Contract Pricing.

Select a Size


About This Item

UNSPSC Code:
12352203
NACRES:
NA.43
eCl@ss:
32160702
Technical Service
Need help? Our team of experienced scientists is here for you.
Let Us Assist
Technical Service
Need help? Our team of experienced scientists is here for you.
Let Us Assist

Product Name

Anti-JAK2 Antibody, clone 8E10.2, clone 8E10.2, Upstate®, from mouse

biological source

mouse

conjugate

unconjugated

antibody form

purified antibody

antibody product type

primary antibodies

clone

8E10.2, monoclonal

species reactivity

mouse, human, rat

packaging

antibody small pack of 25 μg

manufacturer/tradename

Upstate®

technique(s)

immunohistochemistry: suitable (paraffin)
western blot: suitable

isotype

IgG1κ

NCBI accession no.

UniProt accession no.

shipped in

ambient

target post-translational modification

unmodified

Quality Level

Gene Information

human ... JAK2(3717)
mouse ... Jak2(16452)
rat ... Jak2(24514)

Other Notes

Concentration: Please refer to the Certificate of Analysis for the lot-specific concentration.

Physical form

Format: Purified
Protein G Purified
Purified mouse monoclonal IgG1κ in buffer containing 0.1 M Tris-Glycine (pH7.4), 150 mM NaCl with 0.05% sodium azide

Preparation Note

Stable for 1 year at 2-8°C from date of receipt.

Legal Information

UPSTATE is a registered trademark of Merck KGaA, Darmstadt, Germany

Analysis Note

Control
L6 cell lysate
Routinely evaluated by western blot on L6 cell lysate.

Application

Western Blot Analysis: 0.5-1 μg/mL of this lot was used to detect Jak2 in L6 cell lysates.

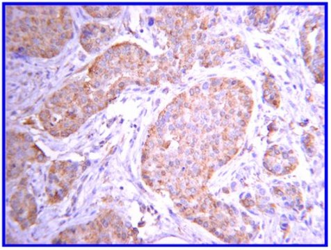
Immunohistochemistry(Paraffin):
A previous lot of this antibody was used in immunohistochemistry(paraffin) staining with eptiope retrieval: Human Cancer Array.
Anti-JAK2 Antibody, clone 8E10.2 detects level of JAK2 & has been published & validated for use in WB, IH(P).
Research Category
Inflammation & Immunology
Research Sub Category
Immunological Signaling

Biochem/physiol Actions

This antibody recognizes Jak2.

Disclaimer

Unless otherwise stated in our catalog or other company documentation accompanying the product(s), our products are intended for research use only and are not to be used for any other purpose, which includes but is not limited to, unauthorized commercial uses, in vitro diagnostic uses, ex vivo or in vivo therapeutic uses or any type of consumption or application to humans or animals.

General description

130 kDa
JAK2 (Janus Kinase 2) belongs to the emerging family of non-receptor Janus tyrosine kinases, which regulate a spectrum of cellular functions downstream of activated cytokine receptors in the lympho-hematopoietic system. Immunological stimuli, such as interferons and cytokines, induce recruitment of Stat transcription factors to cytokine receptor-associated JAK2. JAK2 then phosphorylates proximal Stat factors, which subsequently dimerizes and translocates to the nucleus and bind to CIS elements upstream of target gene promoters to regulate transcription. The canonical JAK/Stat pathway is integral to maintaining a normal immune system by stimulating proliferation, differentiation, survival and host resistance to pathogens. Altering JAK/Stat signaling to reduce cytokine induced pro-inflammatory responses represents an attractive target for anti-inflammatory therapies.

Immunogen

KLH-conjugated linear peptide.

Not finding the right product?  

Try our Product Selector Tool.


Certificates of Analysis (COA)

Search for Certificates of Analysis (COA) by entering the products Lot/Batch Number. Lot and Batch Numbers can be found on a product’s label following the words ‘Lot’ or ‘Batch’.

Already Own This Product?

Find documentation for the products that you have recently purchased in the Document Library.

Visit the Document Library

Pasquale Esposito et al.
Brain, behavior, & immunity - health, 26, 100543-100543 (2022-11-09)
Exposure to stressors during puberty can cause enduring effects on brain functioning and behaviours related to neurodegeneration. However, the mechanisms underlying these effects remain unclear. The gut microbiome is a complex and dynamic system that could serve as a possible
Virally infected and matured human dendritic cells activate natural killer cells via cooperative activity of plasma membrane-bound TNF and IL-15.
Vujanovic L, Szymkowski DE, Alber S, Watkins SC, Vujanovic NL, Butterfield LH
Blood null
Y Senis et al.
Molecular and cellular biology, 19(11), 7436-7446 (1999-10-19)
The fps/fes proto-oncogene encodes a cytoplasmic protein-tyrosine kinase that is functionally implicated in the survival and terminal differentiation of myeloid progenitors and in signaling from several members of the cytokine receptor superfamily. To gain further insight into the physiological function
Jochen B Geigl et al.
Nature protocols, 2(12), 3173-3184 (2007-12-15)
A comprehensive genomic analysis of single cells is instrumental for numerous applications in tumor genetics, clinical diagnostics and forensic analyses. Here, we provide a protocol for single-cell isolation and whole genome amplification, which includes the following stages: preparation of single-cell
E Korzus et al.
The Journal of biological chemistry, 272(2), 1188-1196 (1997-01-10)
Both astrocytes in the central nervous system and fibroblasts in somatic tissues are not only the major sources of extracellular matrix components but also of matrix metalloproteinases (MMPs), a family of enzymes directly involved in extracellular matrix breakdown. We have

Related Content

The Janus kinase (JAK)/signal transducers and activators of transcription (STAT) signaling pathway plays an important role in cell proliferation, cell differentiation, cell migration, and cell death. It is the principal signaling mechanism for a variety of cytokines and growth factors. Constitutive activation or dysregulation of JAK/STAT signaling can result in inflammatory disease, erythrocytosis, gigantism, and leukemia.

Global Trade Item Number

SKUGTIN
04-00104053252509520
04-001-25UG04054839350085

Our team of scientists has experience in all areas of research including Life Science, Material Science, Chemical Synthesis, Chromatography, Analytical and many others.

Contact Technical Service