Skip to Content
Merck

04-037

Anti-RalB Antibody, clone 25

clone 25, Upstate®, from mouse

Synonym(s):

RAS-like protein B, v-ral simian leukemia viral oncogene homolog B, GTP binding protein, v-ral simian leukemia viral oncogene homolog B

Sign In to View Organizational & Contract Pricing.

Select a Size


About This Item

UNSPSC Code:
12352203
NACRES:
NA.41
eCl@ss:
32160702
Conjugate:
unconjugated
Clone:
25, monoclonal
Application:
WB
Citations:
17
Technical Service
Need help? Our team of experienced scientists is here for you.
Let Us Assist
Technical Service
Need help? Our team of experienced scientists is here for you.
Let Us Assist

biological source

mouse

conjugate

unconjugated

antibody form

purified antibody

antibody product type

primary antibodies

clone

25, monoclonal

species reactivity

mouse, rat, human

manufacturer/tradename

Upstate®

technique(s)

western blot: suitable

isotype

IgG1κ

NCBI accession no.

UniProt accession no.

shipped in

wet ice

target post-translational modification

unmodified

Quality Level

Gene Information

human ... RALB(5899)

General description

24 kDa
RalA and RalB are Ras-family small monomeric GTPases that can be activated through a Ras-dependent mechanism. The two are highly homologous (89%). RalA is required for anchorage-independent proliferation and tumorigeneisis by driving exocyst assembly and polarizatied exocystossis in epithelaial cells (Cascone, 2008). RalB is required for metastatic formation and cell survival by driving exocyst assembly during polarized cell migration (Cascone, 2008). Ral proteins are proximal effectors of oncogenic Ras and their activity is needed to support tumorigenesis in certain cancers. Mutants of Ras that are defective in activating all known Ras effectors except Ral GEF are still able to induce invasive phenotypes in transfected cells, suggesting a role for Ral in these processes

Immunogen

Epitope: C-terminus
Synthetic peptide of the C-terminus of RalB

Application

Detect RalB using this Anti-RalB Antibody, clone 25 validated for use in WB.
Research Category
Signaling
Research Sub Category
Cytoskeletal Signaling

G-proteins

Biochem/physiol Actions

Other species have not been tested.
This antibody is specific for RalB and does not detect RalA.

Physical form

Format: Purified
Protein G Purified
Purified mouse monoclonal antibody in buffer containing 0.1 M Tris-Glycine (pH 7.4), 150 mM NaCl with 0.05% sodium azide.

Preparation Note

Stable for 1 year at 2-8ºC from date of receipt.

Analysis Note

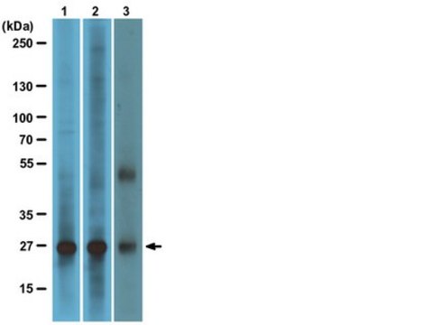
Evaluated by western blot on HEK293 or NIH/3T3 cell lysates.
Western Blot Analysis:
1:1,000 dilution of this antibody was used to detect RalB in HEK293, NIH/3T3, and rat liver cell lysate.

Other Notes

Concentration: Please refer to the Certificate of Analysis for the lot-specific concentration.

Legal Information

UPSTATE is a registered trademark of Merck KGaA, Darmstadt, Germany

Disclaimer

Unless otherwise stated in our catalog or other company documentation accompanying the product(s), our products are intended for research use only and are not to be used for any other purpose, which includes but is not limited to, unauthorized commercial uses, in vitro diagnostic uses, ex vivo or in vivo therapeutic uses or any type of consumption or application to humans or animals.

Not finding the right product?  

Try our Product Selector Tool.

Storage Class

12 - Non Combustible Liquids

flash_point_f

Not applicable

flash_point_c

Not applicable


Certificates of Analysis (COA)

Search for Certificates of Analysis (COA) by entering the products Lot/Batch Number. Lot and Batch Numbers can be found on a product’s label following the words ‘Lot’ or ‘Batch’.

Already Own This Product?

Find documentation for the products that you have recently purchased in the Document Library.

Visit the Document Library

Genetic Deletion of RALA and RALB Small GTPases Reveals Redundant Functions in Development and Tumorigenesis.
Pascal Peschard,Afshan McCarthy,Val Leblanc-Dominguez,Maggie Yeo,Sabrina Guichard et al.
Current Biology null
Masayuki Uegaki et al.
Carcinogenesis, 40(12), 1535-1544 (2019-05-07)
RalGTPase-activating protein (RalGAP) is an important negative regulator of small GTPases RalA/B that mediates various oncogenic signaling pathways in various cancers. Although the Ral pathway has been implicated in prostate cancer (PCa) development and progression, the significance of RalGAP in
Richard R Clough et al.
The Journal of biological chemistry, 277(32), 28972-28980 (2002-05-30)
Ral GTPases may be involved in calcium/calmodulin-mediated intracellular signaling pathways. RalA and RalB are activated by calcium, and RalA binds calmodulin in vitro. It was examined whether RalA can bind calmodulin in vivo, whether RalB can bind calmodulin, and whether
Carine Rossé et al.
Molecular and cellular biology, 26(2), 727-734 (2005-12-31)
The Ras family GTPases RalA and RalB have been defined as central components of the regulatory machinery supporting tumor initiation and progression. Although it is known that Ral proteins mediate oncogenic Ras signaling and physically and functionally interact with vesicle
Sarah R Pollock et al.
PloS one, 14(4), e0214764-e0214764 (2019-04-18)
Healthy mitochondria use an electrochemical gradient across the inner mitochondrial membrane (IMM) to generate energy in the form of ATP. A variety of endogenous and exogenous factors can lead to transient or sustained depolarization of the IMM, including mitochondrial fission

Global Trade Item Number

SKUGTIN
04-03704053252743979

Our team of scientists has experience in all areas of research including Life Science, Material Science, Chemical Synthesis, Chromatography, Analytical and many others.

Contact Technical Service