Skip to Content
Merck

05-1109

Anti-Pro-Insulin C-Peptide Antibody, clone C-PEP-01

clone C-PEP-01, from mouse

Synonym(s):

CD220 antigen, insulin receptor

Sign In to View Organizational & Contract Pricing.

Select a Size


About This Item

UNSPSC Code:
12352203
NACRES:
NA.41
eCl@ss:
32160702
Technical Service
Need help? Our team of experienced scientists is here for you.
Let Us Assist
Technical Service
Need help? Our team of experienced scientists is here for you.
Let Us Assist

Product Name

Anti-Pro-Insulin C-Peptide Antibody, clone C-PEP-01, clone C-PEP-01, from mouse

biological source

mouse

conjugate

unconjugated

antibody form

purified immunoglobulin

antibody product type

primary antibodies

clone

C-PEP-01, monoclonal

species reactivity

human

technique(s)

immunohistochemistry: suitable (paraffin)

isotype

IgG1

UniProt accession no.

shipped in

wet ice

target post-translational modification

unmodified

Quality Level

Gene Information

human ... INS(3630)

Biochem/physiol Actions

No cross-reactivity with Insulin or other peptide hormones or proteins was observed.
The antibody C-PEP-01 reacts specifically with C-peptide, a part of the Pro-insulin molecule.

Analysis Note

Control
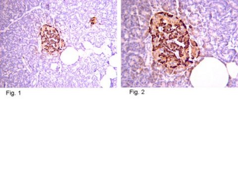
Human normal pancreas tissue
Evaluated by Immunohistochemistry in normal human pancreas.
Immunohistochemistry Analysis: A 1:100 dilution of this antibody detected insulin in human normal pancreas tissue.

Application

Research Category
Signaling
Research Sub Category
Insulin/Energy Signaling
This Anti-Pro-Insulin C-Peptide Antibody, clone C-PEP-01 is validated for use in IH(P) for the detection of Pro-Insulin C-Peptide.

Disclaimer

Unless otherwise stated in our catalog or other company documentation accompanying the product(s), our products are intended for research use only and are not to be used for any other purpose, which includes but is not limited to, unauthorized commercial uses, in vitro diagnostic uses, ex vivo or in vivo therapeutic uses or any type of consumption or application to humans or animals.

General description

Approx. 12 kDa
Pro-Insulin consists of the three parts: C-peptide and two long strands of amino acids (alpha and beta chains; later become linked together to form the Insulin molecule). From every molecule of Pro-Insulin, one molecule of Insulin plus one molecule of C-peptide are produced. C-peptide is released into the blood stream in equal amounts to Insulin.

Immunogen

Synthetic C-peptide of human pro-insulin conjugated to bovine serum albumin.

Other Notes

Concentration: Please refer to the Certificate of Analysis for the lot-specific concentration.
Replaces: CBL94

Physical form

Format: Purified
Mouse monoclonal IgG1 in phosphate buffered saline, pH7.4, and 15 mM sodium azide.
Sequential precipitation with caprylic acid and ammonium sulfate.

Preparation Note

Store at 2-8°C and use within 1 year from date of receipt.

Not finding the right product?  

Try our Product Selector Tool.

Storage Class

12 - Non Combustible Liquids

wgk

WGK 2

flash_point_f

Not applicable

flash_point_c

Not applicable


Certificates of Analysis (COA)

Search for Certificates of Analysis (COA) by entering the products Lot/Batch Number. Lot and Batch Numbers can be found on a product’s label following the words ‘Lot’ or ‘Batch’.

Already Own This Product?

Find documentation for the products that you have recently purchased in the Document Library.

Visit the Document Library

Mahmoud M Gabr et al.
Scientific reports, 14(1), 17844-17844 (2024-08-02)
This study was to determine whether extracellular vesicles (EVs) derived from insulin-producing cells (IPCs) can modulate naïve mesenchymal stromal cells (MSCs) to become insulin-secreting. MSCs were isolated from human adipose tissue. The cells were then differentiated to generate IPCs by
Sapna Puri et al.
Nature communications, 9(1), 485-485 (2018-02-06)
Pancreatic β cells are highly specialized to regulate systemic glucose levels by secreting insulin. In adults, increase in β-cell mass is limited due to brakes on cell replication. In contrast, proliferation is robust in neonatal β cells that are functionally
Mohammad Massumi et al.
PloS one, 11(10), e0164457-e0164457 (2016-10-19)
The ability to yield glucose-responsive pancreatic beta-cells from human pluripotent stem cells in vitro will facilitate the development of the cell replacement therapies for the treatment of Type 1 Diabetes. Here, through the sequential in vitro targeting of selected signaling
Human oocytes reprogram adult somatic nuclei of a type 1 diabetic to diploid pluripotent stem cells.
Yamada, Mitsutoshi, et al.
Nature (2014)
Haiqing Hua et al.
The Journal of clinical investigation, 123(7), 3146-3153 (2013-06-20)
Diabetes is a disorder characterized by loss of β cell mass and/or β cell function, leading to deficiency of insulin relative to metabolic need. To determine whether stem cell-derived β cells recapitulate molecular-physiological phenotypes of a diabetic subject, we generated

Related Content

Signaling Product Guide: Antibodies, small molecule inhibitors, kits, assays and proteins for signaling research.

Global Trade Item Number

SKUGTIN
05-110904053252676529

Our team of scientists has experience in all areas of research including Life Science, Material Science, Chemical Synthesis, Chromatography, Analytical and many others.

Contact Technical Service