Skip to Content
Merck

05-1133

Anti-erbB4 Antibody, clone HFR1/2G4

clone HFR1/2G4, from mouse

Synonym(s):

Anti-ALS19, Anti-p180erbB4

Sign In to View Organizational & Contract Pricing.

Select a Size


About This Item

UNSPSC Code:
12352203
NACRES:
NA.41
eCl@ss:
32160702
Conjugate:
unconjugated
Clone:
HFR1/2G4, monoclonal
Application:
IHC, IP, WB
Citations:
2
Technical Service
Need help? Our team of experienced scientists is here for you.
Let Us Assist
Technical Service
Need help? Our team of experienced scientists is here for you.
Let Us Assist

biological source

mouse

conjugate

unconjugated

antibody form

purified immunoglobulin

antibody product type

primary antibodies

clone

HFR1/2G4, monoclonal

species reactivity

rat, human

species reactivity (predicted by homology)

mouse

technique(s)

immunohistochemistry: suitable (paraffin), immunoprecipitation (IP): suitable, western blot: suitable

isotype

IgG1, kappa

NCBI accession no.

UniProt accession no.

shipped in

wet ice

target post-translational modification

unmodified

Quality Level

Gene Information

human ... ERBB4(2066)

General description

v-ErbB was identified as the viral counterpart of the EGF Receptor, and its relatives have adopted this nomenclature (or the HER nomenclature for human proteins). These proteins are activated by Heregulin, Neuregulin and Amphiregulin. ErbB-2/HER-2, also known as neu, is amplified in large numbers of highly aggressive breast cancers, but all the family members are capable of heterodimerization, and together activate downstream signaling pathways. ErbB-3 has a natural "substitution" at the codon which is an invariant Lys residue at the ATP-binding site of all protein kinases. It is therefore inactive as a kinase, and can only become phosphorylated by heterodimerization with another erbB-family member. All members of this family, when Tyr-phosphorylated, can nucleate the formation of signaling complexes through adapter proteins.
~147 kDa

Immunogen

Epitope: Cytoplasmic domain of the protein, residues 1250-1264.
Synthetic peptide sequence RSTLQHPDYLQEYST from the cytoplasmic domain of the protein, residues 1250-1264.

Application

Detect erbB4 using this Anti-erbB4 Antibody, clone HFR1/2G4 validated for use in WB, IP, IH(P).
Immunoprecipitation: A previous lot of this antibody was used in IP.

Immunohistochemistry: Effective for formalin-fixed, paraffin-embedded sections.
Optimal working dilutions must be determined by end user.

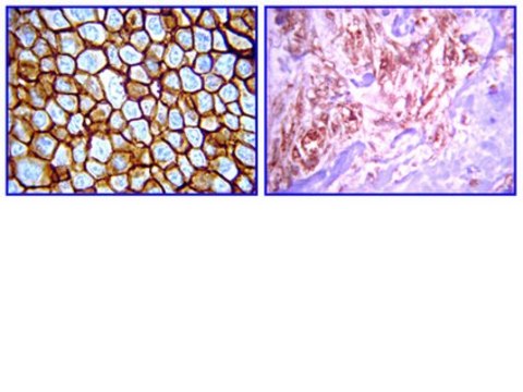
Immunohistochemistry(paraffin): Representative testing from a previous lot.
Optimal Staining of erbB-4/HER-4 Monoclonal Antibody: DCIS and Pancreatic Cancer
Research Category
Signaling

Apoptosis & Cancer
Research Sub Category
Growth Factors & Receptors

Biochem/physiol Actions

Reactive with human c-erB-4/Her 4 cytoplasmic domain of the protein (residues 1250-1264), a member of the EGF receptor (type 1) family involved in cell growth regulation. Expression or function may be altered in human cancers.

Physical form

Format: Purified
Purified
Purified mouse monoclonal IgM in 0.02 M PB with 0.25 M NaCl, pH 7.6, 0.01% Sodium Azide.

Preparation Note

Stable refrigerated at 2-8°C in undiluted aliquots for up to 1 year from date of receipt.

Analysis Note

Control
A431 cell lysate
Routinely evaluated by Western Blot on A431 lysates.

Western Blot Analysis: 1:500 dilution of this lot detected C-ERB-4 on 10 μg of A431 lysates.

Other Notes

Concentration: Please refer to the Certificate of Analysis for the lot-specific concentration.
Replaces: 04-348

Disclaimer

Unless otherwise stated in our catalog or other company documentation accompanying the product(s), our products are intended for research use only and are not to be used for any other purpose, which includes but is not limited to, unauthorized commercial uses, in vitro diagnostic uses, ex vivo or in vivo therapeutic uses or any type of consumption or application to humans or animals.

Not finding the right product?  

Try our Product Selector Tool.

wgk

WGK 2

flash_point_f

Not applicable

flash_point_c

Not applicable

Storage Class

12 - Non Combustible Liquids


Certificates of Analysis (COA)

Search for Certificates of Analysis (COA) by entering the products Lot/Batch Number. Lot and Batch Numbers can be found on a product’s label following the words ‘Lot’ or ‘Batch’.

Already Own This Product?

Find documentation for the products that you have recently purchased in the Document Library.

Visit the Document Library

Jody Fromm Longo et al.
Cell communication and signaling : CCS, 17(1), 74-74 (2019-07-12)
We have found that erbB receptor tyrosine kinases drive Ras hyperactivation and growth in NF1-null malignant peripheral nerve sheath tumors (MPNSTs). However, MPNSTs variably express multiple erbB receptors with distinct functional characteristics and it is not clear which of these
Jody Fromm Longo et al.
Journal of visualized experiments : JoVE, (174) (2021-09-14)
The development of new drugs that precisely target key proteins in human cancers is fundamentally altering cancer therapeutics. However, before these drugs can be used, their target proteins must be validated as therapeutic targets in specific cancer types. This validation

Global Trade Item Number

SKUGTIN
05-113304053252280986

Our team of scientists has experience in all areas of research including Life Science, Material Science, Chemical Synthesis, Chromatography, Analytical and many others.

Contact Technical Service