Skip to Content
Merck

05-1135

Anti-PDGFR Antibody, clone CH-3

clone CH-3, from mouse

Synonym(s):

Platelet Derived Growth Factor Receptor Beta, PDGF-R-beta, PDGFR-beta, Beta platelet-derived growth factor receptor, Beta-type platelet-derived growth factor receptor, CD140 antigen-like family member B, Platelet-derived growth factor receptor 1, PDGFR-1

Sign In to View Organizational & Contract Pricing.

Select a Size


About This Item

UNSPSC Code:
12352203
NACRES:
NA.41
eCl@ss:
32160702
Conjugate:
unconjugated
Clone:
CH-3, monoclonal
Application:
ELISA, IHC, WB
Species reactivity:
human, mouse
Citations:
2
Technique(s):
ELISA: suitable, immunohistochemistry: suitable (paraffin), western blot: suitable
Uniprot accession no.:
Technical Service
Need help? Our team of experienced scientists is here for you.
Let Us Assist
Technical Service
Need help? Our team of experienced scientists is here for you.
Let Us Assist

biological source

mouse

conjugate

unconjugated

antibody form

purified immunoglobulin

antibody product type

primary antibodies

clone

CH-3, monoclonal

species reactivity

human, mouse

species reactivity (predicted by homology)

rat

packaging

antibody small pack of 25 μg

technique(s)

ELISA: suitable, immunohistochemistry: suitable (paraffin), western blot: suitable

isotype

IgG1

UniProt accession no.

shipped in

ambient

target post-translational modification

unmodified

Quality Level

Gene Information

human ... PDGFRB(5159)

Analysis Note

Control
Jurkat cell lysate
Routinely evaluated by Western Blot on Jurkat lysates.

Western Blot Analysis: 1:500 dilution of this lot detected PDGFR on 10 μg of Jurkat lysates.

Application

ELISA: A previous lot of this antibody was used in ELISA.

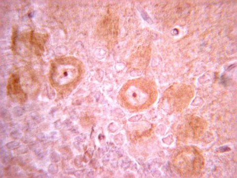
Immunohistochemistry(paraffin): Representative images from a previous lot.
Optimal Staining of PDGF-A With Citrate pH 6.0 Epitope Retrieval: Rat Brain
Research Category
Signaling

Apoptosis & Cancer
Research Sub Category
Growth Factors & Receptors
This Anti-PDGFR Antibody, clone CH-3 is validated for use in WB, ELISA, IH(P) for the detection of PDGFR.

Disclaimer

Unless otherwise stated in our catalog or other company documentation accompanying the product(s), our products are intended for research use only and are not to be used for any other purpose, which includes but is not limited to, unauthorized commercial uses, in vitro diagnostic uses, ex vivo or in vivo therapeutic uses or any type of consumption or application to humans or animals.

General description

211 amino acids; 24043 Da
PDGFR (Platelet-Derived Growth Factor Receptor) is a receptor tyrosine kinase for the PDGF family of growth factors. PDGF homo and hetero- dimmers (dimer of A (17 kDa) and B (14 kDa) chains (AA, AB, or BB)) bind to the two structurally related a and b PDGF Receptors (PDGFRa and PDGFRb). The type A PDGF Receptor binds all three PDGFs with high affinity, whereas the type B PDGF Receptor is selective for PDGF-BB. This binding results in the dimerization of the receptor and the subsequent kinase activation of the receptor tyrosine kinase (RTK) and its autophosphorylation. These phosphorylations allow for various proteins, such as PI3 Kinase, PLCg, and Grb2, to bind through their SH2 domains and transduce signals into the cell. The activation of PDGFFR triggers the intracellular loop and activates Ras, Erk1/2, and ROS. PDGFb has been implicated in embryonic development, angiogenesis, and development of tumors of glial origin.

Immunogen

Recombinant Platelet-Derived Growth Factor Receptor

Other Notes

Concentration: Please refer to the Certificate of Analysis for the lot-specific concentration.
Replaces: 04-397

Physical form

Format: Purified
Protein A purified
Purified mouse monoclonal IgG1 in buffer containing 20 mM sodium phosphate, 250 mM NaCl, 0.1% NaN3, pH. 7.6

Preparation Note

Maintain at + 2-8 ° C in undiluted aliquots for up to 1 year from date of receipt.

Not finding the right product?  

Try our Product Selector Tool.

Storage Class

10 - Combustible liquids

wgk

WGK 2

flash_point_f

Not applicable

flash_point_c

Not applicable


Certificates of Analysis (COA)

Search for Certificates of Analysis (COA) by entering the products Lot/Batch Number. Lot and Batch Numbers can be found on a product’s label following the words ‘Lot’ or ‘Batch’.

Already Own This Product?

Find documentation for the products that you have recently purchased in the Document Library.

Visit the Document Library

Bandar Alshehri et al.
Scientific reports, 10(1), 4189-4189 (2020-03-08)
Transthyretin (TTR) is a protein that binds and distributes thyroid hormones (THs) in blood and cerebrospinal fluid. Previously, two reports identified TTR null mice as hypothyroid in the central nervous system (CNS). This prompted our investigations into developmentally regulated TH-dependent
Dan Yu et al.
Journal of the American Heart Association, 4(10), e002255-e002255 (2015-10-10)
Transcription of the myristoylated alanine-rich C kinase substrate (MARCKS) is upregulated in animal models of intimal hyperplasia. MARCKS knockdown inhibits vascular smooth muscle cell (VSMC) migration in vitro; however, the mechanism is as yet unknown. We sought to elucidate the

Global Trade Item Number

SKUGTIN
05-113504053252732973
05-1135-25UG04054839350160

Our team of scientists has experience in all areas of research including Life Science, Material Science, Chemical Synthesis, Chromatography, Analytical and many others.

Contact Technical Service