Skip to Content
Merck

05-1403

Anti-Giα2 Antibody, clone L5

clone L5, from mouse

Sign In to View Organizational & Contract Pricing.

Select a Size


About This Item

UNSPSC Code:
12352203
NACRES:
NA.41
eCl@ss:
32160702
Conjugate:
unconjugated
Clone:
L5, monoclonal
Application:
IHC, WB
Citations:
3
Technical Service
Need help? Our team of experienced scientists is here for you.
Let Us Assist
Technical Service
Need help? Our team of experienced scientists is here for you.
Let Us Assist

biological source

mouse

conjugate

unconjugated

antibody form

purified immunoglobulin

antibody product type

primary antibodies

clone

L5, monoclonal

species reactivity

guinea pig (43%), rat (69%), bovine (100%), human (62%), mouse (69%)

technique(s)

immunohistochemistry: suitable (paraffin), western blot: suitable

isotype

IgG2b

NCBI accession no.

UniProt accession no.

shipped in

wet ice

target post-translational modification

unmodified

Quality Level

Gene Information

human ... GNAI2(2771)

General description

Labels a single protein band of 39-42 kDa in bovine and rat membranes.

Immunogen

Recombinant Giα-2, purified by the method of Linder (J. Biol. Chem. [1990] 265, 8243).

Application

Optimal working dilutions must be determined by end user.

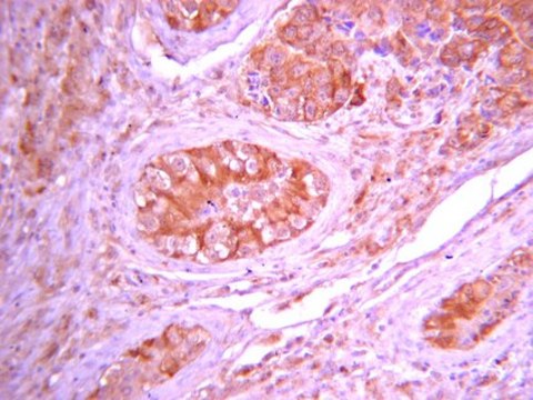
Immunohistochemistry(paraffin): Representative testing from a previous lot.
Optimal Staining of G-Protein Monoclonal Antibody: Testicular Cancer

Western Blot: A previous lot of this antibody was used at 1:500 - 1:1000, with detection by 125l-labeled anti-IgG. Labels a single protein band of 39 - 42 kDa in bovine and rat membranes
Research Category
Signaling
Research Sub Category
GPCR, cAMP/cGMP & Calcium Signaling
This Anti-Giα2 Antibody, clone L5 is validated for use in WB, IH(P) for the detection of Giα2.

Biochem/physiol Actions

Specificity confirmed by Western blot versus bovine Gαt, rat Goα, rat Giα-1, Giα-2, rat Gia-3, bovine Gsα, and murine GoαA and GoαB.
This antibody recognizes Giα-2.

Physical form

Format: Purified
Purified
Purified mouse monoclonal IgG2b, in 0.02 M phosphate buffer, 0.25 M sodium chloride, pH 7.6, with 0.1% sodium azide.

Preparation Note

Maintain at 2-8°C for 1 year from date of receipt.

Analysis Note

Control
Huvec cell lysate
Routinely evaluated by Western Blot on Huvec lysates.

Western Blot Analysis: 1:500 dilution of this lot detected G I ALPHA 2 on 10 μg of Huvec lysates.

Other Notes

Concentration: Please refer to the Certificate of Analysis for the lot-specific concentration.
Replaces: MAB3077

Disclaimer

Unless otherwise stated in our catalog or other company documentation accompanying the product(s), our products are intended for research use only and are not to be used for any other purpose, which includes but is not limited to, unauthorized commercial uses, in vitro diagnostic uses, ex vivo or in vivo therapeutic uses or any type of consumption or application to humans or animals.

Not finding the right product?  

Try our Product Selector Tool.

wgk

WGK 2

flash_point_f

Not applicable

flash_point_c

Not applicable

Storage Class

12 - Non Combustible Liquids


Certificates of Analysis (COA)

Search for Certificates of Analysis (COA) by entering the products Lot/Batch Number. Lot and Batch Numbers can be found on a product’s label following the words ‘Lot’ or ‘Batch’.

Already Own This Product?

Find documentation for the products that you have recently purchased in the Document Library.

Visit the Document Library

Saori Yano et al.
Chemical senses, 40(9), 641-648 (2015-09-18)
Inbreeding avoidance is essential to providing offspring with genetic diversity. Females' mate choice is more crucial than males' for successful reproduction because of the high cost of producing gametes and limited chances to mate. However, the mechanism of female inbreeding
Jennifer M Lin et al.
Developmental biology, 441(1), 67-82 (2018-06-22)
The identity of individual neuronal cell types is defined and maintained by the expression of specific combinations of transcriptional regulators that control cell type-specific genetic programs. The epithelium of the vomeronasal organ of mice contains two major types of vomeronasal
Ankana S Naik et al.
Development (Cambridge, England), 147(8) (2020-04-29)
The vomeronasal organ (VNO) contains two main types of vomeronasal sensory neurons (VSNs) that express distinct vomeronasal receptor (VR) genes and localize to specific regions of the neuroepithelium. Morphogenic signals are crucial in defining neuronal identity and network formation; however

Global Trade Item Number

SKUGTIN
05-140304053252324727

Our team of scientists has experience in all areas of research including Life Science, Material Science, Chemical Synthesis, Chromatography, Analytical and many others.

Contact Technical Service