Skip to Content
Merck

05-880

Anti-Thrombin Antibody, clone GMA-020

clone GMA-020, Upstate®, from mouse

Sign In to View Organizational & Contract Pricing.

Select a Size


About This Item

UNSPSC Code:
12352203
NACRES:
NA.41
eCl@ss:
32160702
Technical Service
Need help? Our team of experienced scientists is here for you.
Let Us Assist
Technical Service
Need help? Our team of experienced scientists is here for you.
Let Us Assist

Product Name

Anti-Thrombin Antibody, clone GMA-020, clone GMA-020, Upstate®, from mouse

biological source

mouse

conjugate

unconjugated

antibody form

purified antibody

antibody product type

primary antibodies

clone

GMA-020, monoclonal

species reactivity

human

manufacturer/tradename

Upstate®

technique(s)

western blot: suitable

isotype

IgG1

NCBI accession no.

UniProt accession no.

shipped in

dry ice

target post-translational modification

unmodified

Quality Level

Gene Information

human ... F2(2147)

Physical form

DEAE purified
Format: Purified

Analysis Note

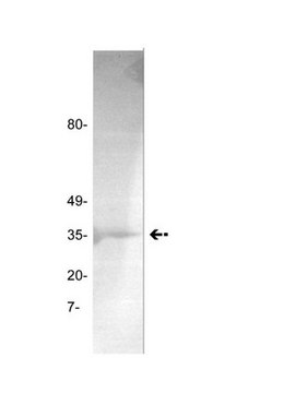
routinely evaluated by immunoblot on human thrombin

Application

Anti-Thrombin Antibody, clone GMA-020 is an antibody against Thrombin for use in WB.
Research Category
Inflammation & Immunology
Research Sub Category
Inflammation & Autoimmune Mechanisms

Biochem/physiol Actions

thrombin

Preparation Note

stable 2 years at -20°C from date of shipment

Legal Information

UPSTATE is a registered trademark of Merck KGaA, Darmstadt, Germany

Disclaimer

Unless otherwise stated in our catalog or other company documentation accompanying the product(s), our products are intended for research use only and are not to be used for any other purpose, which includes but is not limited to, unauthorized commercial uses, in vitro diagnostic uses, ex vivo or in vivo therapeutic uses or any type of consumption or application to humans or animals.

General description

Mr 31kDa

Immunogen

purified human thrombin

Not finding the right product?  

Try our Product Selector Tool.

Storage Class

11 - Combustible Solids

wgk

WGK 3


Certificates of Analysis (COA)

Search for Certificates of Analysis (COA) by entering the products Lot/Batch Number. Lot and Batch Numbers can be found on a product’s label following the words ‘Lot’ or ‘Batch’.

Already Own This Product?

Find documentation for the products that you have recently purchased in the Document Library.

Visit the Document Library

A review of the therapeutic uses of thrombin.
Lundblad, Roger L, et al.
Thrombosis and Haemostasis, 91, 851-860 (2004)
The role of the tissue factor-thrombin pathway in cardiac ischemia-reperfusion injury.
Mackman, Nigel
Seminars in Vascular Medicine, 3, 193-198 (2003)
Bivalent direct thrombin inhibitors: hirudin and bivalirudin.
Warkentin, Theodore E
Best Practice & Research. Clinical Haematology, 17, 105-125 (2004)

Global Trade Item Number

SKUGTIN
05-88004053252367267

Our team of scientists has experience in all areas of research including Life Science, Material Science, Chemical Synthesis, Chromatography, Analytical and many others.

Contact Technical Service