Skip to Content
Merck

07-1216

Anti-PP2A Antibody, Catalytic subunit

Upstate®, from rabbit

Synonym(s):

Serine/threonine protein phosphatase 2A, 56 kDa regulatory subunit, delta isoform, Delta isoform of regulatory subunit B56, protein phosphatase, Protein phosphatase 2, regulatory subunit B (B56), delta isoform, Protein phosphatase 2, regulatory subunit B

Sign In to View Organizational & Contract Pricing.

Select a Size


About This Item

UNSPSC Code:
12352203
NACRES:
NA.41
eCl@ss:
32160702
Conjugate:
unconjugated
Clone:
polyclonal
Application:
IHC, WB
Citations:
-
Technical Service
Need help? Our team of experienced scientists is here for you.
Let Us Assist
Technical Service
Need help? Our team of experienced scientists is here for you.
Let Us Assist

biological source

rabbit

conjugate

unconjugated

antibody form

affinity purified immunoglobulin

antibody product type

primary antibodies

clone

polyclonal

purified by

affinity chromatography

species reactivity

mouse, chicken, bovine, rat, human

manufacturer/tradename

Upstate®

technique(s)

immunohistochemistry: suitable (paraffin), western blot: suitable

isotype

IgG

NCBI accession no.

UniProt accession no.

shipped in

dry ice

target post-translational modification

unmodified

Quality Level

Gene Information

human ... PPP2R5D(5528)

General description

PP2A is a type 2 protein Ser/Thr phosphatase characterized by high activity against the α subunit of Phosphorylase Kinase and low sensitivity to Inhibitor-2. PP2A is distinguishable from PP2B/Calcineurin and PP2C by its partial activity in the absence of divalent cations, and its high sensitivity to Okadaic Acid. It is also thought to be the principal downmodulator of Ser/Thr kinase cascades. PP2A is a heterotrimer containing a structural subunit (A), a regulatory subunit (B), and a catalytic subunit (C). There are multiple isotypes (encoded by distinct genes) of the B subunit, grouped into three families: B/PR55, B′/PR61, and B′′/PR72 . PTPA is a member of the B′ family that is required for activation of PP2A by an undefined mechanism.
60 kDa

Immunogen

Epitope: C-terminus
Synthetic peptide corresponding to a.a. 298-309 of the human sequence.

Application

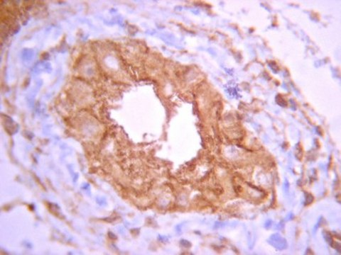
Immunohistochemisty (paraffin): Antibody was diluted to 1:100, using IHC-Select Detection with HRP-DAB. Immunoreactivity is seen as staining in normal human testis.
Research Category
Signaling
Research Sub Category
Kinases & Phosphatases
This Anti-PP2A Antibody, Catalytic subunit is validated for use in WB, IH(P) for the detection of PP2A.

Biochem/physiol Actions

Peptide is highly conserved in human, rat, bovine, mouse and chicken.
Recognizes protein phosphatase 2A, catalytic subunit.

Physical form

Affinity purified
Purified rabbit polyclonal IgG in buffer containing PBS with no preservatives.

Preparation Note

Stable for 1 year at -80°C from date of receipt. Avoid repeated freeze/thaw.

Analysis Note

Control
HEK293 cell lysate
Routinely evaluated by Western Blot on HEK293 lysates.
Western Blot Analysis:
1:500-1:1,000 dilution is traditonally used to detected PP2A, Catalytic subunit in 10 μg of HEK293 lysates.

Other Notes

Replaces: AB1621

Legal Information

UPSTATE is a registered trademark of Merck KGaA, Darmstadt, Germany

Disclaimer

Unless otherwise stated in our catalog or other company documentation accompanying the product(s), our products are intended for research use only and are not to be used for any other purpose, which includes but is not limited to, unauthorized commercial uses, in vitro diagnostic uses, ex vivo or in vivo therapeutic uses or any type of consumption or application to humans or animals.

Not finding the right product?  

Try our Product Selector Tool.

Storage Class

12 - Non Combustible Liquids

wgk

WGK 2

flash_point_f

Not applicable

flash_point_c

Not applicable


Certificates of Analysis (COA)

Search for Certificates of Analysis (COA) by entering the products Lot/Batch Number. Lot and Batch Numbers can be found on a product’s label following the words ‘Lot’ or ‘Batch’.

Already Own This Product?

Find documentation for the products that you have recently purchased in the Document Library.

Visit the Document Library

Global Trade Item Number

SKUGTIN
07-121604053252403989

Our team of scientists has experience in all areas of research including Life Science, Material Science, Chemical Synthesis, Chromatography, Analytical and many others.

Contact Technical Service