Skip to Content
Merck

07-1217

Anti-PP1β Antibody

Upstate®, from rabbit

Synonym(s):

Serine/threonine-protein phosphatase PP1-beta catalytic subunit, Protein phosphatase 1, catalytic subunit, beta, Protein phosphatase 1, catalytic subunit, beta isoform, Protein phosphatase 1-beta, Protein phosphatase 1-delta

Sign In to View Organizational & Contract Pricing.

Select a Size


About This Item

UNSPSC Code:
12352203
NACRES:
NA.41
eCl@ss:
32160702
Conjugate:
unconjugated
Clone:
polyclonal
Application:
IHC, IP, WB
Citations:
7
Technical Service
Need help? Our team of experienced scientists is here for you.
Let Us Assist
Technical Service
Need help? Our team of experienced scientists is here for you.
Let Us Assist

biological source

rabbit

conjugate

unconjugated

antibody form

purified immunoglobulin

antibody product type

primary antibodies

clone

polyclonal

species reactivity

bovine, mouse, human, rat

manufacturer/tradename

Upstate®

technique(s)

immunohistochemistry: suitable (paraffin), immunoprecipitation (IP): suitable, western blot: suitable

isotype

IgG

NCBI accession no.

UniProt accession no.

shipped in

wet ice

target post-translational modification

unmodified

Quality Level

Gene Information

human ... PPP1CB(5500)

General description

Type 1 protein Ser/Thr phosphatases (PP1) have a high specific activity against phosphorylase, and are resistant to okadaic acid up to concentrations of 50 nM, but sensitive to Inhibitor-2 and microcystin LR.
~ 38kDa

Immunogen

Epitope: C-terminus
The immunogen used to the purified peptide conjugated to KLH corresponding to the C-terminus of PP1 beta catalytic subunit (amino acids 318-327).

Application

Immunoprecipitation: A previous lot of this antibody was used in immunoprecipitation at a dilution of 10-15μg/mL.

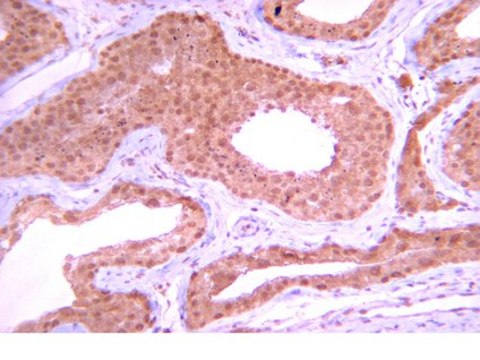
Immunohistochemistry(paraffin):
Optimal Staining of PP1beta Polyclonal Antibody: Human Testis PP1beta staining in normal human testis, tissue pretreated with citrate buffer, pH 6.0. A previous lot of this antibody was diluted to 1:100, using IHC-Select detection with HRP-DAB.
Research Category
Signaling
Research Sub Category
Kinases & Phosphatases
This Anti-PP1β Antibody is validated for use in WB, IP, IH(P) for the detection of PP1β.

Biochem/physiol Actions

Recognizes Protein Phosphatase 1β. No cross reactivity with other recombinant PP1 isoforms.

Physical form

Format: Purified
Purified
Purified rabbit polyclonal IgG provided as 0.2µm sterile filtered solution in phosphate buffered saline with 0.08% sodium azide.

Preparation Note

Maintain at -20°C in undiluted aliquots for up to 1 year from date of receipt.
Handling Recommendations: Upon first thaw, and prior to removing the cap, centrifuge the vial and gently mix the solution. Aliquot into microcentrifuge tubes and store at -20°C. Avoid repeated freeze/thaw cycles, which may damage IgG and affect product performance.

Analysis Note

Routinely evaluated by Western Blot on HeLa lysates.
Western Blot Analysis: 1:500 dilution of this lot detected PP-1beta on 10 μg of HeLa lysates.
Control
HeLa Cell Lysate

Other Notes

Concentration: Please refer to the Certificate of Analysis for the lot-specific concentration.
Replaces: AB4083

Legal Information

UPSTATE is a registered trademark of Merck KGaA, Darmstadt, Germany

Disclaimer

Unless otherwise stated in our catalog or other company documentation accompanying the product(s), our products are intended for research use only and are not to be used for any other purpose, which includes but is not limited to, unauthorized commercial uses, in vitro diagnostic uses, ex vivo or in vivo therapeutic uses or any type of consumption or application to humans or animals.

Not finding the right product?  

Try our Product Selector Tool.

wgk

WGK 2

flash_point_f

Not applicable

flash_point_c

Not applicable

Storage Class

12 - Non Combustible Liquids


Certificates of Analysis (COA)

Search for Certificates of Analysis (COA) by entering the products Lot/Batch Number. Lot and Batch Numbers can be found on a product’s label following the words ‘Lot’ or ‘Batch’.

Already Own This Product?

Find documentation for the products that you have recently purchased in the Document Library.

Visit the Document Library

Wen Li et al.
Journal of diabetes research, 2018, 8743874-8743874 (2018-06-30)
Ingested food is received, mixed, and ground into chyme by distinct gastric motility patterns. Diabetes impairs gastric muscle function, but the mechanisms underlying diabetes-induced gastric muscle dysfunction are unknown. Here, we compared the expression and phosphorylation of Ca2+ sensitization and
Ruijie Liu et al.
Journal of molecular and cellular cardiology, 87, 204-213 (2015-09-04)
There are 3 protein phosphatase 1 (PP1) catalytic isoforms (α, β and γ) encoded within the mammalian genome. These 3 gene products share ~90% amino acid homology within their catalytic domains but each has unique N- and C-termini that likely
Ruijie Liu et al.
Acta biochimica et biophysica Sinica, 51(3), 323-330 (2019-02-06)
Protein phosphatase 1 isoforms α, β, and γ (PP1α, PP1β, and PP1γ) are highly homologous in the catalytic domains but have distinct subcellular localizations. In this study, we utilized both primary cell culture and knockout mice to investigate the isoform-specific
Peng Xu et al.
The Journal of experimental medicine, 218(8) (2021-06-23)
Biochemical, pathogenic, and human genetic data confirm that GSAP (γ-secretase activating protein), a selective γ-secretase modulatory protein, plays important roles in Alzheimer's disease (AD) and Down's syndrome. However, the molecular mechanism(s) underlying GSAP-dependent pathogenesis remains largely elusive. Here, through unbiased
Wenyang Dong et al.
Cell reports, 30(12), 4016-4026 (2020-03-27)
Pathogenic bacteria can alter host gene expression through post-translational modifications of histones. We show that a natural colonizer, Streptococcus pneumoniae, induces specific histone modifications, including robust dephosphorylation of histone H3 on serine 10 (H3S10), during infection of respiratory epithelial cells.

Global Trade Item Number

SKUGTIN
07-121704053252583032

Our team of scientists has experience in all areas of research including Life Science, Material Science, Chemical Synthesis, Chromatography, Analytical and many others.

Contact Technical Service