Skip to Content
Merck

07-1229

Anti-DAPK2 Antibody

from rabbit, purified by affinity chromatography

Synonym(s):

DAP kinase, DAP- kinase-related protein, Death-associated protein kinase

Sign In to View Organizational & Contract Pricing.

Select a Size


About This Item

UNSPSC Code:
12352203
NACRES:
NA.41
eCl@ss:
32160702
Technical Service
Need help? Our team of experienced scientists is here for you.
Let Us Assist
Technical Service
Need help? Our team of experienced scientists is here for you.
Let Us Assist

biological source

rabbit

Quality Level

antibody form

affinity purified immunoglobulin

antibody product type

primary antibodies

clone

polyclonal

purified by

affinity chromatography

species reactivity

rat, mouse, human

technique(s)

immunohistochemistry: suitable (paraffin), western blot: suitable

isotype

IgG

NCBI accession no.

UniProt accession no.

shipped in

wet ice

target post-translational modification

unmodified

Gene Information

human ... DAPK2(23604)
rat ... Dapk2(300799)

General description

Death Associated Protein Kinase (DAPK) is a Ca2+/Calmodulin-dependent, cytoskeletal associated protein kinase whose expression is implicated in the sensitivity of cells to apoptotic effects of TNFα and Interferon-γ. Deletion of the Calmodulin-binding domain results in a constitutively active mutant with a more potent cytotoxic effect. In contrast, the catalytically inactive mutant exerts a dominant negative effect, reducing cytotoxicity and protecting cells from Interferon-γ induced cell death. DAPK expression is frequently lost in human carcinomas and B-cell leukemia, and lower levels of expression correlate with high rates of metastasis.
Detects a 42 kDa band by western blot.

Immunogen

Peptide corresponding to aa 356-370 (ARRKALHPRRRSSTS) of human DAPK2, which is identical to the sequence of mouse origin.

Application

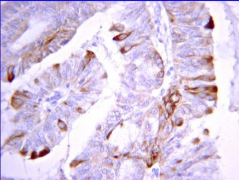
Immunohistochemisty (paraffin): DAPK2 representative staining pattern/morphology in apoptotic bodies in colon cancer. Tissue was pretreated with citrate pH 6, antigen retrieval. A previous lot of this antibody was diluted to 1:100, using IHC-Select Detection with HRP-DAB.

Western Blot: A previous lot of this antibody was tested on multiple lysates. See datasheet.
Research Category
Signaling
Research Sub Category
GPCR, cAMP/cGMP & Calcium Signaling
Detect DAPK2 using this Anti-DAPK2 Antibody validated for use in WB, IH(P).

Biochem/physiol Actions

Detects a 42 kDa band by western blot, corresponding to DAPK2. Does not cross-react with DAPK1.

Physical form

Affinity purified
Purified rabbit polyclonal IgG in buffer containing PBS and 0.02% sodium azide.

Preparation Note

Stable for 6 months at 2-8° C from date of receiept.

Analysis Note

Control
C2C12 cell lysate
Routinely evaluated by Western Blot on C2C12 lysates.

Western Blot Analysis:
1:500-1,1000 dilution of this lot detected DAPK2 on 10 μg of C2C12 lysates.

Other Notes

Concentration: Please refer to the Certificate of Analysis for the lot-specific concentration.
Replaces: AB3606

Disclaimer

Unless otherwise stated in our catalog or other company documentation accompanying the product(s), our products are intended for research use only and are not to be used for any other purpose, which includes but is not limited to, unauthorized commercial uses, in vitro diagnostic uses, ex vivo or in vivo therapeutic uses or any type of consumption or application to humans or animals.

Not finding the right product?  

Try our Product Selector Tool.

wgk

WGK 2

flash_point_f

Not applicable

flash_point_c

Not applicable

Storage Class

12 - Non Combustible Liquids


Certificates of Analysis (COA)

Search for Certificates of Analysis (COA) by entering the products Lot/Batch Number. Lot and Batch Numbers can be found on a product’s label following the words ‘Lot’ or ‘Batch’.

Already Own This Product?

Find documentation for the products that you have recently purchased in the Document Library.

Visit the Document Library

Snehal Dabir et al.
International journal of cancer, 134(5), 1045-1054 (2013-08-21)
Protein inhibitor of activated signal transducer and activator of transcription 3 (STAT3) (PIAS3) is an endogenous inhibitor of STAT3 that negatively regulates STAT3 transcriptional activity and cell growth and demonstrates limited expression in the majority of human squamous cell carcinomas
B Inbal et al.
Molecular and cellular biology, 20(3), 1044-1054 (2000-01-11)
In this study we describe the identification and structure-function analysis of a novel death-associated protein (DAP) kinase-related protein, DRP-1. DRP-1 is a 42-kDa Ca(2+)/calmodulin (CaM)-regulated serine threonine kinase which shows high degree of homology to DAP kinase. The region of
T Kawai et al.
Oncogene, 18(23), 3471-3480 (1999-06-22)
We have identified and characterized a new calcium/calmodulin (Ca2+/CaM) dependent protein kinase termed death-associated protein kinase 2 (DAPK2) that contains an N-terminal protein kinase domain followed by a conserved CaM-binding domain with significant homologies to those of DAP kinase, a
Lidia Villanova et al.
International journal of molecular sciences, 21(7) (2020-04-05)
MicroRNAs are tiny but powerful regulators of gene expression at the post-transcriptional level. Aberrant expression of oncogenic and tumor-suppressor microRNAs has been recognized as a common feature of human cancers. Colorectal cancer represents a major clinical challenge in the developed

Our team of scientists has experience in all areas of research including Life Science, Material Science, Chemical Synthesis, Chromatography, Analytical and many others.

Contact Technical Service