Skip to Content
Merck

07-1234

Anti-Notch 2 Antibody, NT

serum, from rabbit

Synonym(s):

Neurogenic locus notch homolog protein 2 precursor, Notch (Drosophila) homolog, Notch 2, Notch homolog 2 (Drosophila)

Sign In to View Organizational & Contract Pricing.

Select a Size


About This Item

UNSPSC Code:
12352203
NACRES:
NA.41
eCl@ss:
32160702
Conjugate:
unconjugated
Clone:
polyclonal
Application:
ELISA, IHC, WB
Citations:
12
Technical Service
Need help? Our team of experienced scientists is here for you.
Let Us Assist
Technical Service
Need help? Our team of experienced scientists is here for you.
Let Us Assist

biological source

rabbit

conjugate

unconjugated

antibody form

serum

antibody product type

primary antibodies

clone

polyclonal

species reactivity

mouse, human

species reactivity (predicted by homology)

rat (14/15 immuongen sequence homology)

technique(s)

ELISA: suitable, immunohistochemistry: suitable (paraffin), western blot: suitable

isotype

IgG

NCBI accession no.

UniProt accession no.

shipped in

wet ice

target post-translational modification

unmodified

Quality Level

Gene Information

human ... NOTCH2(4853)

General description

Notch is a family of single-pass transmembrane receptor proteins that are synthesized in the endoplasmic reticulum as an inactive form and are proteolytically cleaved on an extracellular site by a furin-like convertase (S1 cleavage) in the trans-golgi network after the recognition of the RQRR sequence before it reaches the plasma membrane as heterodimers to yield an active, ligand-accessible form. The Notch family is comprised of 4 members (1-4) whose ligands include the Delta and Jagged family of ligands. These ligands cause proteolysis of Notch to liberate the intracellular domain. Cleavage results in a C-terminal fragment N(TN) and a N-terminal fragment N(EC). Following ligand binding, it is cleaved (S2 cleavage) by TNF-alpha converting enzyme (TACE) to yield a membrane-associated intermediate fragment called Notch extracellular truncation (NEXT). This fragment is then cleaved by presenilin-dependent gamma-secretase between gly1743 and val1744 (S3 cleavage) to release the intracellular domain (NICD) from the membrane. That domain translocates to the nucleus and initiates transcription events by binding the DNA binding protein CSL. The notch family members are involved cell differentiation and development.
~72 kDa

Immunogen

Epitope: Cleaved N-terminus
Synthetic peptide from the N-terminal sequence of the cleaved N intracellular domain (NICD) human Notch 2.

Application

Anti-Notch 2 Antibody, N-Terminus detects level of Notch 2 & has been published & validated for use in ELISA, WB, IH(P).
ELISA:
1:30,000-1:90,000 dilution from a previous lot was used in a standard sandwich ELISA assay against the peptide immunogen.
Optimal working dilutions must be determined by the end user.

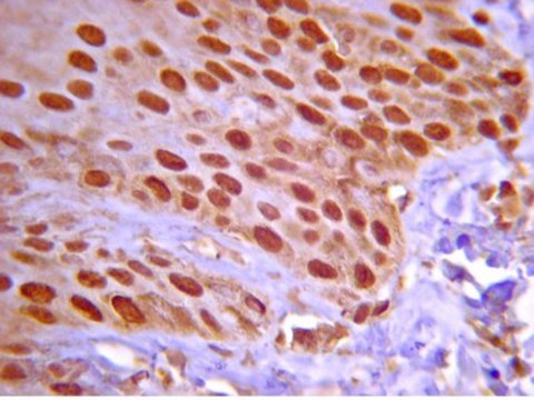
Immunohistochemistry(paraffin):
Representative testing from a previous lot.
Optimal Staining of NOTCH-2 Polyclonal Antibody: Squamous Cell Carcinoma
Research Category
Epigenetics & Nuclear Function
Research Sub Category
Transcription Factors

Biochem/physiol Actions

Notch 2, cleaved N terminal. This epitope is exposed only after gamma secretase cleavage and is not accessible in the uncleaved form.
Other species have not been tested.

Physical form

Rabbit polyclonal IgG serum in buffer containing 0.02 M Potassium phosphate buffer with 0.15 M NaCl and 0.1% sodium azide

Preparation Note

Stable for 6 months at -20°C in undiluted aliquots from date of receipt. Avoid repeated freeze/thaw cycles.
Handling Recommendations: Upon first thaw, and prior to removing the cap, centrifuge the vial and gently mix the solution. Aliquot into microcentrifuge tubes and store at -20°C. Avoid repeated freeze/thaw cycles, which may damage IgG and affect product performance.

Analysis Note

Control
NIH/3T3 Cell Lysate
Routinely evaluated by Western Blot on NIH/3T3 lysates.

Western Blot Analysis: 1:500 dilution of this lot detected cleaved NOTCH2 on 10 μg of NIH/3T3 lysates.

Other Notes

Replaces: PART AB5713

Disclaimer

Unless otherwise stated in our catalog or other company documentation accompanying the product(s), our products are intended for research use only and are not to be used for any other purpose, which includes but is not limited to, unauthorized commercial uses, in vitro diagnostic uses, ex vivo or in vivo therapeutic uses or any type of consumption or application to humans or animals.

Not finding the right product?  

Try our Product Selector Tool.

Storage Class

12 - Non Combustible Liquids

wgk

WGK 2

flash_point_f

Not applicable

flash_point_c

Not applicable


Certificates of Analysis (COA)

Search for Certificates of Analysis (COA) by entering the products Lot/Batch Number. Lot and Batch Numbers can be found on a product’s label following the words ‘Lot’ or ‘Batch’.

Already Own This Product?

Find documentation for the products that you have recently purchased in the Document Library.

Visit the Document Library

Mariya T Sweetwyne et al.
Diabetes, 64(12), 4099-4111 (2015-08-22)
Notch pathway activation in podocytes has been shown to play an important role in diabetic kidney disease (DKD) development; however, the receptors and ligands involved in the process have not been identified. Here, we report that conditional deletion of Notch1
S Lee et al.
NPJ Regenerative medicine, 6(1), 29-29 (2021-05-30)
Adult bone regeneration is orchestrated by the precise actions of osteoprogenitor cells (OPCs). However, the mechanisms by which OPC proliferation and differentiation are linked and thereby regulated are yet to be defined. Here, we present evidence that during intramembranous bone
Eriko Tanaka et al.
Nature communications, 5, 3296-3296 (2014-02-15)
Activation of Notch1 and Notch2 has been recently implicated in human glomerular diseases. Here we show that Notch2 prevents podocyte loss and nephrosis. Administration of a Notch2 agonistic monoclonal antibody ameliorates proteinuria and glomerulosclerosis in a mouse model of nephrosis
Notch signaling components are upregulated during both endochondral and intramembranous bone regeneration.
Dishowitz, MI; Terkhorn, SP; Bostic, SA; Hankenson, KD
Journal of Orthopaedic Research : Official Publication of the Orthopaedic Research Society null
Nikhlesh K Singh et al.
EBioMedicine, 2(11), 1767-1784 (2016-02-13)
Retinal neovascularization is the most common cause of moderate to severe vision loss in all age groups. Despite the use of anti-VEGFA therapies, this complication continues to cause blindness, suggesting a role for additional molecules in retinal neovascularization. Besides VEGFA

Global Trade Item Number

SKUGTIN
07-123404053252372520

Our team of scientists has experience in all areas of research including Life Science, Material Science, Chemical Synthesis, Chromatography, Analytical and many others.

Contact Technical Service