Skip to Content
Merck

07-1381

Anti-PP6R3 Antibody

from rabbit, purified by affinity chromatography

Synonym(s):

Serine/threonine-protein phosphatase 6 regulatory subunit 3, SAPS domain family member 3, Sporulation-induced transcript 4-associated protein SAPL

Sign In to View Organizational & Contract Pricing.

Select a Size


About This Item

UNSPSC Code:
12352203
NACRES:
NA.41
eCl@ss:
32160702
Conjugate:
unconjugated
Clone:
polyclonal
Application:
IHC, WB
Citations:
2
Technical Service
Need help? Our team of experienced scientists is here for you.
Let Us Assist
Technical Service
Need help? Our team of experienced scientists is here for you.
Let Us Assist

biological source

rabbit

Quality Level

conjugate

unconjugated

antibody form

affinity isolated antibody

antibody product type

primary antibodies

clone

polyclonal

purified by

affinity chromatography

species reactivity

human

technique(s)

immunohistochemistry: suitable (paraffin), western blot: suitable

NCBI accession no.

UniProt accession no.

shipped in

wet ice

target post-translational modification

unmodified

Gene Information

human ... PPP6R3(55291)

General description

PP6R3 (protein Ser/Thr phosphatase 6 regulatory subunit 3), also known as SAPS3 is a regulatory subunit of protein phosphatase 6 which is important for cell survival and is associated with TOR signaling in yeast. PP6R3 has been implicated in the transition from G1 to the S phase of mitosis. The PP6R3 subunit is one of three human versions of SAPs which may also have a role to play in regulation of NF-kappaB.
~130-140 kDa observed. UniProt entry describes 6 isoforms produced by alternative splicing ranging from 88.9 to 98.9 kDa


Immunogen

Histidine-tagged-recombinant protein corresponding to human PP6R3.

Application

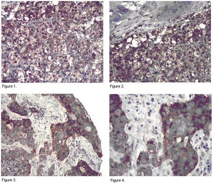
Anti-PP6R3 Antibody detects level of PP6R3 & has been published & validated for use in WB, IH(P).
Immunohistochemistry Analysis: 1:200 dilution of a representative lot detected PP6R3 in human kidney and human breast tissues.
Research Category
Signaling
Research Sub Category
Kinases & Phosphatases

Physical form

Affinity purified
Purified rabbit polyclonal in buffer containing 0.1 M Tris-Glycine (pH 7.4), 150 mM NaCl with 0.05% sodium azide.

Preparation Note

Stable for 1 year at 2-8°C from date of receipt.

Analysis Note

Control
HeLa cell lysate
Evaluated by Western Blot in HeLa cell lysate.

Western Blot Analysis: 1:10,000 dilution of this antibody detected PP6R3 on 10 µg of HeLa cell lysate.

Other Notes

Concentration: Please refer to the Certificate of Analysis for the lot-specific concentration.

Disclaimer

Unless otherwise stated in our catalog or other company documentation accompanying the product(s), our products are intended for research use only and are not to be used for any other purpose, which includes but is not limited to, unauthorized commercial uses, in vitro diagnostic uses, ex vivo or in vivo therapeutic uses or any type of consumption or application to humans or animals.

Not finding the right product?  

Try our Product Selector Tool.

Storage Class

12 - Non Combustible Liquids

wgk

WGK 1

flash_point_f

Not applicable

flash_point_c

Not applicable


Certificates of Analysis (COA)

Search for Certificates of Analysis (COA) by entering the products Lot/Batch Number. Lot and Batch Numbers can be found on a product’s label following the words ‘Lot’ or ‘Batch’.

Already Own This Product?

Find documentation for the products that you have recently purchased in the Document Library.

Visit the Document Library

Promising developments in targeted therapies for non-small-cell lung cancer.
Desiree Hao,Manuel Hidalgo
Clinical Lung Cancer null

Global Trade Item Number

SKUGTIN
07-138104053252293184

Our team of scientists has experience in all areas of research including Life Science, Material Science, Chemical Synthesis, Chromatography, Analytical and many others.

Contact Technical Service