Skip to Content
Merck

07-1398

Anti-phospho-Akt (Thr308) Antibody

from rabbit

Synonym(s):

Protein kinase B, RAC-alpha serine/threonine-protein kinase, murine thymoma viral (v-akt) oncogene homolog-1, rac protein kinase alpha, v-akt murine thymoma viral oncogene homolog 1

Sign In to View Organizational & Contract Pricing.

Select a Size


About This Item

UNSPSC Code:
12352203
NACRES:
NA.41
eCl@ss:
32160702
Clone:
polyclonal
Species reactivity:
mouse, canine
Application:
IHC
Citations:
4
Technical Service
Need help? Our team of experienced scientists is here for you.
Let Us Assist
Technical Service
Need help? Our team of experienced scientists is here for you.
Let Us Assist

biological source

rabbit

antibody form

affinity isolated antibody

antibody product type

primary antibodies

clone

polyclonal

purified by

affinity chromatography

species reactivity

mouse, canine

species reactivity (predicted by homology)

Xenopus (based on 100% sequence homology), rat (based on 100% sequence homology), human (based on 100% sequence homology), dog (based on 100% sequence homology), chicken (based on 100% sequence homology), bovine (based on 100% sequence homology)

technique(s)

immunohistochemistry: suitable (paraffin)

isotype

IgG

suitability

not suitable for Western blot

NCBI accession no.

UniProt accession no.

shipped in

wet ice

target post-translational modification

phosphorylation (pThr308)

Quality Level

Gene Information

bovine ... Akt1(280991)
human ... AKT1(207)
rat ... Akt1S1(292887)

General description

Akt/PKB is a Ser/Thr kinase and a major known effecter of the PI3 Kinase pathway. It is involved in multiple signaling pathways that relate to many biological processes including metabolism, apoptosis, cell cycle control, angiogenesis, differentiation, and cell growth and proliferation. In mammals, three isoforms of Akt (Akt1/PKCα, Akt2/PKBβ, and Akt3/PKBγ) exists. They exhibit a high degree of homology, but differ slightly in the localization of their regulatory phosphorylation sites. Akt1 is the predominant isoform that is in most tissues and is thought to have a dominant role in growth, survival, embryonic development, and adipocyte differentiation. Akt2 is correlated with the regulation of glucose homeostasis and is the predominant isoform expressed in insulin-responsive tissues. Akt3 is abundant in brain tissue. Each Akt isoform is composed of three functionally distinct regions: an N-terminal Pleckstrin Homology (PH) domain that provides a lipid-binding module, a central catalytic domain containing Thr308, and a C-terminal hydrophobic motif containing Ser473. The activation of AKT is dependent on a dual regulatory mechanism that requires both its translocation to the plasma membrane and dual phosphorylation on Thr308 and Ser473 by PDK1 and the TORC2 complex, respectively.
60 kDa

Immunogen

Epitope: Thr308 (Catalytic Domain)
KLH-conjugated synthetic peptide containing the Thr308 sequence and surrounding amino acids of human, mouse, rat, bovine and chicken Akt1. Human and mouse Akt2 shares 11/12 amino acids and rat Akt3 shares 10/12 amino acids with the peptide immunogen sequence.

Application

Immunohistochemistry only

Western Blot Analysis:
Not recommended for WB as it gives multiple bands. Please refer to 05-802R
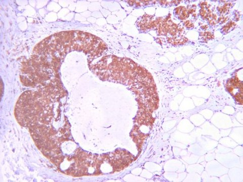
This Anti-phospho-Akt (Thr308) Antibody is validated for use in IH(P) for the detection of phospho-Akt (Thr308).

Physical form

Antigen affinity purified against both the phosphorylated and the non-phosphorylated peptides of Akt (Thr308).

Preparation Note

Stable for 1 year at 2-8°C from date of receipt.
Handling Recommendations: Upon receipt, and prior to removing the cap, centrifuge the vial and gently mix the solution.

Analysis Note

Immunohistochemistry Analysis:
Antibody diluted to 1:500, IHC-Select Detection with HRP-DAB.

Other Notes

Concentration: Please refer to the Certificate of Analysis for the lot-specific concentration.

Not finding the right product?  

Try our Product Selector Tool.

Storage Class

12 - Non Combustible Liquids

wgk

WGK 1

flash_point_f

Not applicable

flash_point_c

Not applicable


Certificates of Analysis (COA)

Search for Certificates of Analysis (COA) by entering the products Lot/Batch Number. Lot and Batch Numbers can be found on a product’s label following the words ‘Lot’ or ‘Batch’.

Already Own This Product?

Find documentation for the products that you have recently purchased in the Document Library.

Visit the Document Library

Yange Liu et al.
Oxidative medicine and cellular longevity, 2017, 7841823-7841823 (2017-03-25)
In the present study, the components of A. cinnamomea (AC) mycelia were systematically analyzed. Subsequently, its hepatoprotective effects and the underlying mechanisms were explored using a mouse model of acute alcohol-induced liver injury. AC contained 25 types of fatty acid
Yange Liu et al.
BioMed research international, 2017, 9374026-9374026 (2017-04-21)
Antrodia cinnamomea, a folk medicinal mushroom, has numerous biological effects. In this study, we aim to assess whether the antifatigue effects of A. cinnamomea mycelia (AC) and its underlying mechanisms are related to oxidative stress signaling using behavioral mouse models
Orkide Palabiyik et al.
Biomedical reports, 0(0), 1-10 (2019-03-08)
Athletes misuse recombinant human growth hormone (r-hGH) to enhance their performance. Although r-hGH is known to increase cardiac hypertrophy, the underlying molecular mechanism remains unclear. The aim of the present study was to investigate the role of r-hGH in cardiac
Tiequan Zhang et al.
Cancer management and research, 13, 247-258 (2021-01-21)
Accruing evidences have pointed out that abnormal expression of circular RNAs (circRNAs) was closely related to the development of many malignancies. The present study intended to disclose the role of circRNA eukaryotic translation initiation factor 6 (circEIF6; hsa_circ_0060055) in pancreatic

Global Trade Item Number

SKUGTIN
07-139804053252408441

Our team of scientists has experience in all areas of research including Life Science, Material Science, Chemical Synthesis, Chromatography, Analytical and many others.

Contact Technical Service