Skip to Content
Merck

07-1404

Anti-GLUT-4 Antibody, C-terminus

from rabbit, purified by affinity chromatography

Synonym(s):

Solute carrier family 2, facilitated glucose transporter member 4, Glucose transporter type 4, insulin-responsive, GLUT-4

Sign In to View Organizational & Contract Pricing.

Select a Size


About This Item

UNSPSC Code:
12352203
NACRES:
NA.41
eCl@ss:
32160702
Conjugate:
unconjugated
Clone:
polyclonal
Application:
IHC, WB
Citations:
91
Technical Service
Need help? Our team of experienced scientists is here for you.
Let Us Assist
Technical Service
Need help? Our team of experienced scientists is here for you.
Let Us Assist

biological source

rabbit

conjugate

unconjugated

antibody form

affinity isolated antibody

antibody product type

primary antibodies

clone

polyclonal

purified by

affinity chromatography

species reactivity

mouse, human

species reactivity (predicted by homology)

rat (based on 100% sequence homology)

technique(s)

immunohistochemistry: suitable, western blot: suitable

NCBI accession no.

UniProt accession no.

shipped in

wet ice

target post-translational modification

unmodified

Quality Level

Gene Information

human ... SLC2A4(6517)

General description

Solute carrier family 2, facilitated glucose transporter member 4 (UniProt: P14672; also known as Glucose transporter type 4, insulin-responsive, GLUT-4) is encoded by the SLC2A4 (also known as GLUT4) gene (Gene ID: 6517) in human. Glucose transport in mammalian cells depends upon membrane-associated carrier proteins. Mammalian cells possess two types of glucose carriers (a) the Na+-glucose co-transporter and the (b) facilitative glucose transporter. The Na+-glucose co-transporter transports glucose against its concentration gradient by coupling its uptake with the uptake of Na+. It is largely expressed in epithelial cells of the small intestine and kidney. The facilitative glucose carriers of the GLUT family accelerate the transport of glucose down its concentration gradient by facilitative diffusion. Members of the GLUT family are expressed in a tissue- and cell-specific manner and exhibit distinct kinetic and regulatory properties that reflect their specific functional roles. GLUT4 is a multi-pass membrane protein with 6 extracellular domains, 12 transmembrane domains, and 7 cytoplasmic domains. It is expressed in insulin sensitive tissues, such as muscle and adipose tissue and its levels change in response to insulin. It is responsible for increased glucose disposal in these tissues in the postprandial state and is vital in whole-body glucose homeostasis. In the absence of insulin, it is efficiently retained intracellularly within storage compartments in muscle and fat cells. However, upon insulin stimulation, it translocates from these compartments to the cell surface where it transports glucose from the extracellular milieu into the cell. GLUT-4 contains a dileucine internalization motif (aa 489-490) that is critical for its intracellular sequestration. Mutations in SLC2A4 gene are known to cause non-insulin-dependent diabetes mellitus, a multifactorial disorder of glucose homeostasis. GLUT4 function as well as its transcriptional regulation is highly conserved throughout the vertebrate species.
~58 kDa observed

Immunogen

Epitope: C-terminus
KLH-conjugated linear peptide corresponding to 13 amino acids from the C-terminal region of human GLUT-4.

Application

Anti-GLUT-4, C-terminus, Cat. No. 07-1404, is a rabbit polyclonal antibody that detects GLUT-4 and is tested for use in Western Blotting and Immunohistochemistry (Paraffin).
Research Category
Signaling
Research Sub Category
Insulin/Energy Signaling
Tested Applications

Western Blotting Analysis: A 1:2,000 dilution from a representative lot detected GLUT-4 in lysates from Human umbilical vein endothelial cells (HUVEC) and HepG2 cells.

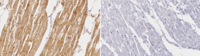
Immunohistochemistry (Paraffin) Analysis: A 1:2,000 dilution from a representative lot detected GLUT-4 in human heart tissue sections and a 1:100 dilution from a representative lot detected GLUT-4 in human skeletal muscle and, human salivary gland tissue sections.

Note: Actual optimal working dilutions must be determined by end user as specimens, and experimental conditions may vary with the end user.

Biochem/physiol Actions

This rabbit polyclonal antibody specifically detects GLUT-4. It targets an epitope within 13 amino acids from the C-terminal cytoplasmic domain.

Physical form

Affinity purified
Purified rabbit polyclonal antibody in PBS with 0.1% sodium azide.

Preparation Note

Recommended storage: +2°C to +8°C.

Analysis Note

Control
NIH3T3 cell lysate
Evaluated by Western Blotting in NIH/3T3 cell lysate.

Western Blotting Analysis: A 1:2,000 dilution of this antibody detected GLUT-4 in NIH/3T3 cell lysate.

Other Notes

Replaces: AB1346

Disclaimer

Unless otherwise stated in our catalog or other company documentation accompanying the product(s), our products are intended for research use only and are not to be used for any other purpose, which includes but is not limited to, unauthorized commercial uses, in vitro diagnostic uses, ex vivo or in vivo therapeutic uses or any type of consumption or application to humans or animals.

Not finding the right product?  

Try our Product Selector Tool.

Storage Class

10 - Combustible liquids

wgk

WGK 2


Certificates of Analysis (COA)

Search for Certificates of Analysis (COA) by entering the products Lot/Batch Number. Lot and Batch Numbers can be found on a product’s label following the words ‘Lot’ or ‘Batch’.

Already Own This Product?

Find documentation for the products that you have recently purchased in the Document Library.

Visit the Document Library

Ceramide mediates insulin resistance by tumor necrosis factor-alpha in brown adipocytes by maintaining Akt in an inactive dephosphorylated state.
Teruel, T, et al.
Diabetes, 50, 2563-2571 (2001)
Rashmi Supriya et al.
Frontiers in physiology, 7, 323-323 (2016-08-12)
Anti-cancer agent doxorubicin (DOX) has been demonstrated to worsen insulin signaling, engender muscle atrophy, trigger pro-inflammation, and induce a shift to anaerobic glycolytic metabolism in skeletal muscle. The myotoxicity of DOX in diabetic skeletal muscle remains largely unclear. This study
Dolly Al Koborssy et al.
Frontiers in neuroscience, 8, 333-333 (2014-11-18)
In the brain, glucose homeostasis of extracellular fluid is crucial to the point that systems specifically dedicated to glucose sensing are found in areas involved in energy regulation and feeding behavior. Olfaction is a major sensory modality regulating food consumption.
ChREBP, a glucose-responsive transcriptional factor, enhances glucose metabolism to support biosynthesis in human cytomegalovirus-infected cells.
Yu, Y; Maguire, TG; Alwine, JC
Proceedings of the National Academy of Sciences of the USA null
Insulin and insulin-like growth factor I up-regulate GLUT4 gene expression in fetal brown adipocytes, in a phosphoinositide 3-kinase-dependent manner.
Valverde, A M, et al.
The Biochemical Journal, 337 ( Pt 3), 397-405 (1999)

Global Trade Item Number

SKUGTIN
07-140404053252332364

Our team of scientists has experience in all areas of research including Life Science, Material Science, Chemical Synthesis, Chromatography, Analytical and many others.

Contact Technical Service