Skip to Content
Merck

07-1420

Anti-VEGF Antibody

from rabbit, purified by affinity chromatography

Synonym(s):

Vascular permeability factor

Sign In to View Organizational & Contract Pricing.

Select a Size


About This Item

UNSPSC Code:
12352203
NACRES:
NA.41
eCl@ss:
32160702
Technical Service
Need help? Our team of experienced scientists is here for you.
Let Us Assist
Technical Service
Need help? Our team of experienced scientists is here for you.
Let Us Assist

Product Name

Anti-VEGF Antibody, from rabbit, purified by affinity chromatography

biological source

rabbit

conjugate

unconjugated

antibody form

affinity purified immunoglobulin

antibody product type

primary antibodies

clone

polyclonal

purified by

affinity chromatography

species reactivity

mouse, human

technique(s)

ELISA: suitable
immunohistochemistry: suitable (paraffin)
western blot: suitable

isotype

IgG

NCBI accession no.

UniProt accession no.

shipped in

dry ice

target post-translational modification

unmodified

Quality Level

Gene Information

human ... VEGFA(7422)

Analysis Note

Control
Huvec cell lysate
Routinely evaluated by Western Blot on Huvec lysates.

Western Blot Analysis:
1:500 dilution of this lot detected VEGF on 10 μg of Huvec lysates.

Application

Anti-VEGF Antibody detects level of VEGF & has been published & validated for use in WB, IH(P), ELISA.
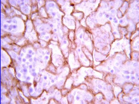
Immunohistochemisty (paraffin): VEGF staining in mouse placenta, tissue was pretreated with citrate buffer, pH 6.0. A previous lot of antibody was diluted to 1:100, using IHC-Select detection with HRP-DAB.

Neutralization: To yield one-half maximal inhibition [ND50] of the biological activity of mouse VEGF (50.0 ng/mL), a concentration of 1.0-2.0 µg/mL of a previous lot of this antibody was required.

ELISA: A concentration of at least 0.5 µg/mL (100 μL/well) is required to detect 0.2-0.4 ng/well of recombinant mouse VEGF using a previous lot of this antibody.

Optimal working dilutions must be determined by the end user.
Research Category
Signaling
Research Sub Category
Growth Factors & Receptors

Biochem/physiol Actions

Recognizes Vascular Endothelial Growth Factor (VEGF), a secreted homodimeric protein secreted by a variety of vascularized tissues. The reported activities of VEGF include stimulation of endothelial cell growth, angiogenesis, and capillary permeability.

Disclaimer

Unless otherwise stated in our catalog or other company documentation accompanying the product(s), our products are intended for research use only and are not to be used for any other purpose, which includes but is not limited to, unauthorized commercial uses, in vitro diagnostic uses, ex vivo or in vivo therapeutic uses or any type of consumption or application to humans or animals.

General description

27 kDa
VEGF (Vascular endothelial growth factor, VEGFA, VEGF-A), a dimeric ligand, is among the most potent angiogenic mitogens. VEGF is secreted by tumor cells and other cells exposed to hypoxia. VEGF is a highly specific mitogen for vascular endothelial cells. Seven VEGF isoforms (a, b, c, d, e, f, g) are generated as a result of alternative splicing from a single VEGF gene. The most commonly studied isoforms are VEGF121, VEGF165, and VEGF189 (f, d and b, respectively) All seven isoforms differ in their molecular mass and in biological properties such as their ability to bind to cell-surface heparan-sulfate proteoglycans. The expression of VEGF is potentiated and is secreted by tumor cells in response to hypoxia, by activated oncogenes, and by a variety of cytokines. VEGF induces angiogenesis as well as permeabilization of blood vessels, and plays a central role in the regulation of vasculogenesis. VEGF expression correlates to the degree of tumor vascularization and with increased metastatic risk. Additionally, VEGF induces endothelial cell proliferation, promotes cell migration, and inhibits apoptosis. Consequently, inhibition of VEGF signaling abrogates the development of a wide variety of tumors.

Immunogen

Highly pure (>98%) recombinant mouse Vascular Endothelial Growth Factor.

Other Notes

Replaces: AB2142P

Physical form

Affinity purified
Affinity purified rabbit polyclonal IgG employing immobilized mouse VEGF matrix. Antibody solution (1 mg/ml) was lyophilized from PBS, pH 7.2. Reconstitute with sterile distilled water.

Preparation Note

Reconstituted antibody, at a concentration of ≥ 0.2 mg/mL, is stable for at least six weeks at 2-8ºC. Aliquots stored at -20ºC are stable for at least one year from date of receipt.
Handling Recommendations: Upon first thaw, and prior to removing the cap, centrifuge the vial and gently mix the solution. Aliquot into microcentrifuge tubes and store at -20°C. Avoid repeated freeze/thaw cycles, which may damage IgG and affect product performance.

Not finding the right product?  

Try our Product Selector Tool.

Storage Class

13 - Non Combustible Solids

wgk

WGK 3

flash_point_f

Not applicable

flash_point_c

Not applicable


Certificates of Analysis (COA)

Search for Certificates of Analysis (COA) by entering the products Lot/Batch Number. Lot and Batch Numbers can be found on a product’s label following the words ‘Lot’ or ‘Batch’.

Already Own This Product?

Find documentation for the products that you have recently purchased in the Document Library.

Visit the Document Library

Zhezhi Deng et al.
Cell cycle (Georgetown, Tex.), 16(8), 785-794 (2017-03-16)
Salt (sodium chloride, NaCl) accumulation in the brain is associated with various diseases of central nervous system (CNS). Activation of astrocytes is an important manifestation of pathophysiological processes in the CNS. However, the direct impact of high salt (HS) environment
Matthew B Greenblatt et al.
The Journal of experimental medicine, 212(8), 1283-1301 (2015-07-22)
Physiological bone remodeling requires that bone formation by osteoblasts be tightly coupled to bone resorption by osteoclasts. However, relatively little is understood about how this coupling is regulated. Here, we demonstrate that modulation of NF-κB signaling in osteoclasts via a
Zsuzsanna Lichner et al.
The American journal of pathology, 180(4), 1675-1687 (2012-02-14)
The von Hippel-Lindau (VHL) gene is lost in ≈ 70% of all renal cell carcinomas (RCCs); however, increasing evidence supports the involvement of alternative mechanisms in the regulation of VHL expression, including suppression by microRNAs (miRNAs). miRNAs are small, noncoding
Zeqi Zheng et al.
Cell cycle (Georgetown, Tex.), 17(8), 1026-1033 (2018-06-19)
The potential mechanism of miRNA released from adipose-derived stem cell (ADSC)-derived micro vesicle (MV) onthe modulation of proliferation, migration and invasion of endothelial cells were explored. In this study, miR-210 level was detected by qT-PCR. Alix, VEGF and RUNX3 expressions
Zhen-Kun Liu et al.
PloS one, 7(9), e45224-e45224 (2012-10-03)
Previously we have screened out Insulin-like Growth Factor Binding Protein 7 (IGFBP7) as a differentially expressed gene in post-implantation uterus versus pre-implantation uterus by suppressive subtractive hybridation. However its function in uterus was not clearly identified. In this research, the

Global Trade Item Number

SKUGTIN
07-142004053252373282

Our team of scientists has experience in all areas of research including Life Science, Material Science, Chemical Synthesis, Chromatography, Analytical and many others.

Contact Technical Service