Skip to Content
Merck

07-1479

Anti-IKKβ Antibody

from rabbit

Synonym(s):

Anti-IKKB

Sign In to View Organizational & Contract Pricing.

Select a Size


About This Item

UNSPSC Code:
12352203
NACRES:
NA.41
eCl@ss:
32160702
Conjugate:
unconjugated
Clone:
polyclonal
Application:
IHC, WB
Citations:
2
Technical Service
Need help? Our team of experienced scientists is here for you.
Let Us Assist
Technical Service
Need help? Our team of experienced scientists is here for you.
Let Us Assist

biological source

rabbit

conjugate

unconjugated

antibody form

purified immunoglobulin

antibody product type

primary antibodies

clone

polyclonal

species reactivity

human, mouse

technique(s)

immunohistochemistry: suitable (paraffin), western blot: suitable

isotype

IgG

NCBI accession no.

UniProt accession no.

shipped in

wet ice

target post-translational modification

unmodified

Quality Level

Gene Information

human ... IKBKB(3551)
mouse ... Ikbkb(16150)

General description

IKKbeta (IkB Kinase, IKKbeta, I-Kappa-B kinase-beta) is a member of the IKK complex which is composed of IKKalpha, IKKbeta, IKKgamma and IKAP. IkB Kinase (IKK) complex is a critical component in NFkB regulation. In a majority of unstimulated cells, the NFkB transcription factors exist in their inactive form and are retained in the cytoplasm by the bound inhibitory IkB proteins. For NFkB to become activated, it must first disassociate from the inhibitor IkB. This occurs via the serine phosphorylation of IkB on Ser32 and Ser36. Post receptor stimulation, most notably by TNFalpha, NIK, a serine/threonine kinase, becomes activated and phosphorylates IKKalpha and IKKbeta. Phosphorylation of 2 sites at the activation loop of IKK beta is essential for activation of IKK by TNF and IL1. Once activated, IKKbeta autophosphorylates, which in turn decreases IKK activity and prevents prolonged activation of the inflammatory response. Additionally, IKKbeta activity can also be regulated by MEKK-1. IKK then binds to and phosphorylates IkBalpha on the two serine residues. This phosphorylation marks IkB for ubiquination and destruction by the proteosome. This free the NFkB complex and allows it to translocates to the nucleus.
~87 kDa

Immunogen

Rabbit anti-IKKβ polyclonal antibody was raised against a peptide corresponding to amino acids 662 to 680 of human IKKβ (3,4), which differs from the corresponding murine sequence by one amino acid.

Application

Detect IKKβ using this Anti-IKKβ Antibody validated for use in WB, IH(P).
Optimal working dilutions must be determined by end user.

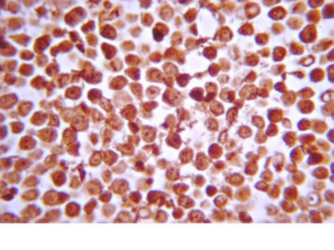
Immunohistochemistry(paraffin):
Representative images from a previous lot.
Optimal Staining of IKKβ Polyclonal Antibody: HeLa Cells

Western blot: 1:500 to 1:1000 from a previous lot was tested on whole cell lysate from Jurkat cells can be used as positive control and an approximately 87 kDa band should be detected.
Research Category
Signaling
Research Sub Category
Immunological Signaling

Biochem/physiol Actions

This antibody recognizes IKKbeta, does not cross reacts with IKKα or IKKγ.

Physical form

Format: Purified
Purified
Purified rabbit polyclonal IgG in PBS containing 0.02% sodium azide.

Preparation Note

Stable at 2-8°C in undiluted aliquots for up to 12 months from date of receipt.
Handling Recommendations: Upon first thaw, and prior to removing the cap, centrifuge the vial and gently mix the solution. Aliquot into microcentrifuge tubes and store at -20°C. Avoid repeated freeze/thaw cycles, which may damage IgG and affect product performance.

Analysis Note

Control
A431 cell lysate, whole cell lysate from Jurkat cells
Routinely evaluated by Western Blot on A431 lysates.

Western Blot Analysis: 1:500 dilution of this lot detected IKK BETA on 10 μg of A431 lysates.

Other Notes

Concentration: Please refer to the Certificate of Analysis for the lot-specific concentration.
Replaces: AB16522

Disclaimer

Unless otherwise stated in our catalog or other company documentation accompanying the product(s), our products are intended for research use only and are not to be used for any other purpose, which includes but is not limited to, unauthorized commercial uses, in vitro diagnostic uses, ex vivo or in vivo therapeutic uses or any type of consumption or application to humans or animals.

Not finding the right product?  

Try our Product Selector Tool.

wgk

WGK 2

flash_point_f

Not applicable

flash_point_c

Not applicable

Storage Class

12 - Non Combustible Liquids


Certificates of Analysis (COA)

Search for Certificates of Analysis (COA) by entering the products Lot/Batch Number. Lot and Batch Numbers can be found on a product’s label following the words ‘Lot’ or ‘Batch’.

Already Own This Product?

Find documentation for the products that you have recently purchased in the Document Library.

Visit the Document Library

Mao Zhang et al.
Cancer management and research, 11, 10623-10632 (2020-01-08)
In this study, we established the inflammatory factor grade system (IFGs) based on the hepatocellular carcinoma (HCC) microenvironment to investigate the role of inflammatory factor grade (IFG) in predicting the prognosis of patients with American Joint Committee on Cancer (AJCC)
Dingan Luo et al.
Frontiers in oncology, 10, 548744-548744 (2020-12-22)
Early prediction of recurrence and death risks is significant to the treatment of hepatocellular carcinoma (HCC) patients. We aimed to develop and validate prognosis nomogram models based on the gamma-glutamyl transpeptidase (GGT)-to-platelet (PLT) ratio (GPR) for HCC and to explore

Global Trade Item Number

SKUGTIN
07-147904053252670015

Our team of scientists has experience in all areas of research including Life Science, Material Science, Chemical Synthesis, Chromatography, Analytical and many others.

Contact Technical Service