Skip to Content
Merck

07-278

Anti-phospho-LAT (Tyr191) Antibody

Upstate®, from rabbit

Sign In to View Organizational & Contract Pricing.

Select a Size


About This Item

UNSPSC Code:
12352203
NACRES:
NA.41
eCl@ss:
32160702
Clone:
polyclonal
Species reactivity:
human, mouse
Application:
WB
Citations:
11
Technical Service
Need help? Our team of experienced scientists is here for you.
Let Us Assist
Technical Service
Need help? Our team of experienced scientists is here for you.
Let Us Assist

biological source

rabbit

antibody form

purified antibody

antibody product type

primary antibodies

clone

polyclonal

species reactivity

human, mouse

manufacturer/tradename

Upstate®

technique(s)

western blot: suitable

isotype

IgG

NCBI accession no.

UniProt accession no.

shipped in

dry ice

target post-translational modification

phosphorylation (pTyr191)

Quality Level

Gene Information

human ... LAT(27040)
mouse ... Lat(16797)

General description

36kDa

Immunogen

peptide (SREpYVNVSPEQQ-C) corresponding to amino acids 188-195 of human LAT and amino acids 192-203 of mouse LAT

Application

Research Category
Inflammation & Immunology
Research Sub Category
Immunoglobulins & Immunology
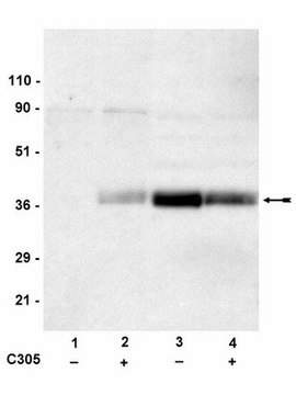
This Anti-phospho-LAT (Tyr191) Antibody is validated for use in WB for the detection of phospho-LAT (Tyr191).

Biochem/physiol Actions

LAT phosphorylated on tyrosine 191

Physical form

0.1M Tris-glycine, pH 7.4, 0.15M NaCl, 0.05% sodium azide before the addition of glycerol to 30%
Format: Purified
Protein A chromatography

Preparation Note

2 years at -20°C

Analysis Note

routinely evaluated by immunoblot on RIPA lysates from Jurkat cells stimulated with anti-T-cell receptor monoclonal antibody, clone C305

Other Notes

Replaces: 04-467

Legal Information

UPSTATE is a registered trademark of Merck KGaA, Darmstadt, Germany

Disclaimer

Unless otherwise stated in our catalog or other company documentation accompanying the product(s), our products are intended for research use only and are not to be used for any other purpose, which includes but is not limited to, unauthorized commercial uses, in vitro diagnostic uses, ex vivo or in vivo therapeutic uses or any type of consumption or application to humans or animals.

Not finding the right product?  

Try our Product Selector Tool.

Storage Class

10 - Combustible liquids

wgk

WGK 1


Certificates of Analysis (COA)

Search for Certificates of Analysis (COA) by entering the products Lot/Batch Number. Lot and Batch Numbers can be found on a product’s label following the words ‘Lot’ or ‘Batch’.

Already Own This Product?

Find documentation for the products that you have recently purchased in the Document Library.

Visit the Document Library

Viktor Bugajev et al.
Cells, 12(16) (2023-08-26)
Signal transduction by the high-affinity IgE receptor (FcεRI) depends on membrane lipid and protein compartmentalization. Recently published data show that cells treated with 1-heptanol, a cell membrane fluidizer, exhibit changes in membrane properties. However, the functional consequences of 1-heptanol-induced changes
Kwok Ho Yip et al.
Nature communications, 7, 13198-13198 (2016-10-28)
Cross-linkage of the high-affinity immunoglobulin E (IgE) receptor (FcɛRI) on mast cells by antigen ligation has a critical role in the pathology of IgE-dependent allergic disorders, such as anaphylaxis and asthma. Restraint of intracellular signal transduction pathways that promote release
Claire Hivroz et al.
Methods in molecular biology (Clifton, N.J.), 1584, 355-368 (2017-03-04)
In T lymphocytes, the immune synapse is an active zone of vesicular traffic. Directional transport of vesicular receptors and signaling molecules from or to the immune synapse has been shown to play an important role in T-cell receptor (TCR) signal
Lucie Potuckova et al.
Frontiers in immunology, 9, 1771-1771 (2018-08-18)
C-terminal Src kinase (CSK) is a major negative regulator of Src family tyrosine kinases (SFKs) that play critical roles in immunoreceptor signaling. CSK is brought in contiguity to the plasma membrane-bound SFKs via binding to transmembrane adaptor PAG, also known
Yu Hu et al.
The Journal of experimental medicine, 213(12), 2759-2772 (2016-11-05)
In chronic infection, T cells become hyporesponsive to antigenic stimulation to prevent immunopathology. Here, we show that TMEM16F is required to curb excessive T cell responses in chronic infection with virus. TMEM16F-deficient T cells are hyperactivated during the early phase

Global Trade Item Number

SKUGTIN
07-27804053252401985

Our team of scientists has experience in all areas of research including Life Science, Material Science, Chemical Synthesis, Chromatography, Analytical and many others.

Contact Technical Service