Skip to Content
Merck

09-066

Anti-ASPM Antibody

from rabbit, purified by affinity chromatography

Synonym(s):

Abnormal spindle protein homolog, Asp homolog, asp (abnormal spindle) homolog, microcephaly associated (Drosophila), asp (abnormal spindle)-like, microcephaly associated, asp (abnormal spindle)-like, microcephaly associated (Drosophila), microcephaly, pr

Sign In to View Organizational & Contract Pricing.

Select a Size


About This Item

UNSPSC Code:
12352203
NACRES:
NA.41
eCl@ss:
32160702
Technical Service
Need help? Our team of experienced scientists is here for you.
Let Us Assist
Technical Service
Need help? Our team of experienced scientists is here for you.
Let Us Assist

Product Name

Anti-ASPM Antibody, from rabbit, purified by affinity chromatography

biological source

rabbit

conjugate

unconjugated

antibody form

affinity isolated antibody

antibody product type

primary antibodies

clone

polyclonal

purified by

affinity chromatography

species reactivity

rat, human

species reactivity (predicted by homology)

chimpanzee, primate

technique(s)

ELISA: suitable
immunohistochemistry: suitable

NCBI accession no.

UniProt accession no.

shipped in

wet ice

target post-translational modification

unmodified

Quality Level

Gene Information

human ... ASPM(259266)

Analysis Note

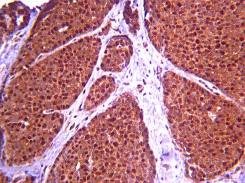
Control
Human ductal carcinoma tissue
Immunohistochemistry Analysis: 1:300 dilution of this antibody detected ASPM in human ductal carcinoma tissue.

Application

Anti-ASPM Antibody detects level of ASPM & has been published & validated for use in IH, ELISA.
ELISA: Tested in direct ELISA against the ASPM immunogen.
Research Category
Signaling
Research Sub Category
Cell Cycle, DNA Replication & Repair

Biochem/physiol Actions

This antibody recognizes ASPM.

Disclaimer

Unless otherwise stated in our catalog or other company documentation accompanying the product(s), our products are intended for research use only and are not to be used for any other purpose, which includes but is not limited to, unauthorized commercial uses, in vitro diagnostic uses, ex vivo or in vivo therapeutic uses or any type of consumption or application to humans or animals.

General description

218, 95, 75 kDa Observed UniProtKB/Swiss-Prot entry Q8IZT6 describes 2 isoforms produced by alternative splicing: Isoform 1 at 409.800kDa and Isoform 2 at 217.794kDa Multiple other isoforms in ref: Human Molecular Genetics, 2005, Vol. 14, No. 15 2155–2165.
The ASPM gene is the human ortholog of the Drosophila melanogaster ′abnormal spindle′ gene (asp), which is essential for normal mitotic spindle function in embryonic neuroblasts (Bond et al., 2002 [PubMed 12355089]). The mouse gene ASPM is expressed specifically in the primary sites of prenatal cerebral cortical neurogenesis.

Immunogen

KLH-conjugated linear peptide corresponding to human ASPM.

Other Notes

Concentration: Please refer to the Certificate of Analysis for the lot-specific concentration.

Physical form

Affinity purified
Purified rabbit serum in buffer containing 0.1 M Tris-Glycine (pH 7.4, 150 mM NaCl) with 0.05% sodium azide.

Preparation Note

Stable for 1 year at 2-8°C from date of receipt.

Not finding the right product?  

Try our Product Selector Tool.

Storage Class

12 - Non Combustible Liquids

wgk

WGK 1

flash_point_f

Not applicable

flash_point_c

Not applicable


Certificates of Analysis (COA)

Search for Certificates of Analysis (COA) by entering the products Lot/Batch Number. Lot and Batch Numbers can be found on a product’s label following the words ‘Lot’ or ‘Batch’.

Already Own This Product?

Find documentation for the products that you have recently purchased in the Document Library.

Visit the Document Library

Residue depletion of doramectin in rabbit tissues after subcutaneous administration.
Jianzhong Shen,Na Li,Haiyang Jiang,Jiancheng Li,Qinxiong Rao,Liming Guo,Weimin Shi,Shuangyang Ding
Journal of Food Protection null
Arran K Turnbull et al.
Journal of clinical oncology : official journal of the American Society of Clinical Oncology, 33(20), 2270-2278 (2015-06-03)
Aromatase inhibitors (AIs) have an established role in the treatment of breast cancer. Response rates are only 50% to 70% in the neoadjuvant setting and lower in advanced disease. Accurate biomarkers are urgently needed to predict response in these settings
Jin Oshikawa et al.
PloS one, 5(4), e10189-e10189 (2010-04-28)
Reactive oxygen species (ROS), in particular, H(2)O(2), is essential for full activation of VEGF receptor2 (VEGFR2) signaling involved in endothelial cell (EC) proliferation and migration. Extracellular superoxide dismutase (ecSOD) is a major secreted extracellular enzyme that catalyzes the dismutation of
Ellinor Andersson et al.
Modern pathology : an official journal of the United States and Canadian Academy of Pathology, Inc, 29(6), 616-629 (2016-03-12)
We wanted to define the transcriptome of small intestinal neuroendocrine tumors in order to identify clinically relevant subgroups of tumors, prognostic markers and novel targets for treatment. Genome-wide expression profiling was conducted on tumor biopsies from 33 patients with well-differentiated

Global Trade Item Number

SKUGTIN
09-06604053252280429

Our team of scientists has experience in all areas of research including Life Science, Material Science, Chemical Synthesis, Chromatography, Analytical and many others.

Contact Technical Service