Sign In to View Organizational & Contract Pricing.
Select a Size
About This Item
NACRES:
NA.41
UNSPSC Code:
41116124
IVD
for in vitro diagnostic use
dilution
(for the visualization of connective tissue with trichromic staining)
application(s)
clinical testing
diagnostic assay manufacturing
hematology
histology
storage temp.
15-25°C
Quality Level
Related Categories
Analysis Note
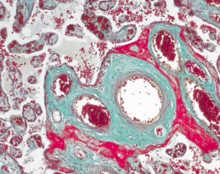
Suitability for microscopy (Tissue section): passes test
Nuclei: dark brown to black
Cytoplasm: brick red
musculature (muscles): bright red
Connective tissue: green
acid mucosubstances: green
Erythrocytes: bright orange
Nuclei: dark brown to black
Cytoplasm: brick red
musculature (muscles): bright red
Connective tissue: green
acid mucosubstances: green
Erythrocytes: bright orange
General description
The Masson-Goldner staining kit - for the visualization of connective tissue with trichromic staining, is used for human-medical cell diagnosis and serves the purpose of the histological investigation of sample material of human origin. Using a combination of three different staining solutions, muscle fibers, collagenous fibers, fibrin and erythrocytes can be selectively visualized.
The original methods were primarily used to differentiate collagenous and muscle fibers. The stains used have different molecular sizes and enable the individual tissues to be stained differentially.
The Masson-Goldner staining technique can be carried out using formalin fixed material. Subsequent to staining the nucleus with Weigert′s iron hematoxylin, components such as muscle, cytoplasm and erythrocytes are stained with azophloxin and orange G solution. Connective tissue is then counter stained using light green SF solution.
The package is sufficient for 400 - 500 applications. The product is registered as IVD and CE product and can be used in diagnostics and laboratory accreditation. For more details, please see instructions for use (IFU). The IFU can be downloaded from this webpage.
The original methods were primarily used to differentiate collagenous and muscle fibers. The stains used have different molecular sizes and enable the individual tissues to be stained differentially.
The Masson-Goldner staining technique can be carried out using formalin fixed material. Subsequent to staining the nucleus with Weigert′s iron hematoxylin, components such as muscle, cytoplasm and erythrocytes are stained with azophloxin and orange G solution. Connective tissue is then counter stained using light green SF solution.
The package is sufficient for 400 - 500 applications. The product is registered as IVD and CE product and can be used in diagnostics and laboratory accreditation. For more details, please see instructions for use (IFU). The IFU can be downloaded from this webpage.
signalword
Danger
hcodes
Hazard Classifications
Eye Dam. 1 - Skin Irrit. 2
Storage Class
8A - Combustible, corrosive hazardous materials
wgk
WGK 2
Certificates of Analysis (COA)
Search for Certificates of Analysis (COA) by entering the products Lot/Batch Number. Lot and Batch Numbers can be found on a product’s label following the words ‘Lot’ or ‘Batch’.
Already Own This Product?
Find documentation for the products that you have recently purchased in the Document Library.
Aurora Garre et al.
Clinical, cosmetic and investigational dermatology, 11, 253-263 (2018-06-09)
With age, decreasing dermal levels of proteoglycans, collagen, and elastin lead to the appearance of aged skin. Oxidation, largely driven by environmental factors, plays a central role. The aim of this study was to assess the antiaging efficacy of a
B Shen et al.
Nan fang yi ke da xue xue bao = Journal of Southern Medical University, 41(7), 1107-1113 (2021-07-27)
To investigate the effect of ginsenoside Rh2 (G-Rh2) on renal fibrosis and cell apoptosis in rats with diabetic nephropathy (DN) and explore its possible mechanism. Thirty male SD rats were randomized equally into control group, DN group and ginsenoside Rh2
Álvaro Santana-Garrido et al.
Journal of physiology and biochemistry (2022-08-10)
Arterial hypertension (AH) leads to oxidative and inflammatory imbalance that contribute to fibrosis development in many target organs. Here, we aimed to highlight the harmful effects of severe AH in the cornea. Our experimental model was established by administration of
Wenjiao Li et al.
Polymers, 14(13) (2022-07-10)
Various congenital and acquired urinary system abnormalities can cause structural damage to patients' bladders. This study aimed to construct and evaluate a novel surgical patch encapsulated with adipose-derived stem cells (ADSCs) for bladder tissue regeneration. The surgical patch consists of
Huan He et al.
Redox biology, 48, 102185-102185 (2021-11-15)
Reports indicate that the mechanism of doxorubicin (Dox)-induced cardiotoxicity is very complex, involving multiple regulatory cell death forms. Furthermore, the clinical intervention effect is not ideal. Iron dependence, abnormal lipid metabolism, and excess reactive oxygen species generation, three characteristics of
Our team of scientists has experience in all areas of research including Life Science, Material Science, Chemical Synthesis, Chromatography, Analytical and many others.
Contact Technical Service