Skip to Content
Merck

1.01646

PAS staining kit

for detection of aldehyde and mucosubstances

Sign In to View Organizational & Contract Pricing.

Select a Size


About This Item

NACRES:
NA.41
UNSPSC Code:
41116124
Technical Service
Need help? Our team of experienced scientists is here for you.
Let Us Assist
Technical Service
Need help? Our team of experienced scientists is here for you.
Let Us Assist

IVD

for in vitro diagnostic use

dilution

(for the detection of aldehyde and mucosubstances)

application(s)

clinical testing
diagnostic assay manufacturing
hematology
histology

storage temp.

15-25°C

Quality Level

General description

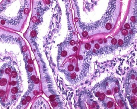
The PAS (periodic acid-Schiff) staining kit - for detection of aldehyde and mucosubstances, is one of the most widely used chemical methods in histology and is specific in staining non-substituted polysaccharides, neutral mucopolysaccharides, muco- and glycoproteins, as well as glycol- and phospholipids. The PAS staining kit contains ready-to-use Schiff′s reagent and periodic acid solution for the staining of approx. 2500-3000 slides. The combination of PAS staining with Alcian blue allows the additional identification of acidic mucosubstances (glycosaminoglycans).
The kit can be used for clinical diagnostic purposes and in laboratory accreditation processes as it is certified and registered as IVD and CE product. For more details, please see instructions for use (IFU). The IFU can be downloaded from this webpage.

Analysis Note

Suitability for microscopy: passes test
nuclei: blue
acid mucosubstances: light blue
polysaccharides: purple
neutral mucopolysaccharides: purple

hcodes

Hazard Classifications

Aquatic Chronic 3

Storage Class

12 - Non Combustible Liquids

wgk

WGK 2

flash_point_f

Not applicable

flash_point_c

Not applicable


Certificates of Analysis (COA)

Search for Certificates of Analysis (COA) by entering the products Lot/Batch Number. Lot and Batch Numbers can be found on a product’s label following the words ‘Lot’ or ‘Batch’.

Already Own This Product?

Find documentation for the products that you have recently purchased in the Document Library.

Visit the Document Library

Valentina Volynets et al.
Tissue barriers, 4(3), e1208468-e1208468 (2016-09-02)
The intestinal barrier is gaining increasing attention because it is related to intestinal homeostasis and disease. Different parameters have been used in the past to assess intestinal barrier functions in experimental studies; however most of them are poorly defined in
F David Carmona et al.
Journal of anatomy, 217(5), 488-500 (2010-10-29)
Corneal development and structure were studied in the Iberian mole Talpa occidentalis, which has permanently closed eyelids, and the European mole Talpa europaea, in which the eyes are open. The vertebrate cornea typically maintains a three-layered structure - a stratified
Tim Ruhl et al.
Experimental cell research, 389(1), 111881-111881 (2020-02-02)
Human adipose tissue includes large quantities of mesenchymal stromal cells (atMSCs), which represent an abundant cell source for therapeutic applications in the field of regenerative medicine. Adipose tissue secrets various soluble factors including endocannabinoids, and atMSCs express the cannabinoid receptors
Lydia Hering et al.
Journal of the American Society of Nephrology : JASN, 31(4), 783-798 (2020-02-23)
Increased nerve activity causes hypertension and kidney disease. Recent studies suggest that renal denervation reduces BP in patients with hypertension. Renal NE release is regulated by prejunctional α2A-adrenoceptors on sympathetic nerves, and α2A-adrenoceptors act as autoreceptors by binding endogenous NE
Tiziana Giordano et al.
Journal of cell science, 132(3) (2019-01-13)
Sperm cells are highly specialized mammalian cells, and their biogenesis requires unique intracellular structures. Perturbation of spermatogenesis often leads to male infertility. Here, we assess the role of a post-translational modification of tubulin, glutamylation, in spermatogenesis. We show that mice

Related Content

Learn about the criticality of biological tissue staining for research and clinical pathology using standard and special stains and dyes.

See All

Our team of scientists has experience in all areas of research including Life Science, Material Science, Chemical Synthesis, Chromatography, Analytical and many others.

Contact Technical Service