Sign In to View Organizational & Contract Pricing.
Select a Size
About This Item
NACRES:
NA.74
UNSPSC Code:
41116130
form
liquid
IVD
for in vitro diagnostic use
technique(s)
microbe id | staining: suitable
transition temp
flash point 47 °C
density
0.99 g/cm3 at 20 °C
application(s)
clinical testing
diagnostic assay manufacturing
hematology
histology
storage temp.
15-25°C
Quality Level
General description
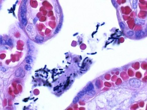
Gram′s crystal violet solution for the Gram staining method, is a ready-to-use solution used in bacteriology. The Gram staining allows a fast differentiation of bacteria in Gram-positive and Gram-negative.The mureine structure of the bacteria wall is the basis of the color affinity. In the first step, bacteria will be stained with Gram′s crystal violet solution (Product number 1.09218), an aniline dye. After the treatment with iodine solution (Lugol′s solution stabilized with PVP, Product number 1.00567), a dye-iodine complex will form. During the decolorizing step (Gram′s decolorizing solution, Product number 1.10218), this complex stays in the multilayer mureine structure of the cell wall of Gram-positive bacteria - they will appear blue-violet. Gram-negative bacteria, by contrast, have a cell wall consisting of a single-layered murein structure, and correspondingly re-release the staining dye with the decoloring solution. Gram-negative bacteria will be counterstained with safranine solution (Gram′s safranine solution (Product number 1.09217) and will then appear pink to red.
A bottle with 500 ml Gram′s crystal violet solution is sufficient for staining up to 250 slides. This product is registered as IVD and CE marked. For more details, please see instructions for use (IFU). The IFU can be downloaded from this webpage.
A bottle with 500 ml Gram′s crystal violet solution is sufficient for staining up to 250 slides. This product is registered as IVD and CE marked. For more details, please see instructions for use (IFU). The IFU can be downloaded from this webpage.
Analysis Note
Suitability for microscopy: passes test
gram-positve microorganisms: blue-violet
gram-negative microorganisms: pink to red
gram-positve microorganisms: blue-violet
gram-negative microorganisms: pink to red
signalword
Warning
hcodes
Hazard Classifications
Aquatic Chronic 3 - Flam. Liq. 3
Storage Class
3 - Flammable liquids
wgk
WGK 2
flash_point_f
116.6 °F
flash_point_c
47 °C
Certificates of Analysis (COA)
Search for Certificates of Analysis (COA) by entering the products Lot/Batch Number. Lot and Batch Numbers can be found on a product’s label following the words ‘Lot’ or ‘Batch’.
Already Own This Product?
Find documentation for the products that you have recently purchased in the Document Library.
Related Content
Our team of scientists has experience in all areas of research including Life Science, Material Science, Chemical Synthesis, Chromatography, Analytical and many others.
Contact Technical Service