1.11957
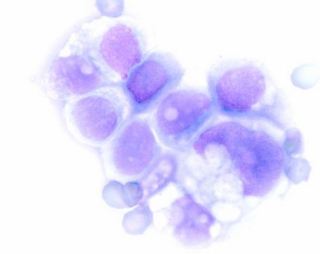
Hemacolor® Rapid staining of blood smear
Solution 3: colour reagent blue
Sign Into View Organizational & Contract Pricing
Select a Size
All Photos(1)
About This Item
UNSPSC Code:
41116121
NACRES:
NA.21
Quality Level
form
liquid
IVD
for in vitro diagnostic use
technique(s)
microbe id | staining: suitable
pH
6.8 (20 °C in H2O)
density
1.01 g/cm3 at 20 °C
application(s)
clinical testing
diagnostic assay manufacturing
hematology
histology
storage temp.
15-25°C
Related Categories
General description
Hemacolor® Rapid staining of blood smear - Solution 3: colour reagent blue, is a ready-to-use solution used for human-medical cell diagnosis and serves the fixing of native blood and bone-marrow smears of human origin in hematological and clinico-cytological specimen materials, for example smears of whole blood and bone marrow. The staining with Hemacolor® yields a staining result that corresponds to the Pappenheim stain, with predominantly magenta stained nuclei. This is based on the molecular interaction of the Eosin Y dye and a complex of Azur B with DNA. Both dyes assemble to an Eosin Y - Azur B-DNA complex and the intensity of the resulting stain depends on the content of Azur B and the ratio of Azur B : Eosin Y. Furthermore, the resulting stain can vary depending on the influence of fixation, staining times, pH-value of the solutions or buffer substances. By using pH 7.2 buffered solutions with the Hemacolor® Rapid staining of blood smear solutions, a high stability of the stain and clean, precipitation-free staining results can be guaranteed.
The package is sufficient for 1250 - 5000 applications. The buffer tablets acc. to Weise pH 7.2 (Product number 1.09468) are also available in larger pack sizes, thus, they can be useful for higher demands.
The three solutions needed for staining are all available individually as:
Hemacolor® Rapid staining of blood smear solution 1, fixing solution (Product number 1.11955)
Hemacolor® Rapid staining of blood smear solution 2, colour reagent red (Product number 1.11956)
Hemacolor® Rapid staining of blood smear solution 3, colour reagent blue(Product number 1.11957)
or they can be purchased as staining sets:
Hemacolor® Rapid staining of blood smear (Product number 1.11674) 3 x 100 ml
Hemacolor® Rapid staining of blood smear (Product number 1.11661) 3 x 500 ml
This product is registered as IVD and CE marked. For more details, please see instructions for use (IFU). The IFU can be downloaded from this webpage.
The package is sufficient for 1250 - 5000 applications. The buffer tablets acc. to Weise pH 7.2 (Product number 1.09468) are also available in larger pack sizes, thus, they can be useful for higher demands.
The three solutions needed for staining are all available individually as:
Hemacolor® Rapid staining of blood smear solution 1, fixing solution (Product number 1.11955)
Hemacolor® Rapid staining of blood smear solution 2, colour reagent red (Product number 1.11956)
Hemacolor® Rapid staining of blood smear solution 3, colour reagent blue(Product number 1.11957)
or they can be purchased as staining sets:
Hemacolor® Rapid staining of blood smear (Product number 1.11674) 3 x 100 ml
Hemacolor® Rapid staining of blood smear (Product number 1.11661) 3 x 500 ml
This product is registered as IVD and CE marked. For more details, please see instructions for use (IFU). The IFU can be downloaded from this webpage.
Legal Information
HEMACOLOR is a registered trademark of Merck KGaA, Darmstadt, Germany
Storage Class Code
12 - Non Combustible Liquids
WGK
WGK 1
Flash Point(F)
Not applicable
Flash Point(C)
Not applicable
Certificates of Analysis (COA)
Search for Certificates of Analysis (COA) by entering the products Lot/Batch Number. Lot and Batch Numbers can be found on a product’s label following the words ‘Lot’ or ‘Batch’.
Already Own This Product?
Find documentation for the products that you have recently purchased in the Document Library.
Related Content
Our team of scientists has experience in all areas of research including Life Science, Material Science, Chemical Synthesis, Chromatography, Analytical and many others.
Contact Technical Service