Product Name
Eosin Y solution 1%, alcoholic, for microscopy
form
liquid
IVD
for in vitro diagnostic use
technique(s)
microbe id | staining: suitable
transition temp
flash point 19 °C
density
0.892 g/cm3 at 20 °C
application(s)
clinical testing
diagnostic assay manufacturing
hematology
histology
storage temp.
15-25°C
Quality Level
Related Categories
Analysis Note
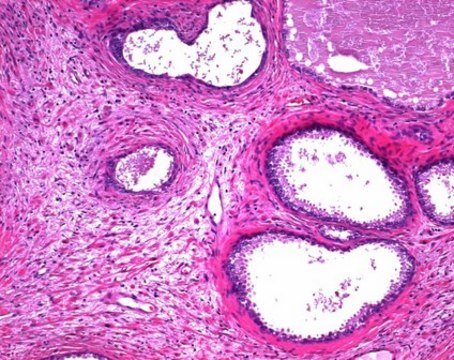
Suitability for microscopy (Tissue section): passes test
Nuclei: dark blue to dark violet
Cytoplasm: pink to red
intercellular substances: pink to red
Erythrocytes: yellow to orange
Nuclei: dark blue to dark violet
Cytoplasm: pink to red
intercellular substances: pink to red
Erythrocytes: yellow to orange
General description
Eosin Y solution 1%, alcoholic - for microscopy is used for human-medical cell diagnosis and serves the histological and clinico-cytological investigation of sample material of human origin in histological and clinico-cytological specimen materials, for example histological sections of e. g. the kidney, muscle tissue, heart, or lung. The hematoxylin and eosin (H&E) staining method is the method most frequently used for the staining of histology material. The staining mechanism behind the H&E staining is a physico-chemical process. In the first step, the positively charged nuclear dye (hematoxylin) binds to the negatively charged phosphate groups of the nucleic acid of the cell nucleus. The nuclei will be dyed dark blue to dark violet. The second step is the counterstaining with negatively charged anionic Eosin Y, a xanthene dye. Eosin binds to the positively charged plasma proteins. Cytoplasma and intercellular substances are stained pink to red, while erythrocytes will appear with yellow to orange color.
One 500ml bottle of the stain provides 1250 stainings. For more details, please see instructions for use (IFU). This product is registered as IVD and CE marked.
One 500ml bottle of the stain provides 1250 stainings. For more details, please see instructions for use (IFU). This product is registered as IVD and CE marked.
signalword
Danger
hcodes
Hazard Classifications
Eye Irrit. 2 - Flam. Liq. 2 - Skin Sens. 1
Storage Class
3 - Flammable liquids
wgk
WGK 2
flash_point_f
66.2 °F
flash_point_c
19 °C
Certificates of Analysis (COA)
Search for Certificates of Analysis (COA) by entering the products Lot/Batch Number. Lot and Batch Numbers can be found on a product’s label following the words ‘Lot’ or ‘Batch’.
Already Own This Product?
Find documentation for the products that you have recently purchased in the Document Library.
Mare Mechelinck et al.
PloS one, 14(12), e0226430-e0226430 (2019-12-14)
A simple but reliable and safe anaesthetic procedure is required for surgical interventions in small rodents. Combined ketamine and xylazine injections are often used in rats for less invasive surgery, possibly with spontaneous breathing and without airway management. However, there
Related Content
Our team of scientists has experience in all areas of research including Life Science, Material Science, Chemical Synthesis, Chromatography, Analytical and many others.
Contact Technical Service
