Skip to Content
Merck

16-282

Anti-Phosphotyrosine Antibody, clone 4G10®, Magnetic Bead Conjugate

clone 4G10®, from mouse

Sign In to View Organizational & Contract Pricing.

Select a Size


About This Item

UNSPSC Code:
12352203
NACRES:
NA.41
eCl@ss:
32160702
Clone:
4G10®, monoclonal
Technique(s):
immunoprecipitation (IP): suitable
Application:
IP
Citations:
2
Technical Service
Need help? Our team of experienced scientists is here for you.
Let Us Assist
Technical Service
Need help? Our team of experienced scientists is here for you.
Let Us Assist

biological source

mouse

antibody form

purified antibody

antibody product type

primary antibodies

clone

4G10®, monoclonal

species reactivity (predicted by homology)

all

technique(s)

immunoprecipitation (IP): suitable

isotype

IgG2bκ

shipped in

wet ice

target post-translational modification

phosphorylation (pTyr)

Quality Level

Gene Information

human ... PID1(55022)

General description

Dependent upon the molecular weight of the tyrosine phosphorylated protein being detected.
Tyrosine phosphorylation is considered as one of the key steps in signal transduction and regulation of enzymatic activity. Some of the tyrosine residues can be tagged with a phosphate group (phosphorylated) by protein kinases. (In its phosphorylated state, it is referred to as phosphotyrosine.).The advent of anti-phosphotyrosine antibodies is one of significant events in signal transduction research. Before the availability of anti-phosphotyrosine antibodies, tyrosyl phospyhorylation of proteins and enzymes was investigated through hazardous and time-consuming radioactive experiments. Anti-phosphotyrosine antibodies are commonly used in western blots after the targeted proteins have been immunoprecipitated to measure the tyrosyl phosphorylation of the proteins. Anti-phosphotyrosine antibodies are also directly used on cell lysate to examine the overall change of tyrosine phosphorylation level in reponse to various treatments.

Immunogen

Phosphotyramine-KLH

Application

Detect Phosphotyrosine using this Anti-Phosphotyrosine Antibody, clone 4G10, Magnetic Bead Conjugate validated for use in IP.
Research Category
Signaling
Research Sub Category
General Post-translation Modification

Biochem/physiol Actions

This antibody recognizes tyrosine-phosphorylated proteins from all species

Physical form

20% slurry; 1xPBS, 0.05% sodium azide. Sufficient for 10 IPs.
Format: Purified
Protein G-Sepharose Chromatography

Preparation Note

Stable for 1 year at 2-8ºC from date of receipt.
Note: DO NOT FREEZE

Analysis Note

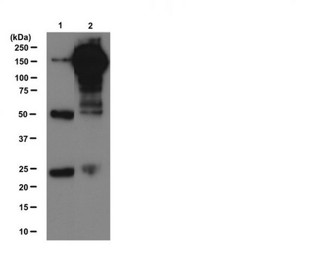
100 μg of NIH3T3 whole cell lysate stimulated with 100 ng/mL PDGF (10 minutes) was immunoprecipitated (IP) using either anti-mouse IgG (Cat. No. 12-371) (lane 1), or Anti-Phosphotyrosine, Magnetic Bead Conjugate
(Lane 2).
Control
NIH3T3 whole cell lysate stimulated with 50 ng/mL PDGF (5 minutes)

Legal Information

4G10 is a registered trademark of Upstate Group, Inc.

Disclaimer

Unless otherwise stated in our catalog or other company documentation accompanying the product(s), our products are intended for research use only and are not to be used for any other purpose, which includes but is not limited to, unauthorized commercial uses, in vitro diagnostic uses, ex vivo or in vivo therapeutic uses or any type of consumption or application to humans or animals.

Not finding the right product?  

Try our Product Selector Tool.

Storage Class

12 - Non Combustible Liquids

wgk

WGK 2


Certificates of Analysis (COA)

Search for Certificates of Analysis (COA) by entering the products Lot/Batch Number. Lot and Batch Numbers can be found on a product’s label following the words ‘Lot’ or ‘Batch’.

Already Own This Product?

Find documentation for the products that you have recently purchased in the Document Library.

Visit the Document Library

F Saez et al.
Andrology, 7(5), 654-661 (2019-06-05)
Lipid metabolic disorders (dyslipidemia) are constantly increasing in occidental societies and lead to the development of pathologies such as obesity, diabetes, and metabolic syndrome. It has been demonstrated that dyslipidemia can alter the reproductive function. Animal models have recently been
M Whitfield et al.
Reproduction (Cambridge, England), 154(6), 827-842 (2017-10-04)
Lipid metabolism disorders (dyslipidemia) are causes of male infertility, but little is known about their impact on male gametes when considering post-testicular maturation events, given that studies concentrate most often on endocrine dysfunctions and testicular consequences. In this study, three-month-old

Global Trade Item Number

SKUGTIN
16-28204053252641596

Our team of scientists has experience in all areas of research including Life Science, Material Science, Chemical Synthesis, Chromatography, Analytical and many others.

Contact Technical Service