Skip to Content
Merck

ABN329

Anti-CAPS-1 Antibody

from rabbit, purified by affinity chromatography

Synonym(s):

Calcium-dependent secretion activator 1, CADPS1, CAPS-1

Sign In to View Organizational & Contract Pricing.

Select a Size


About This Item

UNSPSC Code:
12352203
NACRES:
NA.41
eCl@ss:
32160702
Technical Service
Need help? Our team of experienced scientists is here for you.
Let Us Assist
Technical Service
Need help? Our team of experienced scientists is here for you.
Let Us Assist

biological source

rabbit

antibody form

affinity isolated antibody

antibody product type

primary antibodies

clone

polyclonal

purified by

affinity chromatography

species reactivity

mouse, rat

species reactivity (predicted by homology)

human (immunogen homology)

technique(s)

immunohistochemistry: suitable, western blot: suitable

UniProt accession no.

shipped in

wet ice

target post-translational modification

unmodified

Gene Information

human ... CADPS(8618)

General description

CAPS-1 and its related protein CAPS-2 encode novel neural/endocrine-specific cytosolic and peripheral membrane proteins. Both are essential components of the synaptic vesicle priming machinery and are required for the Ca2+-regulated exocytosis of secretory vesicles; CAPS-deficient neurons contain no or very few fusion competent synaptic vesicles, causing a selective impairment of fast phasic transmitter release. CAPS-1 acts at a stage in exocytosis that follows ATP-dependent priming, which involves the essential synthesis of phosphatidylinositol 4, 5-bisphosphate and is thought to be a specific regulator of large dense-core vesicle fusion.
~153 kDa observed. Uncharacterized bands may appear between ~30 kDa and ~110 kDa in some lysates.

Immunogen

KLH-conjugated linear peptide corresponding to human CAPS-1.

Application

Anti-CAPS-1 detects levels of CAPS-1 proteins & has been published & validated for use in WB & IHC.
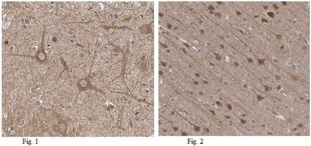
Immunohistochemistry Analysis: A 1:2,000 dilution from a representative lot detected CAPS-1 in rat hippocampus and cerebral cortex tissues.
Research Category
Neuroscience
Research Sub Category
Developmental Neuroscience

Biochem/physiol Actions

This antibody is predicted to be specific to CAPS-1 and not recognize CAPS-2.

Physical form

Antigen Affinity Purified
Purified rabbit polyclonal in buffer containing PBS with 0.02% sodium azide.

Preparation Note

Stable for 1 year at 2-8°C from date of receipt.

Analysis Note

Control
Mouse brain membrane tissue lysate
Evaluated by Western Blot in mouse brain membrane tissue lysate.

Western Blot Analysis: 1 µg/mL of this antibody detected CAPS-1 in 10 µg/mL of mouse brain membrane tissue lysate.

Other Notes

Concentration: Please refer to the Certificate of Analysis for the lot-specific concentration.

Disclaimer

Unless otherwise stated in our catalog or other company documentation accompanying the product(s), our products are intended for research use only and are not to be used for any other purpose, which includes but is not limited to, unauthorized commercial uses, in vitro diagnostic uses, ex vivo or in vivo therapeutic uses or any type of consumption or application to humans or animals.

Not finding the right product?  

Try our Product Selector Tool.

Storage Class

12 - Non Combustible Liquids

wgk

WGK 2

flash_point_f

Not applicable

flash_point_c

Not applicable


Certificates of Analysis (COA)

Search for Certificates of Analysis (COA) by entering the products Lot/Batch Number. Lot and Batch Numbers can be found on a product’s label following the words ‘Lot’ or ‘Batch’.

Already Own This Product?

Find documentation for the products that you have recently purchased in the Document Library.

Visit the Document Library

Our team of scientists has experience in all areas of research including Life Science, Material Science, Chemical Synthesis, Chromatography, Analytical and many others.

Contact Technical Service