Skip to Content
Merck

MABC148

Anti-Casper/c-FLIP Antibody, clone 17B12.1

clone 17B12.1, from mouse

Synonym(s):

CASP8 and FADD-like apoptosis regulator, Caspase homolog, CASH, Caspase-eight-related protein, Casper, Caspase-like apoptosis regulatory protein, CLARP, Cellular FLICE-like inhibitory protein, c-FLIP, FADD-like antiapoptotic molecule 1, FLAME-1, Inhibito

Sign In to View Organizational & Contract Pricing.

Select a Size


About This Item

UNSPSC Code:
12352203
NACRES:
NA.41
eCl@ss:
32160702
Technical Service
Need help? Our team of experienced scientists is here for you.
Let Us Assist
Technical Service
Need help? Our team of experienced scientists is here for you.
Let Us Assist

biological source

mouse

antibody product type

primary antibodies

clone

17B12.1, monoclonal

species reactivity

rat, human

technique(s)

immunohistochemistry: suitable, western blot: suitable

isotype

IgG2bκ

NCBI accession no.

UniProt accession no.

shipped in

wet ice

Quality Level

Gene Information

human ... CFLAR(8837)

General description

Caspase-eight-related protein (Casper), also known as Cellular FLICE-like inhibitory protein (c-FLIP), CASP8, FADD-like apoptosis regulator (CFLAR), Caspase homolog (CASH), Caspase-like apoptosis regulatory protein (CLARP), FADD-like antiapoptotic molecule 1 (FLAME-1), Inhibitor of FLICE (I-FLICE), MACH-related inducer of toxicity (MRIT), and Usurpin. Casper shows a wide expression profile, with higher expression in skeletal muscle, pancreas, heart, kidney, placenta, and peripheral blood leukocytes. Casper is an apoptosis regulator and acts as an inhibitor of TNFRSF6 mediated apoptosis. A proteolytic fragment (p43) is likely retained in the death-inducing signaling complex (DISC) thereby blocking further recruitment and processing of caspase-8 at the complex. Casper lacks enzymatic activity.
~55 kDa observed. Uniprot describes many isoforms produced by alternative splicing ranging from ~23 kDa through ~55 kDa

Immunogen

GST-tagged recombinant protein corresponding to human Casper/c-FLIP.

Application

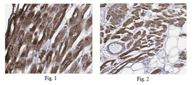
Immunohistochemistry Analysis: A 1:1,000 dilution from a representative lot detected Casper/c-FLIP in human cardiac myocytes tissue.
Research Category
Apoptosis & Cancer
Research Sub Category
Apoptosis - Additional
This Casper/c-FLIP antibody is validated for use in WB & IHC for the detection of the Casper/c-FLIP protein.

Physical form

Format: Purified
Protein G Purified
Purified mouse monoclonal IgG2bκ in buffer containing 0.1 M Tris-Glycine (pH 7.4), 150 mM NaCl with 0.05% sodium azide.

Preparation Note

Stable for 1 year at 2-8°C from date of receipt.

Analysis Note

Control
PC-12 cell lysate
Evaluated by Western Blotting in PC-12 cell lysate.

Western Blotting Analysis: 0.5 µg/mL of this antibody detected Casper/c-FLIP in 10 µg of PC-12 cell lysate.

Other Notes

Concentration: Please refer to the Certificate of Analysis for the lot-specific concentration.

Disclaimer

Unless otherwise stated in our catalog or other company documentation accompanying the product(s), our products are intended for research use only and are not to be used for any other purpose, which includes but is not limited to, unauthorized commercial uses, in vitro diagnostic uses, ex vivo or in vivo therapeutic uses or any type of consumption or application to humans or animals.

Not finding the right product?  

Try our Product Selector Tool.

Storage Class

10-13 - German Storage Class 10 to 13


Certificates of Analysis (COA)

Search for Certificates of Analysis (COA) by entering the products Lot/Batch Number. Lot and Batch Numbers can be found on a product’s label following the words ‘Lot’ or ‘Batch’.

Already Own This Product?

Find documentation for the products that you have recently purchased in the Document Library.

Visit the Document Library

Our team of scientists has experience in all areas of research including Life Science, Material Science, Chemical Synthesis, Chromatography, Analytical and many others.

Contact Technical Service